Одним из симптомов пневмонии является одышка. При ее возникновении больному не хватает воздуха не только при малейших физических нагрузках, но и в состоянии покоя, а это создает определенный дискомфорт. Одышка при пневмонии увеличивает риск развития острой дыхательной недостаточности, что очень опасно для жизни.
Одышка при данном заболевании может быть гипоксемической, гиперкапнической или смешанной. Первый вариант возникает из-за недостаточного оксигенирования крови при нормальной вентиляции. Гиперкапническая сопровождается снижением легочной вентиляции. Смешанная одышка при воспалении легких включает два предыдущих типа и появляется довольно часто.
Диагностика пневмонии
Пневмония – острое заболевание, возникающее по причине поражения респираторных отделов легочной ткани и вызывающее их воспаление. Причиной развития недуга могут стать:
- вирусы;
- бактерии;
- гельминты;
- грибы;
- простейшие микроорганизмы.
Выделяют следующие симптомы воспаления легких:
- повышенная температура тела;
- головная боль;
- ломота в теле и ощущение слабости;
- одышка при небольших физических нагрузках;
- боли в грудной клетке;
- кашель с мокротой.
Основным симптомом, по которому врач может распознать пневмонию, являются характерные отклонения в дыхании. О наличии воспаления легких говорит приглушенный звук при перкуссии, голосовое дрожание, жесткие вдох-выдох, множество различных хрипов (свистящих и жужжащих), крепитация над пораженным участком.
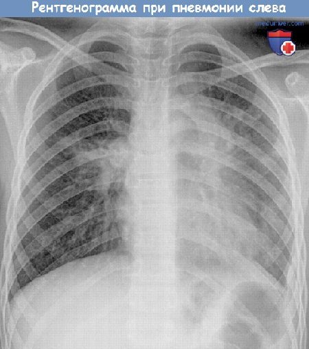
Рентген грудной клетки для диагностики пневмонии
Для точной диагностики больного обязательно отправляют на рентген грудной клетки. Про наличие пневмонии говорит скопление инфильтрата, который может занимать небольшой сегмент или целое легкое.
Общий анализ крови покажет увеличение лейкоцитов, сдвиг лейкоцитарной формулы влево и ускорение СОЭ.
При диагностике пневмонии проводят бактерицидный анализ мокроты, который поможет выявить возбудителя болезни. Длительность этого исследования составляет до 7 дней.
Типы дыхания и их проявления
Одышка при воспалении легких представляет собой чувство, при котором человек ощущает дыхательный дискомфорт в виде нехватки воздуха. Отягощенное дыхание сперва появляется только при физических нагрузках, а затем и в состоянии покоя. Существует 3 стадии одышки:
- Дыхание затрудняется и становится жестким только после механического напряжения, соотношение частоты пульса к дыханию составляет 2,5:1.
- Одышка возникает уже при небольшом мышечном напряжении, появляется тахикардия, соотношение пульса к дыханию составляет 1,5:1.
- Одышка наблюдается даже в состоянии покоя. Частота пульса к дыханию коррелирует. Сознание – на уровне сопора или комы.
При пневмонии иногда возникает дыхательная недостаточность – это состояние, при котором легкие не могут обеспечить тканям и клеткам достаточный уровень кислорода. Компенсаторные механизмы в данном случае истощаются.
Острая дыхательная недостаточность появляется в результате скопления в альвеолах экссудата. Это говорит о том, что нарушается механизм обмена кислорода и углекислого газа между альвеолоцитами и капиллярами. Для такого состояния характерно нарастание давления углекислого газа и уменьшение давления в крови кислорода.
Симптомами дыхательной недостаточности являются:
- учащенное сердцебиение;
- цианоз;
- втягивание межреберных участков грудной клетки;
- дезориентация и беспокойное состояние;
- гипертензия;
- жесткое дыхание.
Лечение воспаления легких
При подозрении на дыхательную недостаточность больному нужно срочно вызвать скорую помощь. Врачи положат пациента в реанимацию или терапевтическое отделение.
