Двусторонняя пневмония (воспаление легких) является заболеванием легких, для которого характерен двусторонний воспалительный процесс паренхимы легких. Пневмонию могут вызывать бактерии, вирусы, грибки, смешанная флора.
Двустороннее воспаление легких сопровождается специфическими морфологическими изменениями. На начальной стадии пневмонии, так называемой, стадии красного опеченения, поражаются альвеолярные ацинусы, вследствие чего возникают мелкоочаговые кровоизлияния. После этого наступает стадия серого опеченения, во время которой происходит воспаление поврежденных участков, нарастает слой фибрина.
Двусторонняя пневмония относится к числу наиболее опасных заболеваний, которое, при отсутствии адекватного лечения, может привести к дыхательной недостаточности и, как следствие, к летальному исходу. Поэтому при малейших тревожных симптомах необходимо обратиться за квалифицированной медицинской помощью.
В клинике терапии Юсуповской больницы Москвы можно провести диагностику и лечение пневмонии. Наши специалисты обладают богатым практическим опытом терапии любого вида пневмонии, в том числе и двусторонней. Благодаря применению современных методик выздоровление наступает в кратчайшие сроки, при этом риск развития осложнений сведен к нулю.
Причины развития
Воспаление легких может развиваться вследствие травм грудной клетки, воздействия токсических веществ, ионизирующего излучения, аллергенов. В группе риска по развитию двустороннего воспаления легких находятся пациенты с хроническими бронхитами, врожденными пороками легких, иммунодефицитными состояниями, сердечной недостаточностью, хроническими болезнями печени, ослабленным и истощенным организмом, старческого возраста.
В значительной мере подвержены возникновению пневмонии люди, злоупотребляющие алкоголем и табакокурением. Кроме общего негативного влияния на организм, данные токсические вещества повреждают слизистую оболочку бронхов и создают благоприятную среду для размножения бактерий.
Итак, развитие двустороннего воспалительного процесса в легких может быть обусловлено следующими провоцирующими факторами:
- переохлаждением либо перегреванием организма;
- частыми ОРВИ и осложнениями простудных заболеваний;
- бактериальными инфекциями;
- аутоиммунными заболеваниями;
- дефицитом сурфактанта;
- ослаблением иммунитета;
- хроническим недосыпанием;
- сердечной недостаточностью;
- хроническими заболеваниями органов дыхательной системы (бронхитом, астмой, синуситом, гайморитом);
- аллергическими реакциями.
В большинстве случаев двустороннее воспаление легких вызвано сильным переохлаждением, вследствие которого снижается локальное кровоснабжение органов дыхательной системы.
При недостаточном поступлении кислорода к легким ухудшается доставка иммуноглобулинов к легочной паренхиме и выработка макрофагов. В связи с этими процессами происходит быстрое размножение бактерий в легочных тканях.
При частых простудных заболеваниях происходит разрушение бронхиального эпителия, снижение местного иммунитета, активизация воспалительных процессов.
Недостаточность сурфактанта приводит к травматизации альвеолярных ацинусов, в результате чего пораженные участки зарастают соединительной тканью.
Вследствие деформации структуры бронхиального дерева образуются бронхоэктазы – расширения, в которых скапливаются и размножаются болезнетворные микроорганизмы, в результате чего может развиться 2-сторонняя пневмония.
При аллергических состояниях наблюдается истощение иммунной системы и снижение защитных функций организма. Пациенты с бронхиальной астмой и поллинозами имеют склонность к развитию двустороннего воспаления легких.
Симптомы
Двустороннее воспаление легких – очень серьезное заболевание, которое нельзя игнорировать или переносить на ногах. Оно может приводить к опасным последствиям и к летальному исходу. Двусторонняя пневмония проявляется различными симптомами, которые зависят от общего состояния больного, степени тяжести заболевания и других факторов. К основным характерным признакам заболевания относят:
- слабость;
- снижение или отсутствие аппетита;
- усиленное потоотделение;
- повышение температуры тела;
- кашель (сухой, влажный);
- синюшность кожных покровов носогубного треугольника, кончиков пальцев;
- одышка;
- тяжелое дыхание.
В некоторых случаях начало заболевания может протекать бессимптомно. Одним из первых симптомов двустороннего воспаления легких является резкое повышение температуры (до 39 градусов и выше). О большом поражении легочных тканей свидетельствует одышка.
