Данный вид пневмонии больше присущ взрослому населению
В статье рассказано о таком заболевании, как сегментарное воспаление легких. Описаны симптомы и методы лечения.
Наиболее частая форма воспаления легких — правосторонняя сегментарная пневмония. Правое легкое условно делится на 10 бронхолегочных сегментов, каждый из которых вентилируется отдельным бронхом и кровоснабжается ответвлением легочной артерии.
Инфекционное поражение одного из сегментов вызывает сегментарное воспаление легких. Заболевание протекает достаточно легко и в большинстве случаев лечится амбулаторно.
Как развивается
Правосторонняя сегментарная пневмония у взрослых бывает вызвана разнообразными причинами. В большинстве случаев это бактериальное поражение стрептококками, пневмококками, гемофильной палочкой, хламидией, легионеллой.
Так же пневмония может быть вызвана вирусами гриппа, парагриппа, аденовирусом. Заражение происходит воздушно-капельным путем, в связи с попаданием микроорганизмов из верхних дыхательных путей и значительно реже при распространении микробов из других очагов воспаления.
Провоцирующими факторами являются снижение иммунитета, частые простудные заболевания, переохлаждение, курение, экссудативно-катаральный диатез у детей.
Гемофильная инфекция — одна из частых причин развития сегментарной пневмонии
Симптомы
Заболевание имеет достаточно характерную клиническую картину.
Более тяжело протекает правосторонняя полисегментарная пневмония, когда происходит поражение нескольких участков доли легкого сразу. В этом случае имеется более выраженная интоксикация и лихорадка. При перкуссии и аускультации отмечается обширное поражение легочной ткани.
Основные проявления сегментарного воспаления легких:
- повышение температуры до 39-40 градусов;
- влажный кашель с обильной мокротой;
- одышка;
- учащение дыхания;
- дыхательная недостаточность;
- тахикардия;
- снижение артериального давления.
Сегментарная пневмония характеризуется острым началом и сопровождается головной болью, вялостью, отсутствием аппетита, нарушением сна, повышенной потливостью. В тяжелых случаях возникает спутанность сознания.
Диагностика
Для того, чтобы установить диагноз, врач проводит ряд мероприятий:
- Сбор анамнеза и физикальный осмотр. При прослушивании выявляются крепитация и хрипы над пораженным сегментом, ослабленное жесткое дыхание. У 25% пациентов при аускультации не выявляется изменений, что затрудняет диагностику.
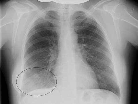
- Рентген. Для того, чтобы определить локализацию очага воспаления проводится рентгенография в прямой и боковой проекциях. На снимке просматривается затемнение пораженного сегмента.
- Анализ крови. Выявляется сдвиг лейкоцитарной формулы влево, ускорение СОЭ, лейкоцитоз.
- Анализ мокроты. Проводится бактериологический посев для выявления вида возбудителя заболевания, изучается его чувствительность к антибактериальным препаратам для назначения эффективного лечения.
Для уточнения данных рентгенологического исследования проводится томография органов грудной клетки. Цена процедуры высока, поэтому она применяется в крайних случаях.
Правосторонняя сегментарная пневмония на рентгенограмме
Дифференциальная диагностика
Заболевание следует отличать от других болезней со сходными проявлениями.
Таблица №1. Дифференциальная диагностика сегментарной пневмонии:
ПризнакПневмонияБронхитТуберкулезОбщее состояниеСимптомы выражены ярко. Лихорадка, головные боли, тахикардия, сильная одышка.Яркая симптоматика, температура субфебрильная или повышенная. Одышка умеренная, тахикардия отсутствует.Обычно субфебрильная температура, симптомы выражены слабо.Характеристика кашляКашель выражен с самого начала болезни, влажный с большим количеством мокротыВ начале болезни сухой, болезненный кашель, затем переходит во влажный с выделением мокроты.В начале заболевания слабовыраженное покашливание без отделения мокроты.ПеркуссияЛокальные участки укорочения.Нет изменений.Иногда обнаруживается притупление перкуторного звука.АускультацияКрепитация и влажные, мелкопузырчатые хрипы над воспаленным сегментом. Ослабление дыхания.Сухие хрипы над обоими легкими. Удлинение вдоха.Везикулярное дыхание, влажные хрипы присутствуют в небольшом количестве или совсем отсутствуют.Данные рентгенаКонтуры очага воспаления размытые. Усиление легочного рисунка в сегменте воспаления или в пораженном легком. В 25% случаев нет явных изменений на ранних стадиях.Усиление легочного рисунка обоих легких. Затемнений нет.Очаг поражения выражен четкими границами. Легочный рисунок не изменен. Хорошо выявляется на начальных стадиях.
