Ожог пищевода – повреждение тканей пищевода, возникшее в результате непосредственного воздействия на них агрессивных химических, термических или лучевых агентов. Первыми признаками ожога являются сильная жгущая боль во рту, за грудиной, в эпигастрии; гиперсаливация, рвота, отек губ. В дальнейшем преобладает клиника интоксикации, шока, непроходимости пищевода. В диагностике ведущее значение имеет анамнез заболевания; после выхода из острой фазы проводят эзофагогастроскопию, рентгенографию пищевода. Неотложная терапия заключается в нейтрализации химического агента, обезболивании, противошоковых и дезинтоксикационных мероприятиях. В стадии рубцевания проводят оперативное лечение.
Общие сведения
Ожог пищевода – тяжелое повреждение стенок пищевода, чаще связанное со случайным или специальным проглатыванием агрессивных жидкостей. Примерно 70% пациентов с ожоговыми повреждениями пищевода – дети. Прием едких щелочей и кислот детьми происходит преимущественно непреднамеренно – из-за привычки все пробовать, по ошибке, при неправильном хранении агрессивных химических растворов (в емкостях из-под напитков и пищевых продуктов). У взрослых людей ожоги пищевода в 55% случаев происходят при случайном приеме кислот и щелочей вместо напитков либо лекарства (бытовая травма) и в 45% — с целью суицида. Подавляющее большинство ожогов пищевода обусловлены химическими веществами, радиационные и термические повреждения встречаются крайне редко. В прежние годы наиболее весомой причиной химического ожога был прием растворов каустической соды или марганцовки. На сегодняшний день 70% ожоговых повреждений пищевода вызываются уксусной эссенцией.
Ожог пищевода
Причины ожога пищевода
Наиболее частая разновидность повреждений пищевода — химические ожоги. Ожог пищевода может вызываться концентрированной кислотой (уксусная, соляная, серная), щелочью (каустическая сода, едкий натр, гидроокись натрия), другими веществами (этил, фенол, йод, нашатырь, лизол, клей силикатный, ацетон, марганцовка, растворы электролитов, перекись водорода и др.). Причины приема агрессивных химических веществ могут быть самые разнообразные.
Подавляющее большинство пациентов с ожогами пищевода составляют дети от года до десяти лет. Повышенный травматизм детей этого возрастного диапазона объясняется их природной любознательностью и рассеянностью. Большое значение имеет и бытовая невнимательность родителей, когда едкие вещества хранятся в немаркированной таре или емкостях из-под напитков. Среди взрослых химическое повреждение пищевода примерно в половине случаев может быть обусловлено случайностью (прием суррогатов алкоголя, едких веществ в состоянии алкогольного опьянения или по невнимательности), остальные случаи обычно связаны с попыткой суицида. Прием агрессивных растворов с суицидальной целью более характерен для женщин. Термические и лучевые ожоги пищевода встречаются крайне редко.
Едкие вещества при попадании на слизистую оболочку ротовой полости, глотки, пищевода и желудка вызывают повреждение эпителия, а при прогрессировании процесса – более глубоких тканей. Обычно кислоты вызывают более выраженный ожог пищевода, а щелочи – желудка. Связано это с устойчивостью слизистой оболочки желудка к кислой среде. Для ожогов пищевода щелочами характерно более тяжелое течение и глубокие повреждения, такие ожоги часто сопровождаются разрывом пищевода, медиастинитом, гнойными осложнениями, желудочным кровотечением.
По глубине распространения патологического процесса выделяют ожог пищевода первой степени (затрагивает только эпителий), второй степени (поражает мышечный слой включительно) и третьей степени (патологические изменения охватывают окружающую пищевод клетчатку и соседние органы). Чем глубже распространяется ожог пищевода, тем больше токсических продуктов распада тканей попадает в кровь. Выраженная интоксикация может приводить к повреждению сердца, головного мозга, почек и печени. Сочетание болевого шока, интоксикации и полиорганной недостаточности при глубоких ожогах пищевода ведет к летальному исходу в первые двое-трое суток.
