Правосторонняя нижнедолевая пневмония у детей часто развивается довольно быстрыми темпами, буквально в течение двух дней. Поэтому без своевременного, правильного лечения неопасный очаговый инфильтрат, быстро превратиться в долевой или того хуже сегментный очаг.
При такой особенности заболевания каждый родитель должен быть всегда начеку и помнить, что лучше перестраховаться лишний раз и отвести своё чадо в больницу, чем потом всю оставшуюся жизнь сожалеть о том, что не повёл.
Характеристика пневмонии
Характеризуется быстрым формированием инфекционно-воспалительного процесса, находящегося в нижней доли лёгочной ткани. Причём с правой стороны он развивается чаще, чем с левой. Потому что анатомические характеристики бронхиального древа справа этому способствуют.
Нижнедолевой бронх, находящийся с правой стороны идёт сверху вниз под косым уклоном, он более расширен и укорочен. Поэтому и происходит «заброс» и накопление большого количества колониеобразующих единиц в нём.
А на фоне сбоя иммунной системы, многие патогенные микроорганизмы начинают активно размножаться в бронхах что приводит в конечном счёте к бронхопневмонии.
Без должного лечения быстро перерастает в воспаление альвеол. Альвеолы —это небольшие пузырьки, располагающиеся в самом конце бронхов. К ним поступает воздух, при дыхании, именно в альвеолах и происходит обмен углекислого газа на кислород.
Это жизненно важно для любого организма, все органы и клетки в организме должны получать в достаточной степени кислород и вовремя освобождаться от углекислого газа
Проникший в альвеолы возбудитель мигом запустит воспалительные процессы в них. Начнёт накапливаться экссудат – жидкость, затрудняя протекание правильного процесса газообмена.
Существенно снизится в крови концентрация кислорода. Больше всего от этого будет страдать сердечно – сосудистая система. Поэтому так важно начинать лечение безотлагательно.
Симптомы правостороннего нижнедолевого воспаления у детей
Частые симптомы:
- резкое и ничем ни сбивающееся повышение температуры;
- сильный сухой кашель вначале, а через некоторое время начинает выделиться вязкая мокрота;
- непрекращающийся насморк;
- ребёнка периодами то бросает в озноб, то появляется потливость;
- частота дыхания увеличивается (тахипноэ);
- во время сна ребёнок всегда переворачивается на левый бок и так спит;
- при кашле появляются хорошо различимые прожилки крови в слизи;
- при сильном вдохе появляются болевые ощущения с правой стороны грудной клетки;
- вялость, снижение аппетита;
- изменение цвета кожного покрова.
У детей до года такая пневмония часто имеет стёртую клиническую картину. Быстро развиваются различные осложнения: абсцессы (различные гнойные образования), ателектазы (уменьшение объёма лёгочной ткани), плевриты (в плевре скопится жидкость) и т. д. И только вовремя начатое лечение, способно уменьшить опасность осложнений и привести к успешному лечению.
Чем обусловлено воспаление лёгких у детей?
Обусловлена 2 вероятными причинами.
Ребёнок может заразиться чаще всего:
- Воздушно-капельным путём, или при активизации бактерий, которые всегда населяют горло и нос, даже здорового ребёнка.
- При ослаблении иммунитета.
Вызвать пневмонию могут многие возбудители:
- кишечная и гемофильная палочка;
- стрептококки, стафилококки;
- легионеллы, микоплазмы, хламидии;
- кокковая форма;
- различные вирусы, грибы.
Наиболее частые возбудители:
- У детей до 1 года — бактерия коковой формы.
- Дети с 1-12 лет — стрептококки, стафилококки.
- У подростков — хламидии 15%, микоплазма 20%.
- Страдающие хроническими заболеваниями — гемофильная палочка.
Факторы риска
У детей иммунная система ещё полностью не сформирована, поэтому не может противостоять различным болезненным агентам, проникающим в организм.
Чем меньше ребёнок, тем опаснее для него будет любое, даже самое невинное заболевание.
У малыша до года система дыхания ещё полностью не сформировалась. У него и лёгочная ткань ещё недозрелая, поэтому дыхательные пути не могут в полной мере наладить газообмен. Одно это, может предопределить развитие разнообразных опасных инфекций дыхательных путей.