Самым достоверным критерием является микробиологическое исследование мокроты и данные КТ.
Лечение
Для легких форм сегментарной пневмонии возможно амбулаторное лечение. В стационар направляются пожилые люди, дети до 3 лет, пациенты с сопутствующими патологиями, сердечной и дыхательной недостаточностью, с развившимися осложнениями пневмонии.
Назначается комплексное лечение — медикаментозная терапия, физиотерапия, дыхательная гимнастика и массаж.
Медикаментозное лечение
Медикаментозная терапия — основное лечение пациентов с пневмонией. Она предусматривает прием антибиотиков и противовирусных препаратов, муколтических, отхаркивающих, бронхолитических средств, жаропонижающих, обезболивающих препаратов, витаминов.
Читайте также:
Оптимальная продолжительность терапии антибиотиками при пневмонии
Таблица №2. Лекарственные средства:
ПрепаратыЛечебное воздействиеИнструкция по применениюАнтибиотики — Клацид, СупраксОказывают этиотропное действие, устраняя причину заболеванияНазначают соответственно возрасту, в виде таблеток, растворов или инъекцийОтхаркивающие средства — АЦЦ, ЛазолванВлияют на вязкость мокроты, уменьшая ее. Это помогает легче откашливать слизьПринимают в виде сиропов, таблеток, ингаляционных растворовЖаропонижающие — ПарацетамолУстраняют повышенную температуру и сопутствующие ей симптомыИспользуют таблетки и свечиВитамины — Аскорутин, КомпливитПовышают общую сопротивляемость организма, ускоряют выздоровлениеДраже и таблетки для приема внутрь
Немедикаментозное лечение
Дополнительное немедикаментозное лечение или реабилитация назначается для предупреждения развития осложнений, устранения болезненных симптомов и застойных явлений в органах дыхания, восстановления функций легких и улучшения общего состояния пациента.
Таблица №3. Дополнительные методы терапии:
Методы реабилитацииОписание
Дыхательная гимнастика
Упражнения для восстановления функций дыхания показаны всем пациентам с пневмонией
Из-за уплотнения легочной ткани не происходит насыщения крови кислородом. Это может привести к дыхательной недостаточности — серьезному осложнению пневмонии. Избежать осложнений поможет грамотное применение упражнений дыхательной гимнастики и ЛФК. С их помощью можно не только улучшить снабжение крови кислородом, но и ускорить выведение экссудата, устранить застойные явления, нормализовать частоту дыхания. Врач или инструктор подбирает методику упражнений индивидуально. С наиболее эффективными методиками ознакомит специалист в видео в этой статье.
Массаж
Массаж улучшает общее состояние пациента
Массаж при пневмонии усиливает приток крови к легким, разжижает мокроту, помогает избавиться от спазмов и кашля, устраняет остаточные явления. При воспалению легких применяют несколько видов массажа:
- сегментарный — улучшает подвижность мышц грудной клетки;
- вакуумный, с использованием медицинских банок — улучшает циркуляцию крови, устраняет застой в легких;
- точечный — воздействует на биологически активные точки организма;
- дренажный — разжижает мокроту и ускоряет ее выведение.
При любом виде массажа полезно применение аромамасел. Эфирные масла обладают противоотечным и противовоспалительным действиями.