Симптомы ожога пищевода
При ожоге пищевода беспокоят как местные, так и общие симптомы. Агрессивный раствор, попадая на эпителий пищевода, вызывает значительное повреждение тканей и нервных окончаний, которых в пищеводе огромное количество. Из-за этого возникает сильная боль по ходу распространения ожога: в ротовой полости, горле, за грудиной и в эпигастрии (повреждающий агент попадает из пищевода в желудок, вызывая химический гастрит). Тяжелое повреждение тканей (коррозионный эзофагит) приводит к их отеку: сначала начинают отекать губы и язык, затем процесс распространяется на глотку и пищевод. Из-за отека гортани появляется одышка, а повреждение голосовых связок приводит к осиплости голоса. В пищеводе наибольшие патологические изменения формируются в местах физиологических сужений. Сначала это приводит к дисфагии (нарушению глотания), в последующем развивается рвота. В рвотных массах можно заметить сгустки крови и фрагменты слизистой оболочки пищеварительной трубки. Ожог пищевода 3-й степени может привести к тяжелым нарушениям дыхания, профузному кровотечению, формированию пищеводно-бронхиальных свищей.
Общие признаки ожога пищевода обусловлены всасыванием токсичных продуктов распада тканей, болевым синдромом. Глубокие ожоги сопровождаются массивным некрозом тканей и выраженной интоксикацией, болевым шоком. Продукты распада повреждают клетки сердца, мозга, почек и печени. Полиорганная недостаточность и интоксикация проявляются сильной слабостью, тошнотой, лихорадкой, нарушениями сознания и сердечной деятельности. Тяжесть общих проявлений зависит от того, какое именно химическое вещество было выпито, от его объема и концентрации.
Если состояние пациента стабилизируется, то через несколько дней после получения ожога пищевода отек уменьшается, начинается заживление тканей путем грануляции и рубцевания. В начале заболевания (острый период) из-за боли и отека пациенты отказываются от пищи и воды. Вместе с появлением грануляций начинается подострый период, в котором наступает так называемая «ложная ремиссия» — страх приема пищи постепенно уходит, глотать становится легче. Однако явления дисфагии снова возвращаются в связи с появлением рубцовых стриктур в хроническом периоде ожога пищевода. Согласно клиническим исследованиям в области гастроэнтерологии, рубцовые стриктуры той или иной степени формируются у всех пациентов с ожогом пищевода в течение двух месяцев от начала заболевания. Этот процесс сопровождается прогрессирующей дисфагией, гиперсаливацией, рвотой, алиментарной дистрофией. Если коррекция ожоговых рубцов не проведена в срок и должным образом, стойкие рубцы со стенозом или непроходимостью пищевода развиваются у 70% пациентов.
Диагностика ожога пищевода
Диагноз ожога пищевода обычно устанавливается еще до проведения дополнительных исследований, на основании анамнеза заболевания. Консультация гастроэнтеролога и хирурга нужны для выяснения механизма получения ожога; типа (кислота или щелочь), количества и концентрации химического агента. Учитывая тяжесть повреждения пищевода при ожоге, опасность перфорации его стенки, инвазивные методики диагностики в первые трое суток после получения травмы не применяются.
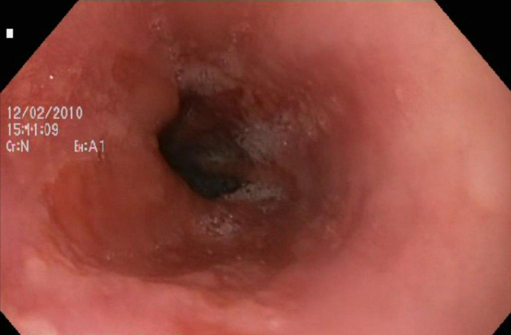
После стабилизации общего состояния возможно проведение рентгенографии пищевода. В острой фазе ожога на рентгенограмме отмечается утолщение складок слизистой оболочки, данные за гиперкинезию пищевода. Консультация врача-эндоскописта в остром периоде более информативна: во время эзофагогастроскопии визуализируется гиперемия и отек эпителия, изъязвления и эрозии пищевода, налеты. В подострой фазе рентгенография пищевода выявляет стриктуры, расширение пищевода над стенозированным участком, умеренный эзофагит. Эндоскопическое исследование в подостром периоде позволяет обнаружить некротический струп, определить границы поражения, визуализировать грануляции и формирующиеся рубцы. В хронической стадии процесса можно выявить разнообразные виды рубцовых изменений: клапанные, в виде колец, трубчатые и др. Изредка рубцы пищевода могут малигнизироваться.