До приезда скорой следует оказать первую помощь. Для этого организовывают поступление влажного воздуха сквозь лицевую маску в легкие. Больной может находиться в полусидящем или полулежащем положении. Вентилирование легких проводят с помощью аппарата с эндотрахеальной трубкой, через которую должен поступать воздух.
Для нормализации дыхательной функции необходимо вылечить основное заболевание, которое привело к ее нарушению. С этой целью врачи назначают соответствующие процедуры, прием препаратов и витаминов.
В случае появления одышки при пневмонии следует сразу же обратиться к врачу, иначе стремительно развивающаяся болезнь приведет к значительному ухудшению состояния здоровья.
Правила дыхательной гимнастики при пневмонии
Нарушения дыхания при пневмонии с успехом лечат дыхательной гимнастикой. Она является важной составляющей комплексной терапии, в которую также входят медикаментозные препараты, массаж и другие процедуры. Выполнять дыхательную гимнастику можно только под контролем медперсонала, иначе неправильные действия приведут к усугублению состояния. Противопоказаниями к упражнениям являются:
При сердечно-сосудистой недостаточности дыхательная гимнастика запрещена
- наличие температуры;
- сердечно-сосудистая недостаточность;
- истощение.
Дыхательная гимнастика при пневмонии приводит к усилению кровообращения и снижению объема лимфатической жидкости. Это способствует рассасыванию экссудата и ускоряет отхождение мокроты.
А также упражнения помогают наладить ритм дыхания, избавиться от одышки и увеличить амплитуду движения диафрагмы. В результате емкость легких приходит в норму, газообмен стабилизируется.
Врачи рекомендуют начинать гимнастику с небольших нагрузок и увеличивать их постепенно. В противном случае чрезмерное перенапряжение приведет к противоположному эффекту и ухудшит состояние пациента.
Начальные упражнения дыхательной гимнастики при одышке
Сначала делают упражнения, направленные на очищение мелких бронхов. Их выполняют не более 3 минут каждый час. Итак, начальный гимнастический комплекс при пневмонии состоит из следующих действий:
- Лежа на спине и вытянув руки, больной производит около 50 вдохов и выдохов.
- Ладони ставят на ребро с отставленным вверх большим пальцем и поворачивают вокруг своей оси до упора в пол, затем обратно на 180°. Повтор – 7 раз.
- Медленно поднимают руки вверх и одновременно делают вдох, опускают – выдох. Выполнить 4 раза.
- Сгибание и разгибание стоп – 8 раз.
- Руки ставят на пояс и подтягивают одну ногу, сгибая в колене и не отрывая пятку от пола. Затем аналогично поджимают вторую. Сделать 4 раза.
- Облокотившись на локти, делают вдох и одновременно прогибают грудную часть позвоночника. На выдохе опускаются. Повтор – 3 раза.
- Теперь можно отдохнуть, повторив первое упражнение.
- Смыкают руки и поднимают, поворачивают ладони наружу и делают при этом вдох. Возвращение в исходное положение – выдох. Повтор – 3 раза.
- Ноги по очереди двигают в стороны параллельно полу. Выполняют упражнение медленно 4 раза.
- Рекомендуется снова отдохнуть и повторить первое действие.
- Теперь больной каждой рукой по очереди должен медленно тянуться к предмету, находящемуся на отдалении 3–4 раза.
- Руки положить на плечи и развести в стороны – вдох. Вернуться в исходное положение – выдох. Повторить 4 раза.
- Снова отдохнуть и повторить упражнение №1.
- По очереди медленно поднимать прямые ноги, не привязываясь к дыханию. Выполняют 3 раза.
- Вытянутые руки постепенно заводят за голову на вдохе, возвращают вперед на выдохе. Повторяют 3 раза.
- В конце снова выполняют первое действие.
Читайте также:
Бронхит переходящий в пневмонию антибиотик
Повышение нагрузки
В процессе облегчения состояния нагрузку постепенно увеличивают. Делают это за счет повышения количества повторений. А также добавляют упражнения, которые выполняют в сидячем и стоячем положениях. Дыхательную гимнастику чередуют с лечебной физкультурой, чтобы организм постепенно адаптировался к физическим нагрузкам. Число упражнений для легких должно быть в 2 раза больше, чем для мышц. Длительность гимнастики нужно довести до 15 минут.