Физиотерапия
Физиопроцедуры безопасны для детей
Физиопроцедуры оказывают как местное, так и общее положительное воздействие на организм человека. При пневмонии показан целый ряд процедур:
- лекарственный электрофорез — снимает воспаление, устраняет кашель, оказывает бактериостатическое воздействие;
- ультрафиолетовое облучение — способствует лучшему усвоению витамина D, повышает иммунитет;
- ингаляции — устраняют кашель, улучшают отхождение мокроты.
Все процедуры позволяют сократить дозировку лекарств, так как усиливают их воздействие.
Все реабилитационные мероприятия проводятся после устранения острых симптомов заболевания, их назначают через день после прекращения лихорадки.
Правосторонняя сегментарная пневмония оперативно диагностируется с помощью современных методов. Патология хорошо поддается лечению и проходит за 2 недели при условии своевременного медицинского вмешательства.
Читать далее…
Сегментарная пневмония – это заболевание, которое характеризуется возникновением воспалительного процесса в одном из сегментов лёгкого. От очаговой пневмонии отличается тем, что поражает большую площадь этого органа и имеет более тяжёлое течение. В подавляющем большинстве случаев, развитию воспаления предшествует проникновение в человеческий организм болезнетворных агентов, оказывающих неблагоприятное влияние. Однако пульмонологи выделяют ряд дополнительных предрасполагающих факторов.
Такая разновидность воспаления лёгких клинически выражается в остром начале, резком возрастании температуры, ярко выраженной интоксикации организма и сильной болью в груди, может принимать затяжное течение и привести к развитию осложнений.
Основу диагностики составляют инструментальные обследования пациента, которые дополняются физикальным осмотром, изучением истории болезни и лабораторными исследованиями.
Как лечить сегментарную пневмонию может сказать только врач. Зачастую это консервативные методы, которые предполагают приём медикаментов и выполнение физиотерапевтических процедур. Стоит отметить, что терапия народными средствами в этом случае не только не эффективна, но и может усугубить состояние больного.
Этиология
Как и другие формы воспалительного процесса с локализацией в лёгких, сегментарная пневмония возникает на фоне проникновения в организм человека бактерий. Наиболее часто возбудителями недуга становятся:
- пневмококки;
- стрептококки;
- стафилококки;
- гемофильные палочки.
Читайте также:
Народные средства при пневмонии у взрослых отзывы
В несколько раз реже патологическими агентами выступают:
- легионелла;
- хламидия;
- микоплазма.
Крайне редко источником инфекции становятся:
- синегнойные палочки;
- клебсиеллы;
- кишечные палочки;
- ацинобактерии.
Однако, несмотря на бактериальное происхождение, спровоцировать воспаление также могут вирусы, среди которых:
- аденовирус;
- возбудители ОРВИ;
- возбудитель туберкулёза;
- вирус парагриппа и другие респираторные вирусы.
Возбудители пневмонии в зависимости от условий инфицирования
Слабость иммунной системы – это главный предрасполагающий фактор, приводящий к тому, что патогенные микроорганизмы вызывают воспаление. Помимо иммунодефицитных состояний любой природы, в значительной степени повысить вероятность развития недуга могут:
- патологии бронхов, в частности бронхит и астма, хроническая обструкция и бронхоспазм;
- недуги лёгких, а именно ХОБЛ и плеврит, пневмоторакс и туберкулёз, а также злокачественные или доброкачественные новообразования;
- заболевания со стороны сердечно-сосудистой системы;
- онкологические процессы любой локализации;
- продолжительная искусственная вентиляция лёгких;
- многолетний стаж курения;
- бесконтрольный приём медикаментов;
- отравление токсинами;
- протекание экссудативно-катарального диатеза у детей;
- длительное переохлаждение организма;
Стоит отметить, что основную группу риска составляют дети и лица пожилого возраста. Тем не менее не исключается вероятность развития болезни у людей трудоспособной возрастной категории.
Также следует учитывать, что в каждом лёгком выделяется по несколько сегментов, которые по форме напоминают усечённый конус, а его верхушка направлена на корень лёгкого. Верхняя доля правого лёгкого включает в себя следующие сегменты:
- верхушечный;
- задний;
- передний.