Лечение ожога пищевода
Первая помощь при ожоге пищевода может оказываться на догоспитальном этапе либо в отделениях хирургии и реанимации. Сразу после получения ожога пищевода следует промыть полость рта большим количеством чистой воды комнатной температуры, выпить два стакана молока. Вызывать рвоту для удаления химического агента из желудка не рекомендуется, так как это может привести к разрыву пищевода.
После поступления в стационар производится постановка желудочного зонда, обильно орошенного маслом. Перед постановкой зонда осуществляется местная анестезия слизистой рта и глотки. Через зонд удаляется содержимое желудка и производится инактивация повреждающего вещества. При ожоге щелочью производят промывание желудка неконцентрированным раствором уксусной кислоты или маслом; кислоту нейтрализуют содовым раствором. Если точно неизвестно, чем вызван ожог, рекомендуется промыть желудок большим количеством воды, либо ввести через зонд молоко. Промывать желудок следует только в первые шесть часов после получения ожога, в дальнейшем эта процедура нецелесообразна.
Сразу после инактивации повреждающего агента вводится антибиотик для профилактики гнойных осложнений, осуществляется обезболивание и седация пациента, начинается дезинтоксикационная и противошоковая терапия. При ожоге пищевода первой степени кормить больного можно начинать уже на вторые-третьи сутки пребывания в стационаре. При ожоге второй степени кормление не начинают раньше седьмых-восьмых суток. В случае ожогов третьей степени вопрос энтерального питания решается в индивидуальном порядке.
На седьмые-десятые сутки от получения ожога начинают проводить бужирование пищевода. Процедура заключается в ежедневном введении в просвет пищевода бужей возрастающего диаметра, что способствует расширению просвета и уменьшению рубцевания. Если в остром периоде ожога терапевтические мероприятия были проведены в полном объеме, а в подострой фазе – правильно произведено бужирование пищевода, то удовлетворительные результаты восстановления проходимости пищевода достигаются в 90% случаев.
Если же в отдаленном периоде развиваются грубые рубцовые стриктуры, значительный стеноз пищевода, либо его полная непроходимость – проводится оперативное лечение (стентирование пищевода, эндоскопическое рассечение рубцовой стриктуры пищевода, эндоскопическое расширение стеноза пищевода, пластика пищевода).
Прогноз и профилактика ожога пищевода
Прогноз при ожоге пищевода обусловлен видом, количеством и концентрацией химического раствора; степенью тяжести ожога; уровнем рН жидкости (наиболее тяжелые повреждения развиваются при рН ниже 2 и выше 12); правильностью оказания первой и дальнейшей медицинской помощи; наличием и тяжестью осложнений. Наиболее неблагоприятный прогноз при ожогах пищевода третьей степени – смертность в этой группе достигает 60%. У остальных пациентов прогноз более благоприятен, при правильном оказании помощи нормальное функционирование пищевода сохраняется у 90% больных. Профилактика ожогов пищевода — это соблюдение правил хранения опасных и едких веществ: отдельно от напитков и пищи, в недоступном для детей месте, в специально промаркированной таре.
Ожог пищевода – повреждение тканей этого органа, которое возникает вследствие непосредственного действия на них химических или реже физических факторов.
Эта патология относится к категории травм и занимает первое место в списке причин непроходимости пищевода.
Оглавление:
1. Причины
2. Развитие
3. Симптомы ожога пищевода
4. Осложнения
5. Диагностика
6. Лечение ожога пищевода
7. Профилактика
8. Прогноз
Причины
Все причины ожогов пищевода можно разделить на три большие группы:
- химические;
- термические;
- радиационные.
В подавляющем большинстве случаев к ожогу пищевода приводят химические факторы (в том числе и из-за возрастания роли химических веществ в быту). Термические ожоги (при непосредственном воздействии огня на стенку пищевода) встречаются крайне редко. Радиационные ожоги в мирное время практически не наблюдаются (описаны спорадические случаи возникновения незначительных радиационных ожогов при небрежном поведении с радиационными приборами промышленного предназначения). Поэтому рассмотрим химическое поражение этого органа.
Ожоги пищевода могут быть вызваны:
- концентрированной кислотой (чаще всего – уксусной, серной, соляной);
- щелочью (чаще всего – едким натром, гидроокисью натрия);
- лекарственными средствами (чаще всего – перекисью водорода, йодом, бриллиантовым зеленым, нашатырным спиртом, раствором марганцовокислого калия);
- другими жидкостями, которые применяют в быту и производстве (этилом, фенолом, лизолом, канцелярским силикатным клеем, ацетоном, растворами электролитов).