Факторы риска:
- не до конца сформировавшаяся иммунная система — незрелость структур: гуморального и клеточного иммунитета, адаптационных механизмов;
- многие недолеченные и хронические инфекции носоглотки: ангина, синусит, гайморит, тонзиллит, бронхит и т. д.;
- приобретённые патологии носоглотки, лёгких;
- несвоевременное или неправильное лечение прежних вирусных инфекций;
- плохое питание;
- частые стрессы;
- хронические расстройства питания: гипотрофия, дистрофия, паратрофия;
- аспирационный синдром;
- астма;
- гиповитаминоз;
- переохлаждение — ослабляются защитные системы, и ребёнок становится уязвим к любым инфекциям;
- склонность: аллергии, рахиту, анемии;
- анатомические врождённые аномалии носоглотки, лёгких.
Читайте также:
Пневмония новорожденных есть шанс выжить
Диагностика
Первичный осмотр и обследование должны провести: педиатр и пульмонолог.
Диагностика начинается:
- измерения температуры, осмотр слизистых рта;
- выслушивания лёгочных тонов;
- анализ мокроты;
- пальпация лимфатических узлов;
- общие анализы крови, мочи;
- анализ крови на уровень лейкоцитов;
- перкуссия лёгких (выясняют какие изменения произошли в лёгочных тканях, определяют лёгочные границы и т. д.);
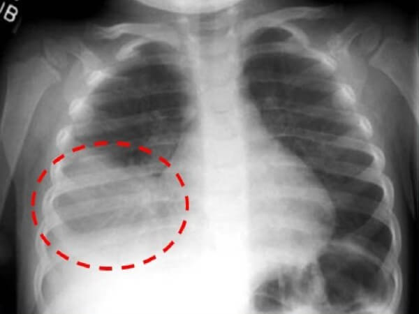
- рентгенологическое исследование в двух проекциях;
- по предписанию врача проводят томографию.
Лечение правосторонней пневмонии у детей
У многих врачей имеются стандартные подходы к лечению: быстрое устранение очага воспаления и его симптомов, это называется симптоматическое лечение. Но назначение делает только педиатр, или пульмонолог. До нормализации температуры показан строгий постельный режим, и желательно некоторое время после.
Необходимо полноценное питание, обильное тёплое питьё. Было бы совсем неплохо, чтобы мама освоила дыхательную гимнастику и проводила её вместе с ребёнком. Очень полезны: ингаляции небулайзером, массаж, аэроионотерапия, ЭВТ на грудную клетку.
Систематизируем:
- Антибактериальная терапия — направленная на эрадикацию возбудителя;
- Бронхолитики — при симптомах бронхиальной обструкции;
- муколитики, мукорегуляторы — принимаются перорально или в инстилляциях и ингаляциях;
- Назначают пентоксифиллин — для улучшения реологических свойств крови;
- Вводятся внутривенно изотонические растворы: минеральных солей, реополиглюкина, глюкозы, реосорбилакта;
- Инфузионная терапия для дезинтоксикации — корректируют водно-электролитные и кислотно-щелочные расстройства;
- Применяются низкомолекулярные гепарины для улучшения микроциркуляции лёгкого и предупреждения деструкции лёгочной ткани.
Медикаментозное
При терапии следует всегда придерживаться нижеследующих условий:
- Начинают лечение сразу до выявления возбудителя болезни, а затем при необходимости корректируют;
- Дальнейшую терапию проводят только под бактериологическим контролем: идентифицируют возбудителя, проводят микроскопию мазков мокроты;
- Делаются назначения антибиотиков так, чтобы в крови всегда находилась нужная концентрация препарата;
- Антибиотики необходимо использовать только до нормализации температуры, а дальше организм сам должен бороться с инфекцией.
Последнее утверждение до сих пор считается спорными, но многие светила науки убеждены, что при правильной дозировке все микроорганизмы должны погибать в первые несколько дней. А длительная терапия опасна из-за опасных последствий для молодого организма.
А для того чтобы проконтролировать процесс рассасывания лучше использовать — рентгенографию. Вред от неё будет даже меньшим, чем от чрезмерного употребления антибиотиков.
Основные принципы лечения:
- Антибактериальные, наиболее ходовые: Сумамед, Амоксициллин, Цефтриаксон и т. д. назначаются обычно курсом на 7–10 дней.