У больного отмечается появление сухого, надсадного кашля, который со временем становится влажным. В мокроте могут обнаруживаться гнойные отделения и сгустки крови. Дыхание становится учащенным, поверхностным, ощущается боль в области грудной клетки, иррадиирущей в межлопаточное пространство.
Учитывая опасность осложнений заболевания, наличие хотя бы нескольких из вышеперечисленных симптомов должно быть веским основанием для безотлагательного обращения за медицинской помощью.
Диагностика
Для предотвращения осложнений, заболевание нуждается в срочной диагностике и адекватном лечении.
При выставлении диагноза учитываются жалобы больного, данные анамнеза заболевания, перкуторная и аускультативная картина. Выявление над легкими притупленного перкуторного звука, сухих и влажных хрипов при ослабленном дыхании с большой долей вероятности может подтверждать наличие пневмонии.
Важная роль в диагностике принадлежит результатам общего анализа крови, рентгенографии легких и бактериологического анализа мокроты.
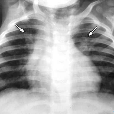
Обзорная рентгенография позволяет выявить в легких инфильтративные двусторонние затемнения очагового, сегментарного или тотального характера. Данное исследование – основной подтверждающий критерий двусторонней пневмонии.
Общий анализ крови больного показывает увеличенные показатели СОЭ, лейкоцитов, сдвиг лейкоцитарной формулы вправо.
Анализ мокроты позволяет определить тип возбудителя воспалительного процесса. Это необходимо, чтобы подобрать правильный антибактериальный препарат.
Качественное выполнение диагностики производят в Юсуповской больнице. Клиника оснащена всем необходимым оборудованием для проведения полноценного исследования. Ранняя диагностика заболевания способствует своевременному началу терапии, что в значительной степени снижает риск развития осложнений.
Лечение
Лечение двусторонней пневмонии рекомендуется проводить в стационаре. Учитывая опасность данной патологии, пациент должен находиться под постоянным наблюдением врача для оказания необходимой помощи. Для лечения заболевания используют антибактериальные препараты. Помимо этого лечение в клинике терапии Юсуповской больницы основывается на целом ряде принципов. Это:
- строгое соблюдение постельного режима;
- высококалорийное питание;
- обильное употребление жидкости (для выведения токсинов из организма);
- применение препаратов иммуномодулирующего действия, витаминных и минеральных комплексов;
- кислородные ингаляции;
- физиотерапевтические процедуры;
- дыхательная гимнастика;
- регулярные контрольные исследования: анализы крови, мочи, мокроты, флюорографии ОГК.
Основными целями лечения двустороннего воспаления легких являются:
- устранение возбудителя болезни;
- коррекция иммунитета;
- предотвращение развития осложнений.
В основе лечения пневмонии лежит применение антибактериальных препаратов (этиотропная терапия). Перед его назначением выполняют бактериальный посев мокроты, а в случае необходимости – проводят тест на чувствительность микроорганизмов к антибиотикам. Чаще всего при воспалении легких назначается прием макролидов, антибиотиков тетрациклинового ряда, бензилпенициллинов, аминопенициллинов, цефалоспоринов и фторхинолонов.
Больным в остром периоде проводят дезинтоксикационную и иммунозаместительную терапию. Кроме того, проводится симптоматическое лечение с применением жаропонижающих препаратов (ацетилсалициловой кислоты, парацетамола), муколитиков (отхаркивающих средств – бромгексина, амброксола), противовоспалительных препаратов (кетотифена, тавегила) и общеукрепляющих препаратов (элеутерококка, виферона).
Пациентам, страдающим заболеваниями сердечно-сосудистой системы, назначается прием сердечных гликозидов. Восстановить нормальную вентиляцию легких и снизить воспалительные процессы помогает применение физиотерапевтических методов лечения.
Последствия и осложнения
Обширная двусторонняя пневмония без должного лечения может привести к серьезным последствиям. Такими опасными осложнения воспаления легких являются:
- воспаление плевры (плеврит);
- отек легких;
- абсцесс легких;
- серьезные нарушения дыхания;
- инфекционно-токсический шок.