Средняя доля состоит из латерального и медиального сегмента, а нижняя из пяти частей, среди которых:
- верхний;
- медиальный базальный;
- передний базальный;
- латеральный базальный;
- задний базальный.
Верхняя доля лёгкого, расположенного слева, образована такими сегментами:
- верхушечным;
- задним;
- передним;
- верхним язычковым;
- нижним язычковым.
Составляющие нижней доли левого лёгкого полностью совпадают с сегментами правого лёгкого.
Классификация
По своему этиологическому фактору сегментарная пневмония у детей и взрослых бывает:
- первичной – это означает, что патология выступает в качестве самостоятельного недуга и вызывается одним из вышеуказанных микроорганизмов;
- вторичной – характеризуется тем, что развивается на фоне иных патологий, т. е. выступает их осложнением.
Первичный воспалительный процесс в том или ином сегменте лёгких делится на:
- типичный – обуславливается влиянием бактерий из категории самых распространённых возбудителей;
- атипичный – в таких случаях воспаление вызвано редкими разновидностями возбудителя;
- вирусный – вызван увеличением численности вирусов;
- грибковый – в качестве первопричины наиболее часто выступает аспергилла или кандида;
- лекарственный;
- токсический.
Помимо этого, существует несколько путей заражения, через которые патогенные микроорганизмы проникают в человеческий организм:
- бронхогенный – возбудитель болезни попадает через вдыхаемый воздух;
- гематогенный – с током крови;
- метастатический – из иного очага воспаления в организме.
Разделение недуга в зависимости от места, где произошло заражение:
- внебольничная или домашняя сегментальная пневмония;
- нозокомиальная или внутрибольничная пневмония;
- воспаление, связанное с оказанием медицинской помощи, в частности процедура искусственной вентиляции лёгких.
Классификация пневмонии
По тяжести протекания недуг проходит три степени:
- лёгкую;
- среднетяжелую;
- тяжёлую.
В зависимости от количества поражённых сегментов заболевание делится:
- собственно сегментарную пневмонию – при этом поражается лишь один сегмент левого или правого лёгкого;
- полисегментарную пневмонию – о таком типе говорят тогда, когда в патологию вовлекается одновременно несколько сегментов;
- субсегментарная пневмония – это воспаление части лёгочного сегмента, т. е. полностью верхней, средней или нижней доли.
Помимо этого, по локализации воспалительного очага выделяют левостороннюю и правостороннюю сегментарную пневмонию.
Симптоматика
В тех ситуациях, когда воспаление имеет бактериальную или вирусную природу, целесообразно отметить продолжительность периода инкубации – это промежуток времени с момента проникновения патологического агента до проявления первых внешних признаков. При типичных формах инкубационный период составляет примерно трое суток, а при атипичных может продолжаться до трёхнедельного срока.
Характерной особенностью такой разновидности воспаления лёгких является её острое начало, отчего основными симптомами сегментарной пневмонии у взрослых и детей принято считать:
- резкое возрастание температуры до 39 градусов;
- разбитость и сильные головные боли;
- повышенное потоотделение и снижение работоспособности;
- ломоту в теле и иные признаки интоксикационного синдрома;
- нарушение ЧСС;
- спутанность сознания и судорожные припадки – наиболее часто наблюдаются у детей;
- редкий сухой кашель, во время которого слышен характерный свист. По мере прогрессирования воспаления появляется мокрота;
- болезненность в области эпигастрия;
- боли в грудной клетки со стороны поражённого сегмента. Примечательно то, что левосторонняя сегментарная пневмония встречается в несколько раз реже правосторонней;
- понижение аппетита;
- приступы тошноты и рвоты;
- одышка;
- расстройство акта дефекации;
- нездоровый румянец на лице.
Читайте также:
Профилактика послеоперационной пневмонии сестринский уход
Диагностика
Чтобы клиницист смог заподозрить протекание именно сегментарной пневмонии, необходимо проведение не только ряда лабораторно-инструментальных обследований, но также манипуляций, выполняемых непосредственно пульмонологом.
Таким образом, первый этап установления правильного диагноза включает в себя:
- ознакомление с историей болезни – для выявления хронического недуга, который мог бы привести к развитию сегментарного воспаления в лёгких;
- сбор и анализ жизненного анамнеза больного;
- тщательный физикальный осмотр, направленный на прослушивание пациента при помощи фонендоскопа и измерение температуры;
- детальный опрос пациента – это нужно чтобы установить первое время появления и степень выраженности симптоматики, что, в свою очередь, укажет на тяжесть протекания недуга.
Лабораторно-инструментальные диагностические мероприятия включают в себя:
- общеклинический анализ крови;
- биохимию крови;
- анализ мокроты, выделяемой при кашле;
- бактериальный посев крови;
- рентгенографию грудной клетки;
- КТ и МРТ.
Рентгенограмма лёгких при сегментарной пневмонии
Все вышеуказанные процедуры позволяют не только поставить правильный диагноз, но также дифференцировать сегментальную пневмонию от:
- туберкулёза лёгких;
- первичного или метастатического рака левого или правого лёгкого;
- инфаркта лёгкого;
- облитерирующего бронхиолита;
- постороннего предмета в бронхах;
- очаговой, интерстициальной и лобарной формы пневмонии.
Лечение
Диагноз сегментарная пневмония предполагает проведение лечения в амбулаторных условиях, но исключение составляют дети и тяжёлое протекание воспалительного процесса.
Чтобы избавиться от болезни достаточно консервативных методик терапии, а именно:
- приёма лекарственных препаратов;
- дезинтоксикационного лечения;
- физиотерапевтических процедур.
Медикаментозное лечение болезни предусматривает применение:
- антибиотиков – их принимают курсом не менее двух недель;
- муколитиков и отхаркивающих веществ;
- бронхолитических средств;
- антипиретиков;
- антигистаминных лекарств;
- глюкокортикостероидов;
- седативных препаратов;
- жаропонижающих, обезболивающих и других медикаментов, направленных на купирование симптоматики.
Помимо этого, лечащий врач может назначить пациенту такие физиотерапевтические процедуры:
- УФО и УВЧ;
- лекарственный электрофорез;
- индуктотермия;
- оксигенотерапия.
Оксигенотерапия
В обязательном порядке лечение должно дополняться:
- вибромассажем грудной клетки;
- дыхательной гимнастикой;
- лечебным массажем.
Зачастую достаточно трёх недель комплексной терапии для полного выздоровления пациента.
Возможные осложнения
Наиболее часто развитие последствий обуславливается самостоятельными попытками вылечить заболевание народными средствами. В таких ситуациях не исключается формирование:
- хронической пневмонии;
- эмпиемы плевры;
- локального пневмосклероза;
- острой сердечной недостаточности;
- бронхоэктазов;
- фиброзного или серозного плеврита;
- абсцесса или коллапса лёгкого;
- артериальной гипотензии;
- кардиоваскулярного или обструктивного синдрома;
- нейротоксикоза.
Профилактика и прогноз
Специфических профилактических мер от сегментарной пневмонии не существует, но среди мероприятий, которые снижают вероятность формирования воспалительного процесса, стоит выделить:
- вакцинация против бактерий и вирусов, которые могут выступать в качестве возбудителя болезни;
- полный отказ от пагубных пристрастий;
- рациональное и сбалансированное питание;
- избегание переохлаждения организма;
- по возможности сведение к минимуму влияния стрессовых ситуаций;
- своевременное устранение патологий, которые могут выступать базовым недугом, на фоне которого развивается сегментарная пневмония;
- приём лекарств, выписанных только лечащим врачом;
- отказ от применения средств народной медицины для купирования первых признаков подобного заболевания – это нужно для предупреждения осложнений;
- регулярное прохождение полноценного осмотра в клинике.
Ранняя ликвидация болезни приводит к тому, что сегментарное воспаление лёгких зачастую имеет благоприятный прогноз. Несмотря на то что осложнения развиваются достаточно редко, они могут привести к летальному исходу.