Упражнений на шведской стенке при пневмонии
Следующий шаг подразумевает добавление ходьбы, упражнений на шведской стенке, с использованием тяжестей и т. д.
Если при пневмонии имеются ателектазы, гимнастику делают лежа на здоровой стороне. Для большего удобства используют валик. В данном случае понадобится помощь медперсонала.
Первое упражнение пациент должен выполнять лежа на здоровом боку, руки вытянуть. Он поднимает верхнюю руку на вдохе, затем опускает и надавливает ею на участок груди над пораженным легким на выдохе. Дышать при этом действии необходимо максимально глубоко.
Второе упражнение больной выполняет в той же позиции. Он делает сильный вдох, а при выдохе сгибает ногу и максимально надавливает ею на грудь над больным легким.
Повторить эти действия следует 5 раз. В сутки рекомендуют выполнить 6–8 подходов на протяжении трех дней.
Комплекс для облегчения одышки и кашля
При воспалении легких с одышкой или без нее важно, чтобы кашель был продуктивный и обеспечивал выход мокроты. Если он слабый или совсем отсутствует, следует усилить отхаркивание с помощью специальных упражнений.
Перед гимнастикой стоит покашлять и сделать глубокий вдох
Перед началом гимнастики больной должен покашлять и сделать глубокий вдох. Затем перестают дышать в течение нескольких секунд, а при выдохе надавливают на нижнюю часть грудной клетки. Так производят ее массаж.
«Шаги на месте» делают в течение 2 минут. При этом важно высоко поднимать колени. При движении одной ноги вверх, поднимают руки и делают глубокий вдох через рот. Поднимая вторую ногу, кисти опускают и выполняют выдох, издавая при этом звук «хуууу».
Воспаление легких – опасное заболевание, которое не терпит самодеятельности, поэтому все гимнастические процедуры должны назначаться только врачом. Нельзя самостоятельно увеличивать рекомендуемые нагрузки или добавлять другие упражнения.
После избавления от пневмонии следует периодически повторять гимнастику, чтобы укрепить легкие. А также она является отличным профилактическим средством от появления других заболеваний органов дыхания.
Видео по теме: Пневмония
|
Как определить, что у ребенка воспаление легких? Как правильно лечить пневмонию у детей?Воспаление лёгких — опасная болезнь, поэтому ее нужно уметь правильно лечить. Особенно это актуально по отношению к малышам, так как согласно статистике, каждый год во всем мире от пневмонии умирают 1,4 миллиона детей в возрасте до 5 лет. Несмотря на достижения современной медицины, воспаление легких по частоте смертельных исходов занимает первое место среди всех инфекционных заболеваний. Пневмония или воспаление легких — это инфекционное заболевание, при котором поражаются самые нижние отделы дыхательной системы и нарушается функция легкого. Именно поэтому основным показателем пневмонии является не кашель и насморк, а одышка, потому что альвео-лярные мешочки при воспалении легких наполняются жидкостью или гноем, что затрудняет газообмен и вентиляцию в легких. Частое и кряхтящее дыхание ребенка — серьезный повод для обращения к врачу, даже если насморка и кашля при этом у него нет. В норме частота дыхания у детей в спокойном расслабленном состоянии должно быть следующим: — у новорожденных младше 2 месяцев — до 50 вдохов в минуту; — у малышей от 2 месяцев и до 1 года — до 40 вдохов в минуту; — у детей в возрасте 1-3 лет — до 30 вдохов в минуту; — у дошколят в возрасте 3 -7 лет — до 25 вдохов в минуту; — у школьников 7 -10 лет — до 20 вдохов в минуту. При воспалении легких эти показатели намного больше. Заболеть пневмонией ребенок может в любое время года, а не только зимой. Особенно опасна пневмония для малышей до 5 лет, иммунитет которых еще неокрепший, а организм их еще не умеет справляться с инфекцией. Пневмония редко бывает самостоятельной болезнью, чаще всего она