Пневмококковая инфекция способна распространиться по организму и вызвать воспалительный процесс среднего уха и менингит. Она очень быстро размножается и сильно токсична. В результате ослабления организма дополнительно может произойти заражение легионеллой. Совместно бактерии распространяются по организму в течение нескольких дней, и не все антибиотики способны справиться с такой ситуацией.
После перенесенного воспаления легких инфекция может остаться в организме человека в пассивной форме. Таким образом человек становится носителем инфекции и может заразить окружающих с низким иммунитетом: детей или людей пожилого возраста.
При несвоевременном лечении двустороннее воспаление легких приводит к смертельному исходу. Поэтому при первых симптомах воспаления легких необходимо обратиться за медицинской помощью. При непрекращающемся кашле, высокой температуре, боли в груди, затрудненном дыхании пациенту будет предложена госпитализация для осуществления лечения под контролем врача.
Прогноз
Прогноз заболевания будет зависеть от возраста пациента, устойчивости возбудителя, наличия дополнительных заболеваний, реакции иммунной системы и правильного выбора терапии. Двустороннее воспаление легких будет иметь неблагоприятный прогноз при осложненном течении заболевания, наличии иммунодефицитных состояний, у детей первого года жизни.
При своевременном и адекватном лечении двусторонняя пневмония заканчивается выздоровлением. Полное восстановление структур тканей легких наблюдается в 70% случаев.
Лечение в Юсуповской больнице
При подтверждении диагноза пневмонии необходимо экстренное начало лечения. Самолечение в данной ситуации не просто не оправданно, но и смертельно опасно. Квалифицированные специалисты клиники терапии Юсуповской больницы подберут эффективную и безопасную для организма схему приема препаратов нового поколения и окажут всестороннюю поддержку до самого выздоровления.
В круглосуточном стационаре Юсуповской больнице вас ждет комфортное пребывание в уютных палатах, полноценное питание и качественная медицинская помощь внимательного персонала.
Не рискуйте своим здоровьем, при первых признаках пневмонии запишитесь на прием к специалисту клиники терапии Юсуповской больницы по телефону. Нюансы госпитализации можно уточнить на нашем сайте, связавшись с врачом-координатором online.
Автор
Доктор медицинских наук, профессор, врач высшей квалификационной категории
Список литературы
- МКБ-10 (Международная классификация болезней)
- Юсуповская больница
- «Болезни органов дыхания». Руководство под ред. акад. РАМН, проф. Н.Р.Палеева. М., Медицина, 2000г.
- Дыхательная недостаточность и хроническая обструктивная болезнь легких. Под ред. В.А.Игнатьева и А.Н.Кокосова, 2006г., 248с.
- Илькович М.М. и др. Диагностика заболеваний и состояний, осложняющихся развитием спонтанного пневмоторакса, 2004г.
Наши специалисты
Доктор медицинских наук, профессор, врач высшей квалификационной категории
Врач-терапевт, гастроэнтеролог, кандидат медицинских наук. Заместитель генерального директора по медицинской части.
Врач-эндоскопист
Цены на лечение двустороннего воспаления легких
*Информация на сайте носит исключительно ознакомительный характер. Все материалы и цены, размещенные на сайте, не являются публичной офертой, определяемой положениями ст. 437 ГК РФ. Для получения точной информации обратитесь к сотрудникам клиники или посетите нашу клинику.
Скачать прайс на услуги
Мы работаем круглосуточно
Двухсторонняя (двусторонняя) пневмония — это тяжелый воспалительный процесс в обоих легких с обязательным вовлечением альвеол и — в ряде случаев — интерстициального компонента. В альвеолах происходит скопление воспалительного клеточного выпота, который препятствует нормальному газообмену, вызывает разрушение межальвеолярных перегородок и проникает в межуточную соединительную ткань.
Пневмония — довольно распространенная патология, которая поражает до 17 миллионов человек ежегодно. По меньшей мере 800 тысяч среди них — дети. Смертельным исходом заканчиваются почти 300 тысяч случаев. С конца 2019 года число заболевших двухсторонней пневмонией стало еще больше из-за распространившейся по миру новой формы коронавирусной инфекции, вызывающей тяжелое интерстициальное воспаление сразу в обоих легких. В данном случае не вызывает сомнений опасность двухстороннего вирусного воспаления для жизни заболевшего, особенно, если он страдает сопутствующей патологией органов дыхания, иммунной системы, сахарным диабетом и др., находится в преклонном возрасте или не имеет доступа к качественной медицинской помощи.