Если ранее врачи стационаров лечили пациентов с химическими ожогами пищевода в основном из-за попадания в него раствора каустической соды, то на сегодняшний день в клинику поступают чаще всего с ожогом пищевода, спровоцированным приемом концентрированной уксусной эссенции.
Чаще всего от ожога пищевода страдают дети – они составляют около 70% всех пострадавших от ожогового поражения этого органа. В абсолютном большинстве случаев данная патология случалась у детей в возрасте от 2 до 10 лет. Это связано с природной потребностью ребенка изучить неизвестный предмет или вещество на вкус, поэтому в максимальном большинстве случаев (по разным данным, от 94 до 97%) ожоги пищевода у детей имеют химическую природу. Около 95% несчастных случаев ожогов пищевода у маленьких пациентов связаны с недосмотром родителей – из-за хранения агрессивных соединений на виду. В отдельных случаях причиной химического ожога у маленького пациента являлась бытовая невнимательность родителей, которые ошибочно сами могли предложить ребенку повреждающее вещество, так как хранили его в неподписанной таре или в таре для напитков.
У взрослых пациентов ожоги пищевода случаются:
- в 45% – при употреблении агрессивного вещества с целью суицида или, как минимум, вредительства самому себе (при истероидном типе поведения во время бытовых конфликтов, ради уклонения от службы в армии или других обязанностей и так далее);
- в 55% – при приеме кислот или щелочей по ошибке (вместо лекарственных препаратов или напитков).
Во многих случаях непреднамеренный прием агрессивных веществ с последующим ожогом пищевода случается в состоянии сильного алкогольного опьянения, а также при приеме суррогатных (поддельных) спиртных напитков.
Прием агрессивных химических веществ чаще наблюдается среди женщин, чем среди мужчин.
Реже ожоги пищевода диагностируются у психически больных, способных без причины принять повреждающее вещество.
Развитие
Механизм развития патологии прост: едкие вещества, попав на слизистую оболочку пищевода, повреждают эпителиальный слой, а затем и более глубокие слои стенки пищевода.
Обратите внимание
Более агрессивное воздействие на эпителий пищевода наблюдается со стороны щелочных растворов, нежели кислых.
В сравнении с кислотными щелочные ожоги характеризуются:
- более глубоким повреждением тканей пищевода (вплоть до повреждения внешней серозной оболочки);
- более тяжелым и затяжным течением, а если ожог был купирован – более длительным реабилитационным периодом;
- более частым возникновением осложнений.
В зависимости от степени агрессивности принятого вещества ожоги пищеводы по глубине распространения поражения разделяют по степеням:
- при первой степени страдает эпителиальный слой;
- при второй степени едкое вещество разъедает слизистый и мышечный слои;
- при третьей степени поражаются все слои стенки пищевода, а также затрагиваются околопищеводная жировая клетчатка и соседние органы.
При более глубоком ожоге страдают не только стенки пищевода и близлежащих образований – токсические продукты распада поврежденных тканей попадают в кровоток и могут вызвать интоксикацию любого органа. Чаще всего страдают:
- сердце;
- головной мозг;
- почки;
- печень.
Самые опасные патологические изменения при ожогах пищевода это:
- болевой шок;
- интоксикация;
- полиорганная недостаточность.
При сочетании всех трех состояний, что нередко встречается при глубоких ожогах пищевода, смерть может наступить в первые 2-3 суток с момента принятия агрессивного вещества.
Симптомы ожога пищевода
При ожоге развивается симптоматика:
- местная;
- общая.
Местные симптомы ожога пищевода это:
- боль в грудной клетке;
- нарушение глотания;
- рвота;
- отек губ и языка;
- одышка;
- осиплость голоса.
Характеристики болей:
- по локализации – по ходу пищевода в зависимости от области действия повреждающего вещества. Если было проглочено небольшое количество химического агрессора, он покрывает слизистую только в начальных отделах пищевода, из-за чего боли не такие распространенные. Но зачастую поражение более обширное, при этом возникает выраженная боль одновременно во рту, ротоглотке, за грудиной и в верхних этажах живота;
- по интенсивности – выраженные. Это объясняется обильным снабжением нервными окончаниями тканей пищевода, которые раздражает принятое агрессивное вещество;
- по характеру – жгучие.