развивается на фоне бронхита, сильной простуды и заболеваний горла из-за загустевания и плохого отхождения мокроты, препятствующей вентиляции легких. Причиной развития воспаления в легких могут быть вирусы, бактерии и грибки. Встречаются и смешанные воспаления, например, вирусно-бактериальные. По степени развития болезни пневмония может быть односторонней и двусторонней. Двусторонняя пневмония наиболее опасная, именно она является основной причиной детской смертности. К сожалению, многие родители ошибочно принимают пневмонию ребенка за обычную простуду и ждут, когда вот-вот ему станет лучше. И только тогда, когда ребенок уже становится сосвсем слабым, а его температура не падает даже после приема жаропонижающих средств, вызывают скорую помощь. Важно: если у ребенка высокая температура, он жалуется на боль в груди при кашле и дыхании, у него одышка, то обязательно надо вызвать врача, чтобы исключить воспаление лёгких. Специфические симптомы, по которым можно заподозрить пневмонию у ребенка, следующие: — он болеет гриппом или другой вирусной инфекцией уже 3-5 дней, а состояние его не улучшается или после незначительного улучшения температура поднялась снова; — жаропонижающие средства малоэффективны, они сбивают температура лишь на 30-40 минут ; — у него частое и шумное дыхание, одышка; — он часто кашляет, попытки сделать глубокий вдох каждый раз заканчиваются кашлем; — он слабый, постоянно спит и ничего не хочет кушать; — кожа у него стала бледной, а губы приобрели синюшный оттенок; — он жалуется на боль в животе и тошноту. Для диагностики пневмонии врач прослушивает дыхание ребенка стетоскопом, дает направление на сдачу анализа крови и прохождение рентгента грудной клетки. При пневмонии прослушиваются хрипы влажные и мелкопузырчатые, а при бронхите они сухие и свистящие. В последнее время для точной постановки диагноза «пневмония» терапевты используют результаты анализа крови на С реактивный белок. По результатам такого исследования можно определить, насколько сильно воспаление в легких. Если уровень С реактивного белка меньше 20 мг/л, то, скорее всего, у ребенка — бронхит, а воспаления в легких нет. Если же этот показатель приближается к 100 мг/л, то надо срочно сделать рентгеновский снимок, чтобы окончательно подтвердить диагноз «пневмония». Рентгенограмма при пневмонии у ребенка. Рентгеновский снимок — обязательный метод исследования при подозрении пневмонии (воспаления легкого). Лечение пневмонии зависит от типа микроорганизма, который способствовал ее развитию. Вирусная пневмония, которая развивается на фоне ОРВИ, считается более легкой формы. Она не требует длительного лечения и обычно проходит вместе с вирусной инфекцией. Чего нельзя сказать о бактериальной пневмонии. Ее обязательно следует лечить антибиотиками. Они помогают не только бороться с инфекцией, но и снижают температуру. Поэтому в данном случае жаропонижающие средства врач может и не назначить. Многие родители спрашивают врачей: «А можно ли лечить пневмонию ребенка дома?», так как не желают оставлять его одного в больнице. Биодоступность современных антибиотиков высокая, поэтому при легких формах пневмонии врач может разрешить лечить ребенка и дома, но отказываться от госпитализации, пренебрегая врачебных рекомендаций, при воспалении легких нельзя. Особенно если родители несвоевременно вызвали терапевта и пытались лечить ребенка сами, успев дать ему попробовать 2-3 вида антибиотика. В этом случае понятно, что таблетки ребенку уже не помогут, надо делать инъекции. Начатое на ранней стадии лечение воспаления легких помогает избежать тяжелых осложнений. Очень распространённая ошибка многих родителей — самостоятельно прекращать давать ребенку антибиотики. Полечились 3- 5 дней, температуры больше нет, и перестают давать лекарства, назначенные