Основная масса легкого как высокоспециализированного органа газообмена представлена альвеолами — микроскопическими округлыми полостями, в которых воздух контактирует с множеством мельчайших сосудов микроциркуляторного русла. Поддерживающую, питательную и защитную функцию выполняет своеобразный соединительнотканный каркас из тончайших волокон и сосудов — интерстиций (межуточное вещество).
Как альвеолы, так и интерстициальная ткань могут по отдельности или одновременно быть вовлеченными в воспаление. Двухсторонняя пневмония дает очаги поражения сразу в обоих легких, что обуславливает тяжелое течение, сложности терапии, высокий риск осложнений и гибели пациента.
Воспаление легких включает целую группу самых разных по происхождению, локализации и клиническим особенностям поражений легочной паренхимы. При неинфекционном генезе патологии чаще говорят о пневмоните или альвеолите (при системной красной волчанке, ревматоидном артрите, профессиональных поражениях силикатами, асбестозе и т. д.). На практике такие пневмониты весьма часто способствуют присоединению вторичной микрофлоры с развитием пневмонии.
Для подтверждения диагноза и назначения терапии всем пациентам с подозрением на пневмонию обязательно проводят рентгенографию грудной клетки, забор мокроты с последующим ее посевом и определением чувствительности флоры к антибиотикам. Несвоевременная диагностика и позднее начало лечения сильно снижают вероятность благоприятного исхода и чреваты фатальными для пациента последствиями.
Разновидности и причины пневмонии
В зависимости от объема легочной паренхимы, вовлеченной в воспалительный процесс, принято различать:
- Очаговую — бронхопневмония;
- Долевую — плевропневмония.
Бронхопневмония представляет собой следствие локального бронхита, когда воспаление из бронха распространилось на окружающую легочную ткань. Бронхопневмония нередко служит осложнением хронической бронхолегочной патологии, развивается у лежачих больных, пациентов после операций. В этих случаях чаще всего она носит двухсторонний характер.
Плевропневмонию иначе называют крупозной, она всегда поражает как минимум долю легкого и ее плевру. Плевропневмония — самостоятельная патология, которая может возникнуть как у людей с предрасполагающим фоном, так и у вполне здоровых лиц.
Сегментарная пневмония охватывает сегмент легкого — участок, который вентилируется самостоятельным сегментарным бронхом. Возможно воспаление как одного сегмента, так и нескольких в одном или обоих легких. Полисегментарная двухсторонняя пневмония может развиваться при инфицировании респираторными вирусами или бактериями. В тяжелых случаях она приобретает характер сливной или даже тотальной.
По происхождению выделяют:
- Первичную пневмонию — самостоятельное заболевание;
- Вторичную — осложняет иную патологию.
Кроме того, различают радиационную пневмонию, которая развивается при действии ионизирующего излучения.
Частыми возбудителями инфекционных пневмоний выступают пневмококки, палочка Фридлендера, стафило- и стрептококки, а также респираторные вирусы — гриппа, аденовирус, респираторно-синтициальный, коронавирусы различных типов и др. В последние годы среди возбудителей пневмонии нередки микоплазмы и хламидии.
Грибковая двухсторонняя пневмония — показатель крайне низкой иммунной защиты организма. Возбудители ее — аспергилл, кандида, пневмоцисты, мукор и другие грибки. Чаще всего они выступают в ассоциации с бактериями и вирусами — смешанная пневмония.
Клиническое течение пневмонии может выражаться в острой форме (до трех недель), затяжной (до 2 месяцев), подострой (до полутора месяцев) и хронической, растягивающейся на месяцы, годы и даже десятилетия. По степени тяжести пневмония бывает легкой, средней и тяжелой степени, однако двухсторонняя пневмония, как правило, процесс тяжелый.
Пневмония может быть внебольничная, внутрибольничная и ятрогенная. Внебольничнаяпневмония возникает вне лечебного учреждения у лиц с нормальным или нарушенным иммунитетом, при аспирации содержимого желудка или инородных тел в дыхательные пути.
Внутрибольничной пневмонии подвержены пациенты, находящиеся на стационарном лечении. Это длительно лежащие больные после операций, на искусственной вентиляции легких, в состоянии комы, после инсульта, принимающие цитостатики и иммунодепрессанты, а также те, кто ожидает или готовится к пересадке органов.