Нарушение глотания может быть частичным или полным, с невозможностью прохождения пищи в желудок.
Отек тканей наблюдается из-за их тяжелого глубокого повреждения (возникает коррозионный эзофагит). Отек может затронуть не только язык и губы, но и распространиться на рото- и носоглотку, а также трахею и бронхи.
Одышка появляется из-за отечности гортани. Нередко повреждаются ткани голосовых связок, что клинически проявляется осиплостью голоса.
Так как у пищевода есть участки физиологического сужения, именно тут скапливается принятое агрессивное вещество. Это проявляется нарушением глотания, затем развивается рефлекторная рвота.
Обратите внимание
При сильной рвоте в содержимом пищевода обнаруживаются прожилки крови (в тяжелых случаях – сгустки), а также обрывки слизистой оболочки пищевода.
Общие признаки ожога пищевода наблюдаются из-за попадания в кровь продуктов распада тканей, которые образуются в результате ожога и по своей природе являются токсическими. Из-за этого наступают:
- выраженная интоксикация организма;
- болевой шок;
- недостаточность со стороны многих органов, ткани которых повреждаются. В первую очередь страдают клетки миокарда, мозга, почек и печени;
- похудение из-за отказа от пищи.
Общие проявления полиорганной недостаточности это:
- выраженная общая слабость;
- тошнота и рвота;
- лихорадка;
- нарушения сознания (вплоть до сумеречного сознания и его потери);
- перебои в работе сердца.
Степень выраженности таких проявлений очень разнообразна и зависит от:
- разновидности химического вещества;
- его принятого объема;
- концентрации.
После ожога последовательно развиваются периоды:
- острый;
- подострый;
- хронический.
В острый период, который длится первые 2-3 дня, при ожоге первой-второй степени и оказании своевременной помощи наблюдаются:
- уменьшение выраженности отека;
- постепенное затихание болей.
В подостром периоде, который может длиться в среднем от 2 до 7 дней, начинается заживление тканей (образуются грануляции и рубцы). В этот отрезок времени может наблюдаться мнимое улучшение – так называемая «ложная ремиссия», признаки которой следующие:
- уменьшается страх перед приемом пищи и воды;
- постепенно легче становится глотать.
Но такое состояние кратковременное, так как в хроническом периоде при формировании рубцов явления дисфагии и боли возобновляются. Рубцовые стриктуры (сужения) пищевода развиваются практически у всех пациентов с ожогом пищевода.
Рубцы, стягивающие ткани, формируются в основном в течение первых двух месяцев с момента ожога .Для этого периода характерны такие симптомы, как:
- дисфагия – невозможность проглотить жидкую пищу, не говоря уже о твердой;
- гиперсаливация – усиленное слюноотделение;
- рвота;
- алиментарная дистрофия – потеря массы тела больного из-за нарушения нормального питания (особенно дистрофия мышц из-за дефицита поступления белков).
Осложнения
Чаще всего осложняются ожоги пищевода, вызванные щелочными растворами. Наиболее частыми осложнениями являются:
- разрыв стенки пищевода – неполный с возможным развитием дивертикула (мешотчатого выпячивания) и полный;
- медиастинит – воспаление тканей средостения (пространства между двух легких) из-за выхода в них инфицированного содержимого пищевода – в том числе гнойное;
- рубцовые стриктуры – стягивание стенок пищевода из-за разрастания соединительной ткани, которая замещает ткани, поврежденные при ожоге;
- стеноз (сужение) пищевода;
- непроходимость пищевода;
- в редких случаях – малигнизация рубцовых тканей (злокачественное перерождение).
Важно
Если не было проведено адекватных мероприятий для ликвидации послеожоговых рубцов, стеноз и непроходимость пищевода наблюдаются у 70% пострадавших.
Если наблюдается ожог третей степени тяжести, то он может осложниться развитием:
- профузного (сильного) кровотечения;
- тяжелых нарушений со стороны дыхания;
- пищеводно-бронхиальных свищей (патологических ходов между просветом пищевода и крупными бронхами).
Диагностика
Диагноз ожога пищевода можно поставить без затруднений – на основании анамнеза (истории заболевания) и характерных клинических симптомов. Дополнительные методы диагностики применяют для выяснения степени повреждения и прогнозирования возможных осложнений.
Во время сбора анамнеза следует выяснить:
- тип принятого вещества (кислота или щелочь);
- количество;
- по возможности – концентрацию.