врачом. Этого делать ни в коем случае нельзя. Если врач назначил курс антибиотиков на 10 дней, значит, принимать их нужно именно столько времени, и ни днём меньше, даже если ребенок чувствует себя уже здоровым. Во время болезни ребенок отказывается от еды и не хочет пить. Это нормальное явление, указывающее на то, что организм «экономит» силы, чтобы бороться с недугом. Заставлять ребенка насильно кушать не нужно, а вот поить его водой надо часто и небольшими порциями. Она разжижает слизь в легких и выводит токсины из организма. Вместо воды можно ребенку дать настой шиповника, компот из сухофруктов и ягод, а также свежевыжатые соки, разбавленные водой 1:1. В период лечения пневмонии не нужно давать ребенку аптечные общеукрепляющие витаминные или иммуномодулирующие препараты. Они только увеличивают нагрузку на печень, которая во время болезни и так страдает. После окончания приема антибиотиков врач может назначить пробиотики, восстанавливающие микрофлору кишечника, сорбенты, чтобы ускорить очищение организма от токсинов и витаминное питание. В комнате, где лежит больной ребенок, должно быть чисто и свежо. Полезно там поставить увлажнитель воздуха, чтобы мокроты не пересыхали и не застаивались в легких, а ребенку было легче дышать. При правильном лечении пневмонии ребенок быстро восстанавливается. К нему возвращаются прежний аппетит, отличное самочувствие и хорошее настроение. Видео уроки техники аускультации легкихРекомендуем посмотреть другие видео ролики по пропедевтике Предлагаем ознакомиться со звуками аускультации легких:1. Везикулярное дыхание: 2. Бронхиальное дыхание: 3. Влажные хрипы: 3. Сухие хрипы: 4. Шум трения плевры: 5. Крепитация: 6. Жесткое дыхание: 7. Амфорическое дыхание: 8. Побочные дыхательные шумы: 9. Аускультация легких: — Вернуться в оглавление раздела «Пульмонология» Автор: Искандер Милевски Рекомендуем ознакомиться с тематичными статьями на нашем сайте:
|
Будьте особенно внимательны, если ОРВИ возвращается, едва отступив.
Пневмония — это воспалительное заболевание лёгких. Как правило, его вызывают вирусы (например, вирус гриппа) или бактерии (в том числе представители нормальной микрофлоры верхних дыхательных путей человека). В лёгкие эти микроорганизмы проникают на фоне снижения иммунитета. Часто — сразу после ОРВИ .
Именно поэтому диагностировать воспаление лёгких бывает сложно: уж очень оно похоже на грипп или иную респираторную инфекцию, продолжением которой является.
Когда надо срочно вызывать скорую
Иногда инфицированная лёгочная ткань больше не может снабжать организм необходимым количеством кислорода. Из‑за этого серьёзно страдают и даже отказывают сердечно‑сосудистая система и другие жизненно важные органы, включая мозг. Такую пневмонию называют тяжёлой .
Срочно набирайте 103 или 112, если к обычной простуде добавились следующие симптомы :
- Дыхание участилось до 30 вдохов в минуту (один вдох в 2 секунды или чаще).
- Систолическое (верхнее) давление упало ниже 90 мм рт. ст.
- Диастолическое (нижнее) давление опустилось ниже 60 мм рт. ст.
- Появилась спутанность сознания: больной вяло реагирует на окружающую обстановку, медленно отвечает на вопросы, плохо ориентируется в пространстве.
Если угрожающих симптомов нет, но мысли о пневмонии остаются, сверьтесь с нашим чек‑листом .
Как отличить пневмонию от простуды
1. Ваше состояние сначала улучшилось, а потом ухудшилось
Мы уже упоминали, что пневмония часто развивается как осложнение после заболевания верхних дыхательных путей.
Сначала вы подхватываете грипп или другое ОРВИ. Пока организм борется с инфекцией, вирусы или бактерии, обитающие в носоглотке, проникают в лёгкие. Спустя несколько дней вы побеждаете исходное заболевание: его симптомы — температура, насморк, кашель, головная боль — уменьшаются, вам становится легче.