Ятрогенные пневмонии возникают на фоне проводимого лечения — инфузионная терапия, гемодиализ. Кроме того, воспалению легких очень подвержены старики в домах престарелых, хосписах, больницах сестринского ухода.
Опасность пневмонии наиболее высока при наличии следующих условий:
- Мужской пол — мужчин среди заболевших примерно на треть больше;
- Возраст до 5 лет и старше 65;
- Хроническая бронхолегочная патология;
- Нарушения иммунитета;
- Врожденные пороки развития дыхательной системы;
- Пневмопатии новорожденных;
- Недоношенность, родовые травмы;
- Муковисцидоз;
- Сахарный диабет;
- Операции на органах грудной или брюшной полости;
- Курение, злоупотребление алкоголем.
На заболеваемость пневмонией влияют уровень жизни, социальная устроенность, характер трудовой деятельности и даже семейный статус. Эпидемические вспышки возникают из-за особенностей географической распространенности отдельных вирусов или бактерий.
Симптоматика воспаления легких
При пневмонии в альвеолах и/или интерстиции легкого развивается воспалительный процесс, сопровождающийся проникновением в очаг клеток крови (лейкоциты, лимфоциты, эритроциты), белка фибрина, плазмы, которые затрудняют или делают невозможным процесс дыхания. Чем больше пораженной паренхимы, тем тяжелее протекает воспаление. Двухсторонняя пневмония — это всегда очень серьезно.
Инфекция может проникнуть в легочную ткань через бронхи (при вдыхании микроорганизмов с воздухом, при проведении бронхоскопии, интубации трахеи), гематогенно через кровь (при сепсисе, у наркоманов), лимфогенно (очень редко). Возбудитель фиксируется в эпителиальных клетках мелких бронхов и бронхиол, а затем воспаление распространяется на окружающие альвеолы.
Пытаясь избавиться от экссудата и восстановить бронхиальную проходимость, организм отвечает кашлем — одним из главных симптомов воспаления легких. По мере прогрессирования пневмонии присоединяется дыхательная недостаточность, нарастает гипоксия, ацидоз, и сердце может не справиться.
Симптомы пневмонии зависят от объема поражения, возбудителя, индивидуальных особенностей заболевшего. Характерны:
- Высокая лихорадка (до 39-40 градусов);
- Интенсивный кашель (сухой или продуктивный);
- Одышка;
- Боль в области грудной клетки;
- Сильная слабость, головная боль, боли в мышцах на фоне интоксикации.
Банальная бактериальная двухсторонняя пневмония у взрослого или ребенка протекает с подъемом температуры до высоких цифр, ознобом, выраженной слабостью. Кашель чаще влажный, с выделением все большего количества мокроты, которая может быть слизистой или гнойной. При осмотре обнаруживаются жесткое дыхание, хрипы над пораженными зонами легких.
Так называемая атипичная пневмония, возбудителем которой может стать микоплазма, легионелла, хламидия, вирусы, в том числе nCoV-19, имеет некоторые особенности: начинается постепенно, кашель чаще сухой, мучительный, не устраняемый привычными лекарствами. На первый план могут выступить симптомы, больше характерные для ОРВИ: головная боль, боли и ломота в мышцах, сухость и першение в горле, сильная слабость, сонливость.
У ребенка клиническая картина двухсторонней пневмонии развивается стремительно, и чем младше пациент, тем тяжелее его состояние. Маленькие дети склонны к быстрой генерализации процесса, образованию сливных пневмонических очагов. Клиника пневмонии новорожденных и детей первого года жизни включает лихорадку, одышку, кашель, признаки гипоксии в виде синюшности носогубного треугольника.
Двухсторонняя крупозная пневмония— тяжелейшее заболевание, сопровождающееся воспалением паренхимы легкого и плевры, покрывающей пораженную долю. Лихорадка до 40 градусов, слабость, боли в груди, одышка усиливаются в первые дни болезни. Спустя несколько дней в числе симптомов появляется интенсивный кашель с выделением обильной мокроты характерного ржавого цвета за счет имеющихся в ней разрушенных эритроцитов. В момент кашля пациент ощущает сильную болезненность в груди.