Из всех физикальных методов информативен осмотр:
- общий вид больного тяжелый;
- при болевом шоке развивается выраженная бледность кожных покровов и видимых слизистых оболочек;
- в ротовой полости наблюдается повреждения тканей в виде изъязвлений.
Следует помнить, что инвазивные методы обследования (с внедрением в полость пищевода) в первые три дня с момента получения ожога не проводятся. Причины этого:
- опасность перфорации пищевода;
- выраженный болевой синдром.
Применяют такие инструментальные методы диагностики, как:
- рентгеноскопия и -графия пищевода – ее привлекают при стабилизации состояния пациента;
- эзофагоскопия – с помощью эндоскопа с вмонтированной оптической системой, введенного в просвет пищевода, можно визуально оценить степень ожогового поражения его слизистой оболочки (а в последующем рубцов), а также заподозрить более глубокое поражение стенки органа;
- ангиография с контрастированием – в сосудистое русло вводят контрастное вещество, после чего делают снимок пищевода, на котором определяют, пострадали ли сосуды пищевода из-за возможного глубокого проникновения агрессивного вещества в ткани.
При рентгенологическом обследовании определяются:
- в острый период: во время рентгеноскопии – гиперкинезия (усиление его тонуса и перистальтических движений вне акта глотания), на рентген-снимке – утолщение и извитость складок слизистой оболочки пищевода;
- в подострый и хронический периоды: стянутые участки стенки пищевода, расширение над участками сужения, формирование соединительнотканных тяжей (рубцов).
В более позднем периоде можно применить рентгенографию с контрастным веществом – больной глотает порцию взвеси сульфата бария, после чего делают рентген-снимок. Контрастное вещество поможет выявить все анатомические изъяны пищевода, возникшие из-за рубцевания.
При эндоскопическом обследовании определяются:
- в острый период: гиперемия (покраснение), выраженный отек слизистой оболочки пищевода, изъязвления (в виде очагов или сливающиеся), эрозии (дефекты тканей), налет;
- в подострый период: уменьшение явлений гиперемии, некротический струп (корочки из мертвых тканей), отграничение мертвых тканей от живых (определяются границы поражения), грануляции, рубцы;
- в хронический период: разные формы рубцовых изменений – в виде колец, тяжей, бугорков и так далее.
Для выявления общих нарушений со стороны организма при выраженных ожогах пищевода применяются:
- электрокардиография (ЭКГ) – ее выполняют после выраженного ожога пищевода, который грозит токсическим поражением миокарда биологическими продуктами, которые образовались в результате ожогового расплавления тканей пищевода;
- электроэнцефалография (ЭЭГ) – выполняют при тех же условиях, что и ЭКГ;
- ультразвуковое исследование печени и почек (УЗИ) – выполняют при подозрении поражения этих органов продуктами распада тканей пищевода, расплавленных принятым веществом;
- компьютерная томография печени и почек – показания те же, что и для проведения УЗИ;
- эндоскопическое исследование средостения – показания прежние.
Лабораторные методы менее информативны и используются в основном для оценки возможных осложнений:
- общий анализ крови – возможно увеличение количества лейкоцитов и СОЭ при присоединении инфекции;
- общий анализ мочи – уменьшение количества лейкоцитов, возрастание плотности мочи при токсическом влиянии на почки продуктов распада пораженных тканей.
Лечение ожога пищевода
Лечебные действия при ожоге пищевода состоят из:
- первой помощи;
- лечения последствий.
Важно
От своевременного оказания первой помощи зависит течение патологии и ее последствия.
Сразу же после получения ожога пищевода следует промыть полость рта пострадавшего большим количеством воды и дать ему выпить два стакана теплого молока (с целью нейтрализации проглоченного агрессивного вещества).
Обратите внимание
Не следует искусственно вызывать рвоту для освобождения пищевода от химического агента, так как это чревато перфорацией пищевода (не только слизистой оболочки, но и более глубоких слоев, которые были повреждены из-за ожога).
Пациента следует как можно быстрее доставить в стационар. Методы лечения ожога пищевода и его последствий – консервативные и оперативные.