Но вирусы или бактерии в лёгких продолжают размножаться. Через несколько дней их становится столько, что уставшая иммунная система наконец‑то замечает воспаление. И бурно реагирует на него. Выглядит это так, будто простуда вернулась с новой силой — с более отчётливыми и неприятными симптомами.
2. Температура выше 40 °С
Лихорадка при воспалении лёгких гораздо сильнее, чем при обычной простуде. При ОРВИ температура поднимается примерно до 38 °С, при гриппе — до 38–39 °С. А вот пневмония часто даёт о себе знать угрожающими температурными значениями — до 40 °С и выше. Это состояние, как правило, сопровождается ознобом.
3. Вы много потеете
Если вы при этом мало двигаетесь и вокруг не сауна, у вас сильная лихорадка. Пот, испаряясь, помогает снизить экстремальную температуру.
4. У вас совсем пропал аппетит
Аппетит связан с тяжестью заболеваний. При лёгкой простуде пищеварительная система продолжает работать как обычно — человеку хочется есть. Но если речь идёт о более тяжёлых случаях, организм бросает все силы на борьбу с инфекцией. И временно «отключает» ЖКТ, чтобы не тратить энергию на пищеварительный процесс.
5. Вы часто кашляете
Кажется, даже чаще, чем в начале болезни. Кашель при пневмонии может быть как сухим, так и влажным. Он говорит о раздражении дыхательных путей и лёгких.
6. При кашле иногда появляется мокрота
При пневмонии альвеолы — маленькие пузырьки в лёгких, которые вбирают воздух при вдохе, — заполняются жидкостью или гноем.
Заставляя вас кашлять, организм пытается избавиться от этой «начинки». Если это удаётся, вы, прокашлявшись, можете заметить на платке слизь — желтоватую, зеленоватую или кровянистую.
7. Вы отмечаете колющую боль в груди
Чаще всего — когда кашляете или пытаетесь сделать глубокий вдох. Такая боль говорит об отёке лёгких — одного или обоих. Увеличившись в размерах из‑за отёчности, поражённый орган начинает давить на находящиеся вокруг него нервные окончания. Это и вызывает боль.
8. У вас легко возникает одышка
Одышка — признак того, что вашему организму не хватает кислорода. Если дыхание учащается, даже когда вы просто поднимаетесь с постели, чтобы сходить в туалет или налить себе чаю, это может быть признаком серьёзных проблем с лёгкими.
9. У вас участилось сердцебиение
В норме пульс у взрослых людей составляет 60–100 ударов в минуту. Впрочем, норма у каждого своя — и её стоило бы знать хотя бы приблизительно.
Например, если раньше ваш пульс в спокойном состоянии не превышал 80 ударов в минуту, а теперь вы отмечаете, что он прыгает за сотню, это очень опасный сигнал. Он означает, что сердце по каким‑то причинам вынуждено активнее перекачивать кровь по телу. Недостаток кислорода из‑за воспаления лёгких — один из факторов, способных провоцировать это.
10. Вы чувствуете себя уставшим и разбитым
Причина может быть всё та же — органам и тканям не хватает кислорода. Поэтому организм стремится ограничить вашу активность и посылает в мозг сигналы о том, что сил нет.
11. Губы и ногти приобрели синеватый оттенок
Это ещё один очевидный признак нехватки кислорода в крови.
Что делать, если вы обнаружили симптомы пневмонии
Если отмечаете у себя более половины перечисленных симптомов, как можно быстрее проконсультируйтесь с терапевтом или пульмонологом. Не факт, что это воспаление лёгких. Но риск велик.
Нельзя откладывать визит к врачу или его вызов на дом тем, кто входит в группы риска :
- людям старше 60 лет или младше 2 лет;
- людям с хроническими заболеваниями лёгких, астмой, сахарным диабетом, проблемами с печенью, почками, сердечно‑сосудистой системой;
- курильщикам;
- людям, у которых ослаблена иммунная система (такое бывает из‑за слишком строгих диет, истощения, ВИЧ, химиотерапии, а также приёма некоторых лекарств, угнетающих иммунитет).
Читайте также:
Буллы в легких при пневмонии