Диагностика и лечение пневмонии
Диагностика двухсторонней пневмонии предполагает не только осмотр, аускультацию, пальпацию грудной клетки, которые могут оказаться незаменимыми на догоспитальном этапе. В обязательном порядке проводятся лабораторные исследования и рентгенография грудной клетки.
Основными исследованиями при подозрении на двухстороннюю пневмонию являются:
- Рентген, КТ грудной клетки;
- Общий и биохимический анализы крови;
- Определение газового состава крови;
- Забор мокроты с ее микроскопией и посевом для выделения микробной флоры.
Кроме того, могут быть назначены бронхоскопия, пункция плевральной полости, видеоторакоскопия, биопсия легкого.
При осмотре пациента с двухсторонней пневмонии врач фиксирует высокую температуру тела, заметна потливость, больной слаб. Аускультативные феномены зависят от стадии и формы пневмонии — от полного отсутствия каких-либо дыхательных шумов над пораженным отделом, который полностью пропитан воспалительным инфильтратом и безвоздушен, до сухих и влажных хрипов и крепитации в период рассасывания выпота в альвеолах. Если поражена плевра, врач услышит характерный ее шум в момент вдоха и выдоха. Перкуссия выявляет притупление перкуторного звука над уплотненной легочной тканью.
В анализах крови изменения тоже могут быть разными. При типичной пневмонии увеличивается СОЭ, резко возрастают лейкоциты, белки острой фазы. В случае атипичной, вирусной пневмонии лейкоциты могут оставаться нормальными или даже снижаются, характерны нейтропения и лимфоцитоз, возможно уменьшение числа тромбоцитов.
При нарастающей одышке и дыхательной недостаточности снижается содержание кислорода в крови, которое фиксируется посредством пульсоксиметрии или определения газового состава крови. Снижение сатурации — главный момент, определяющий необходимость кислородной поддержки или перевода больного на искусственную легочную вентиляцию.
Лечение двухсторонней пневмонии определяется причиной заболевания, степенью тяжести и показателями дыхательной и сердечной деятельности. Терапия включает:
- Жаропонижающие и противовоспалительные средства — парацетамол, ибупрофен и их сочетания;
- Обильное теплое щелочное питье (чай, отвары ромашки, обычная или минеральная вода, компот);
- Противокашлевые и разжижающие мокроту препараты — АЦЦ, амброксол, амброгексал и др.;
- Ингаляции бронхолитиков — беродуал, атровент;
- Физиотерапевтические процедуры, массаж, специальные упражнения, облегчающие отхождение мокроты.
Все пациенты с двухсторонней пневмонией соблюдают строгий постельный режим, но по мере нормализации состояния необходимо активизироваться для улучшения вентиляции легких и дренажной функции бронхиального дерева. Питание должно быть легкоусвояемым, с достаточным объемом потребляемой жидкости. Продолжительность лечения составляет в среднем около 2 недель, но возможно и дольше, если пневмония принимает затяжное течение или возникли осложнения.
При бактериальной пневмонии или вирусной, осложнившейся вторичным инфицированием бактериями, обязательно назначаются антибиотики. До получения результатов посева мокроты применяют антибиотики широкого спектра действия, вводимые внутривенно, из группы фторхинолонов, макролидов, цефалоспоринов, защищенных пенициллинов (аугментин, азитромицин, цефтриаксон и др.). Лечение начинают с назначения как минимум двух препаратов из разных групп.
После получения результата посева и определения чувствительности микрофлоры к антибактериальным препаратам либо оставляют те же лекарства, если флора к ним чувствительна, либо меняют на другие, эффективные в данном конкретном случае. Если эффекта от лечения не наступает спустя 5 дней от начала лечения, антибиотики меняют на другие.
При выраженном воспалительном ответе могут применяться глюкокортикостероиды, предупреждающие массивное повреждение ткани легкого собственными ферментами и лейкоцитами.
Применение разжижающих мокроту средств, отхаркивающих и иных противокашлевых препаратов требует соблюдения питьевого режима, при этом разжижающие препараты должны назначаться отдельно от тех, которые блокируют кашлевой рефлекс, дабы избежать нарушения дренажа и застоя инфицированной мокроты в бронхах.
При снижении концентрации кислорода в крови, нарастании тканевой гипоксии, усугублении одышки и признаков дыхательной недостаточности, показана кислородная поддержка в виде вдыхания воздушной смеси, обогащенной кислородом. В тяжелых случаях пациента проводят на искусственную легочную вентиляцию, чтобы не только помочь легким дышать, но и немного их разгрузить, дав время и возможность для ликвидации воспаления.