В основе консервативного лечения лежат такие назначения, как:
- голод;
- местное обезболивание рта и глотки путем орошения или смазывания анестетиками в форме растворов или мазей;
- постановка назогастрального (носожелудочного) зонда, обильно смазанного любым стерильным масляным раствором. Зонд ставят для нейтрализации агрессивного вещества, попавшего в желудок, и для удаления содержимого желудка. Если получен ожог щелочью, то пищевод и желудок промывают разбавленным раствором уксусной кислоты, если кислотой – раствором пищевой соды. Если природа повреждающего вещества неизвестна, то промывание лучше проводить большим количеством чистой воды (не рекомендуется введение настоев лекарственных трав) или ввести порцию молока (перед введением молоко лучше вскипятить для инактивации инфекционного агента и охладить до комнатной температуры). Процедуру промывания рекомендуется проводить в первые 5-6 часов с момента получения ожогов, далее промывание нецелесообразно;
- антибиотикотерапия для профилактики инфекционных осложнений (особенно гнойных);
- внутримышечное или внутривенное введение обезболивающих препаратов;
- введение седативных препаратов;
- инфузионная терапия – проводится с дезинтоксикационной и противошоковой целью, а также для предупреждения ожоговой болезни (комплекса последствий ожога) . Для этого внутривенно капельно вводят белковые и солевые растворы, электролиты, препараты крови (свежезамороженную плазму);
- десенсибилизирующие средства – предупреждают развитие повышенной чувствительности организма к продуктам распада, образовавшимся из-за действия агрессивного вещества на ткани пищевода;
- при выраженном отеке тканей – мочегонные препараты.
Энтеральное (через рот) кормление пациента проводят в зависимости от степени ожога:
- при первой степени – на вторые-третьи сутки пребывания в клинике;
- при второй степени – не раньше седьмых-восьмых суток;
- при третьей степени – начало энтерального питания определяют индивидуально.
До момента возобновления энтерального кормления питательные вещества (белки, жиры, углеводы) вводят пациенту парентеральным способом – внутривенно капельно.
Важно своевременно начатое лечение, направленное на предупреждение стеноза пищевода. С этой целью проводят бужирование пищевода – введение в его просвет бужей (металлических стержней), чтобы расширить просвет пищевода и предотвратить последствия рубцевания. При этом вводят бужи возрастающего диаметра. Своевременное лечение в остром периоде и адекватное бужирование в подостром периоде обеспечивают восстановление проходимости пищевода в 90% всех клинических случаев.
К хирургическому лечению прибегают, если развились выраженные последствия ожога пищевода – грубые рубцы, которые приводят к стриктуре данного органа (стягиванию стенок) и, как следствие, уменьшению или полному исчезновению просвета пищевода, что, в свою очередь, приводит соответственно к частичной или полной пищеводной непроходимости. Выполняют такие радкальные вмешательства, как:
- рассечение рубцов. В последнее время его успешно выполняют эндоскопическим методом, без торакотомии (вскрытия грудной клетки);
- эндоскопическое расширение суженных участков – во время него вместо бужей используют эндоскоп;
- стентирование – в просвет пораженного участка пищевода вставляют стент (полую трубку), который предотвратит рубцевое стягивание стенок пищевода и уменьшение его просвета;
- пластика пищевода – выполняется при значительном повреждении пищеводной стенки. Пластику выполняют с помощью как биологических, так и синтетических материалов.
Профилактика
В основе профилактики лежит элементарное соблюдение правил хранения опасных и едких веществ – а именно:
- отдельно от продуктов;
- в таре с маркированием;
- в местах, недоступных для детей.
Также следует прятать агрессивные вещества от:
- эмоционально лабильных людей;
- психически больных;
- склонных к неадекватным поступкам.
Прогноз
Прогноз при ожоге пищевода в целом не является простым. Он зависит от таких критериев, как:
- разновидность агрессивного вещества;
- pH жидкости (самые тяжелые повреждения наблюдаются при рН принятого вещества ниже 2 и выше 12);
- его количество;
- концентрация;
- время действия на стенку пищевода;
- степень тяжести ожога;
- наличие и тяжесть осложнений;
- своевременность оказания первой помощи и стационарного лечения.
Наиболее неблагоприятный прогноз – при ожоговых поражениях пищевода третьей степени. Смертность таких пациентов составляет около 60%.
При первой и второй степени поражения прогноз более благоприятный – функциональная способность пищевода при адекватной своевременной помощи сохраняется у 90% пострадавших.
Ковтонюк Оксана Владимировна, медицинский обозреватель, хирург, врач-консультант
10,512 просмотров всего, 8 просмотров сегодня
Загрузка…