- Антигистаминные: Парлазин, Супрастин, Фенкарол и т. д.
- Жаропонижающие: Панадол, Ибуклин, Парацетамол и т. д.
- Отхаркивающие препараты: Джосет, Амброксол, Эреспал и т. д.
- Иммуностимуляторы: Цыгапан, Эргоферон, Зеффикс, Лаферон и т. д.
Дозировка любых лекарственных средств должна определяться исключительно врачом. Самолечение не только малоэффективно, оно способно привести к необратимым последствиям и даже смерти
Народные методы
Народные методы не смогут, конечно, заменить в полной мере традиционного лечения, но восстановить иммунитет после болезни им вполне по силам.
Сделайте дома следующее средство:
- 80–100 г берёзовых почек (можно свежесобранных, или высушенных);
- 700 мл мёда, лучше жидкого.
Всё смешать и кипятить на водяной бане 7–10 минут. Когда остынет процедить через стерильную марлю, или широкий бинт, сложенные в несколько слоёв.
Полученный состав хранить в холодильнике. Принимать: берём 1 ч. л. и растворяем в стакане слегка тёплой кипячёной воды. Пить каждый день перед сном в течение года.
Довольно эффективны и различные компрессы, их также накладывают перед сном:
- Берём свежи сорванные листья подорожника, промываем и просушиваем на воздухе. Обкладываем: грудь, спину и бока, накрываем сверху компресной бумагой и укутывают пуховым платком или любой шерстяной вещью. Можно держать всю ночь, но можно и 4–5 часов.
- Медовый компресс: грудь и спину намазываем тонким слоем мёда и накрываем смоченной в водке салфеткой.
Профилактика пневмонии у детей
В комнате ребёнка необходимо ежедневно проводить влажную уборку, не забывайте чаще проветривать помещение, температура воздуха около 20.
Ряд простых профилактических мероприятий не позволят допустить заболевание:
- Вовремя лечить хронические инфекции: кариес, тонзиллит, стрептодермию и т. д.
- Нельзя детей перекутывать,но переохлаждать также недопустимо.
- Систематическое закаливание.
- Укрепление иммунитета.
- Частые прогулки на свежем воздухе.
- Дети любого возраста должны полноценно питаться.
- Серьёзно подходить к лечению: гриппа и всех возможных вирусных инфекций, чтобы не допустить нежелательных последствий в виде осложнений.
- Желательно проводить прививки, особенно против: стрептококка, гриппа.
Читайте также:
Какое дыхание при пневмонии у детей
Несмотря на то что правосторонняя нижнедолевая пневмония у детей лечится сейчас довольно успешно, но всё равно 4% смертельных случаев всё равно ежегодно регистрируются в России.
Поэтому к этой болезни необходимо относиться серьёзно, а чтобы не допустить ненужных осложнений, нужно вовремя обращаться за помощью в лечебные учреждения. Будьте всегда здоровы!
Редактор
Дарья Тютюнник
Врач, судебно-медицинский эксперт
Для пневмонии характерна осенне-зимняя сезонность, когда велик риск переохлаждения организма и ослабления иммунитета в период повышенной заболеваемости ОРВИ и гриппом.
Правосторонняя пневмония является наиболее частым вариантом развития заболевания, что обусловлено анатомическим строением бронхиального дерева. Об этом мы и поговорим в сегодняшней статье.
Отличие от левосторонней
Правосторонняя пневмония представляет сбой воспалительный процесс, вызванный попаданием в детский организм инфекции.
Правые отделы легочной системы поражаются чаще из-за физиологических и анатомических особенностей строения бронхиального дерева. У детей мелкие бронхи уже, нежели у взрослых, а крупные бронхи и трахея – короче. Главный бронх, расположенный справа, короче и шире, чем левый. Поэтому инфекция быстрее и легче проникает в структуру правого легкого.
Правосторонняя пневмония чаще развивается на 5-8 день после начала других заболеваний органов дыхания: ОРВИ, бронхита, трахеита, и является осложнением данных заболеваний. Наиболее тяжело протекает пневмония у детей первого года жизни, что обусловлено не до конца сформировавшимся иммунитетом.
Различают следующие разновидности правосторонней детской пневмонии:
- верхнедолевая;
- нижнедолевая;
- среднедолевая.
Течение болезни происходит практически одинаково, но есть некоторые отличия.
Верхнедолевая форма
Особенность такой пневмонии заключается в её локализации в верхних долях легкого. В этом случае поражаются легочные сегменты – от 1 до 3. В большинстве случаев заболевание возникает из-за стафилококков, пневмококков, стрептококков и палочки Фридлендера.
Такая форма пневмонии характеризуется постепенными улучшениями при лечении. Симптомы проявляются поздно, однако встречаются случаи резко выраженной симптоматики уже на второй-третий день с возможностью установления точного диагноза.
Нижнедолевая форма
В нижней доле правого легкого чаще всего скапливаются вирусы и бактерии, из-за его косого направления. Особенностью нижнедолевой пневмонии у детей является её быстрое прогрессирование. Без грамотного лечения уже через несколько дней на месте очагового инфильтрата появляется сегментарный или долевой очаг.
Нижнедолевая правосторонняя пневмония
Нижнедолевое воспаление вызывается вирусом или бактериальным агентом. В большинстве случаев, организм ребенка встречается с ними впервые, антитела к возбудителю отсутствуют, поэтому иммунная система не способна сопротивляться.
Пневмония нижней доли отличается от воспаления верхней доли волнообразным течением – состояние ребенка может улучшиться, а затем снова резко ухудшиться. Возбудители, уничтоженные антибиотиками в процессе лечения, очень быстро могут появиться вновь. Поэтому очень важно соблюдать все назначения лечащего врача.
Симптомы
К первым проявлениям заболевания относятся:
- общее ухудшение состояния, головная боль, мышечная слабость;
- подъем температуры до 38-39°C;
- бледность кожи;
- одышка;
- учащённое сердцебиение;
- боли в правой части груди при глубоком вдохе и кашле;
- повышенное потоотделение, особенно в ночное время;
- отсутствие эффекта от жаропонижающих средств;
- сухие хрипы при вдохе и выдохе.
Обратите внимание! У детей первого года жизни одним из ранних симптомов пневмонии является плаксивость, нарушения сна, отказ от еды, бледность и посинение кожи в области носогубного треугольника.
В последующие несколько дней к перечисленным симптомам присоединяется кашель с характерной гнойной мокротой ржавого цвета.
При тяжелом течении правосторонней пневмонии наблюдается отставание правой половины грудной клетки в акте дыхания, участие вспомогательной мускулатуры (напряжение грудинно-ключично-сосцевидной мышцы и мышц пресса).
А также втягивание межреберных промежутков, раздувание крыльев носа при вдохе. Все это говорит о развитии дыхательной недостаточности.
У детей дошкольного и младшего школьного возраста на пике температуры может появиться бред, ригидность мышц затылка, тошнота, рвота.
Разница в симптомах верхнедолевой и нижнедолевой пневмонии обусловлена кровоснабжением и строением долевых бронхов.
Для верхнедолевой правосторонней пневмонии характерно:
- тяжелое течение;
- стойкое повышение температуры;
- кашель сухой, надсадный, отхождение мокроты может отсутствовать вплоть до разрешения заболевания;
- присоединение вирусных инфекций в виде проявления герпеса в области носогубного треугольника;
- возможная рвота, ригидность затылочных мышц (симптом менингизма).
Читайте также:
Профилактика и лечение от пневмонии
При локализации воспалительного процесса в правой нижней доле:
- кашель с отхождением вязкой мокроты желтого или “ржавого цвета”, прожилки крови в мокроте;
- боли в области пупка или правой подвздошной области, тошнота, рвота;
- частое вовлечение плевры в воспалительный процесс.
Важно помнить, что нижнедолевая правосторонняя пневмония часто осложняется ателектазом и абсцессом легкого.
Диагностика
Диагностика правосторонней пневмонии основывается на клинической картине, аускультативных и лабораторных симптомах.
К необходимым обследованиям при подозрении на воспаление лёгких относят:
- осмотр врача-педиатра;
- рентгенография органов грудной клетки в прямой и боковой проекциях;
- общий анализ крови;
- микроскопия мокроты, её бактериологический анализ для определения чувствительности возбудителя к антимикробным препаратам.
К критериям для постановки диагноза относят:
- лихорадку выше 38°C;
- кашель с выделением гнойной мокроты;
- лейкоцитоз в общем анализе крови;
- физикальные и аускультативные симптомы (укорочение перкуторного звука, крупно- и среднепузырчатые хрипы над областью поражения)
Лечение
При лечении пневмонии у детей главным вопросом является необходимость госпитализации ребенка в стационар.
Важно! Лечение в домашних условиях ребенка возрастом до трех лет не допускается!
Госпитализация показана также в случаях развития дыхательной недостаточности 2-3 степени, при вовлечении в воспалительный процесс нескольких долей легкого, других сопутствующих заболеваниях и иммунодефицитных состояниях.
Лечение правостороннего воспаления легких должно быть комплексным и включать не только антибактериальную терапию, но и симптоматическую, иммуностимулирующую, физиотерапию, а также полноценное питание, обильное питье и постельный режим.
Выбор антибиотика осуществляется врачом-педиатром сразу же после постановки диагноза и является эмпирическим в зависимости от возраста ребенка и характерных проявлений болезни.
При легких формах, неосложненном течении и благоприятном клиническом прогнозе длительность приема препаратов составляет 7 дней, при необходимости курс продлевается до 14 дней. Критерием отмены антибактериального препарата является угасание симптоматики и регресс рентгенологических проявлений.
Если на фоне приема антибиотиков в течение трех дней не наступает улучшения состояния пациента, необходимо отменить выбранный изначально препарат и начать новый курс терапии антибиотиком другой группы.
При лечении нижнедолевой пневмонии легкой и средней степени тяжести обычно используются пероральные формы (таблетки, капсулы, сиропы) как антибиотиков, так и симптоматических препаратов.
Изображение лекарств и их название может отличаться от тех, которые назначил ваш лечащий врач
Основными группами антибактериальных препаратов для лечения воспаления легких являются:
- пенициллины (амоксициллин)
- защищенные пенициллины (амоксициллин+клавулоновая кислота)
- макролиды (кларитромицин, азитромицин)
- цефалоспорины II-III поколения (цефотаксим, цефтриаксон)
- фторхинолоны (левофлоксацин, ципрофлоксацин)
Симптоматическая терапия включает в себя назначения жаропонижающих средств – парацетамол, нурофен, ибупрофен.
Обратите внимание! Детям до 12 лет противопоказаны препараты на основе аспирина и анальгина из-за возможных побочных эффектов и развития поражения печени.
Для улучшения отхождения скапливающейся в бронхах мокроты, необходимо использовать препараты, разжижающие вязкий бронхиальный секрет и расширяющие бронхи – бромгексин, амброксол, атровент.
Для лечения воспаления, локализующегося в верхней доле правого легкого, возможно назначение антибиотиков перорально, а бронхолитических препаратов через специальный прибор – небулайзер, преобразующий лекарство в мелкую взвесь, которая попадает напрямую в мелкие бронхи и в маловентилируемые участки легких.
Среди доступных препаратов для использования через небулайзер можно выделить три группы:
- бронхолитики (сальбутамол, вентолин), назначающиеся при выраженном бронхоспазме;
- отхаркивающие (муколитики) препараты (ацетилцистеин, гвайфенезин, амброксол);
- противовоспалительные (декасан, будесонид).
Важно! Высокая температура, дыхательная недостаточность и обильные гнойные выделения являются противопоказаниями для введения препаратов через небулайзер!
После стихания воспалительного процесса и снижения температуры рекомендовано назначение физиопроцедур и дыхательной гимнастики. Такие физиопроцедуры, как индуктометрия и электрофорез, способствуют более быстрому и полному восстановлению легочной ткани. Дыхательная гимнастика и массаж грудной клетки помогают вывести оставшуюся мокроту из бронхов и значительно уменьшают остаточные явления в виде кашля и незначительных хрипов.
Упражнения при пневмонии и плеврите
Справочные материалы (скачать)
Заключение
Дети, перенесшие правостороннюю пневмонию, после полного выздоровления должны состоять на учете у участкового врача-педиатра в течение одного года с проведением контрольной рентгенограммы органов грудной клетки и осмотра ребенка узкими специалистами для выявления поздних осложнений пневмонии.