Споры касательно особенностей лечения отдельных видов пневмонии идут и по сей день. В частности, особую сложность представляют вирусные поражения, которые очень часто принимают быстро прогрессирующее течение и поражают оба легких одновременно.
Двухсторонняя вирусная пневмония подлежит обязательной госпитализации. Проводится постоянный мониторинг сатурации (содержания кислорода крови), пациент дышит кислородом. При неэффективности — переводится на ИВЛ. Есть мнение, что глюкокортикостероиды при вирусной двухсторонней пневмонии не только не несут пользы, но и могут усугубить состояние, поэтому гормоны не применяют.
Антибактериальная терапия при вирусной пневмонии показана при присоединении бактериальной флоры. На вирусы антибиотики не действуют, но могут вызвать снижение местного иммунитета, поэтому злоупотреблять ими не стоит.
Коронавирусная пневмония COVID-19 лечится по тем же принципам, что и любая другая:
- Постельный режим;
- Обильное питье;
- Жаропонижающие средства;
- Кислородная поддержка, ИВЛ и экстракорпоральная оксигенация в тяжелых случаях.
Есть данные об эффективности отдельных антиретровирусных препаратов (применяются для лечения СПИДа). Наблюдения за пациентами показывают, что препаратом выбора для купирования лихорадки можно считать парацетамол. Многие специалисты, занимающиеся пациентами с COVID-19, не рекомендуют применение ибупрофена ввиду некоторых особенностей его метаболизма, которые могут стать причиной лучшего проникновения вирусов в клетки.
Многие моменты касательно атипичных пневмоний и коронавирусной инфекции, в частности, до сих пор остаются спорными и неразрешенными из-за отсутствия большого числа наблюдений, времени и возможности для клинических испытаний, однако специалисты, изучающие коронавирус, каждый день делают попытки найти наиболее эффективные схемы лечения.
Осложнения, прогноз и профилактика
Двухсторонняя пневмония представляет опасность ввиду высокого риска осложнений, в числе которых:
- Абсцесс и гангрена легкого;
- Гнойный плеврит;
- Медиастинит с вовлечением в воспаление органов средостения;
- Фиброз большого объема легочной ткани с развитием в дальнейшем дыхательной недостаточности;
- Рубцы в легком;
- Сепсис.
Смерть чаще всего наступает от острой дыхательной, сердечно-легочной недостаточности либо сепсиса. Прогноз весьма серьезен, особенно, у маленьких детей, стариков, лиц с патологией органов дыхания или иммунодефицитом. У относительно здоровых людей при эффективности проводимого лечения прогноз более благоприятный, однако нужно помнить, что любое воспаление в легких оставляет после себя последствия в виде рубцов или локального пневмофиброза, который может привести в конечном итоге к дыхательной недостаточности.
Сегодня некоторые виды пневмонии можно предупредить путем вакцинирования. В частности, ВОЗ рекомендует прививки от пневмококковой пневмонии, которая становится причиной серьезных осложнений у детей более чем в 90% случаев. Вакцинация проводится единожды, повтор ее показан через 5 лет людям после 65 лет и тем, у кого есть нарушения иммунитета.
Прививка от пневмококковой пневмонии необходима:
- Лицам в возрасте после 65 лет;
- Детям от 2 лет и взрослым до 65, которые страдают хронической патологией сердца, легких, сахарным диабетом, алкоголизмом, циррозом печени;
- Людям с иммунодефицитом, лимфопролиферативными заболеваниями, гемобластозами, ВИЧ-инфицированным, больным хронической почечной недостаточностью;
- Курильщикам, астматикам;
- Пациентам, проходящим облучение или лечение цитостатиками, гормонами, иммунодепрессантами;
- Работникам детских коллективов.
Еще одна вакцина разработана для профилактики пневмонии, вызываемой гемофильной палочкой. Эту прививку ВОЗ рекомендует включать в прививочные календари всем странам. Исследования показывают, что в странах, где проводится активная иммунизация детей, взрослое население также гораздо меньше болеет благодаря популяционному иммунитету.
Видео: общая информация + лекция о современных пневмониях
Мнения, советы и обсуждение:












