Пневмония — это инфекционно – воспалительное заболевание легочной ткани. И каждый знает, что инфекционными болезнями можно заразиться различными способами: воздушно – капельным, контактным, пищевым или водным и половым путем.
Но при этом больных с пневмонией госпитализируют в соматический стационар, а не в инфекционно – диагностическое отделение. Поэтому многих волнует вопрос: пневмония заразна или нет?
Точного ответа на этот вопрос нет: вероятность развития воспаления легких зависит от вида возбудителя и состояния иммунитета конкретного человека.
Пневмония чаще всего возникает как осложнение инфекции дыхательных путей, вызванных вирусной, бактериальной или грибковой микрофлорой
Все патологические процессы при воспалении легких протекают в ослабленном организме и не могут передаваться воздушно-капельным путем от больного к здоровому человеку.
Но при этом важно отметить, что заразными являются только возбудители пневмонии (вирусы, патогенные бактерии, внутриклеточные микроорганизмы или грибки), попадающие в организм различными путями и вызывающие воспалительные процессы разных органов, в том числе и легких.
Кроме этого выделяют еще одну форму воспаления легких – внутрибольничную пневмонию.
Она передается воздушно – капельным путем и считается самой опасной для жизни. Это связано с тем, что патогенные микроорганизмы формируют L – формы, которые обладают высокой устойчивостью ко всем группам антибиотиков и наибольшей контагиозностью. Заразно или нет воспаление легких – внутрибольничной формой заболевания можно заразиться через респираторный тракт.
Эта форма пневмонии наиболее опасна для беременных, детей, пожилых и ослабленных пациентов
Пути передачи возбудителей пневмонии
Способы передачи пневмонии напрямую зависят от вида возбудителя, а риск возникновения заболевания – от нормального функционирования всех органов и систем организма. Поэтому заразна ли пневмония для окружающих зависит от иммунитета и наличия сопутствующих заболеваний.
Воздушно – капельный способ заражения
Воспаление легких, которое вызвано различными типами вирусов (гриппа, парагриппа, аденовирусом, респираторно – синцитиальной инфекцией), микоплазмой, легионеллой, пневмококком, стрептококком и при определенных условиях может передаваться при кашле, чихании, разговоре.
При этом нужно помнить, что воспаление легких, которое развивается на фоне бронхита, острых респираторных вирусных инфекций или переохлаждения, не считается заразным.
Заражение происходит через респираторный тракт, но пневмония развивается только в определенных случаях
Контактно – бытовой путь
Бытовым путем (через грязные руки, посуду, предметы общего пользования) происходит заражение патогенной бактериальной флорой:
- стафилококком;
- стрептококком;
- кишечной и гемофильной палочкой;
- пневмококками.
Для малышей раннего возраста, ослабленных соматическими заболеваниями, недоношенных, малышей с внутриутробной гипотрофией, рахитом, диатезами, врожденными аномалиями легких и сердца не менее опасен и близкий контакт с носителями этими возбудителями, особенно пневмококком и стрептококком.
Эти возбудители могут передаваться через поцелуи и руки, ухаживающих за ними взрослых.
Внутриутробный путь заражения
Не менее опасен и внутриутробный путь заражения – это наиболее частый способ заражения хламидийной, цитомегаловирусной пневмонией, реже отмечается пневмония при токсоплазмозе.
Симптомы пневмонии при внутриутробном заражении могут проявиться уже в первые сутки после рождения
Почему развивается пневмония
Ведущую роль в возникновении пневмонии имеют не инфекционные факторы, а состояние организма, вероятность сбоев общей иммунологической реактивности и степени функционирования защитных барьеров респираторного тракта.
Дыхательные пути человека сформированы так, что легкие максимально защищены, и любым инфекционным агентом попасть в них практически невозможно.
В медицине сформировано четкое понятие, что здоровому человеку пневмонией от окружающих заразиться нельзя.
Вероятность развития воспаления легких значительно повышается у следующих категорий больных:
- после сложной вирусной респираторной инфекции, тяжелого инфекционного или соматического заболевания;
- у пациентов, принимающих длительное время антибиотики, глюкокортикоиды, иммуносупрессивную терапию;
- после химиотерапии;
- болеющие ВИЧ;
- при аутоиммунных заболеваниях;
- после сильного переохлаждения;
- у пациентов с хронической патологией органов дыхания, нарушениями обмена и эндокринными заболеваниями;
- при выраженных психоэмоциональных или физических нагрузках;
- при хронических очагах инфекции, особенно в полости носа и носоглотке.
Все эти патологические состояния или заболевания приводят к снижению иммунитета – наиболее значимому фактору в развитии пневмонии у взрослых.
Достаточно часто у пациентов присутствуют несколько провоцирующих факторов и риск развития пневмонии значительно возрастает
Заразна ли пневмония для ребенка
Органы иммунной защиты ребенка, как и все системы организма, после рождения и на протяжении первых лет жизни недостаточно сформированы и постепенно созревают по мере его роста.
При этом иммунитет малыша постоянно находится в состоянии усиленной «тренировки»:
- отмечаются бурные реакции на вторжение чужеродных агентов – вирусов, бактерий и других возбудителей инфекций;
- иммунная система по мере роста ребенка имеет определенные пики повышения и снижения ее активности.
Но при этом дыхательные пути ребенка имеют меньшую протяженность, и эта анатомическая особенность делает их уязвимыми для респираторных инфекций и спускания воспалительного процесса в их нижние отделы. Кроме этого существуют определенные факторы, предрасполагающие к развитию пневмонии у детей.
Читайте также:
Мокрота при пневмонии хорошо или плохо
К ним относятся:
- предрасположенность к аллергическим реакциям;
- перинатальные патологии;
- врожденные аномалии респираторного тракта и диафрагмы;
- патологическое течение беременности;
- рахит и диатезы;
- недиагностированные дисбактериозы;
- пассивное курение и плохая экология;
- отсутствие нормальных санитарных условий или усиленная стерильность;
- бесконтрольный прием лекарств.
Воспаление легких у ребенка в большинстве случаев — это осложнение на фоне вирусной или бактериальной инфекции.
Если у малыша появились признаки простуды или вирусной инфекции – лечение и наблюдение должен осуществлять врач – педиатр.
Родители должны выполнять все рекомендации специалиста:
- инструкция по приему лекарств и длительности терапии;
- полный спектр дополнительных обследований, в том числе и рентгенография при подозрении развития воспалительных процессов бронхолегочной системы.
При этом важно помнить, что пневмония часто является осложнением вирусных инфекций. Дети, которые посещают организованные детские коллективы, и места скопления людей имеют риск возникновения воспаления легких. Поэтому эффективным способом защиты от пневмонии на сегодняшний день для детей до шести лет является своевременно проведенная вакцинация от пневмококковой инфекции («Превинар» или «Пневмо – 23»).
На основании всех выше изложенных фактов можно сделать однозначный вывод: заразно ли воспаление легких для окружающих – нет.
Риск ее развития значительно повышается при ослаблении общего и местного иммунитета, хронических заболеваниях или врожденных аномалиях респираторного тракта, контакте с большим количеством людей, особенно в периоды эпидемий. При отсутствии настороженности и выполнения санитарных норм защиты цена может быть достаточно высока — осложненное течение ОРВИ и развитие пневмонии.
Коронавирусная инфекция протекает не как «обычная», а как вирусная пневмония. Кроме того, она тяжелее.
«Обычную» пневмонию вызывают бактерии. Их положительная черта в том, что на них возможно прицельное воздействие антибиотиками. Причём есть антибиотики широкого спектра действия – направленные сразу на многих бактерий. Поэтому для любой бактериальной пневмонии можно найти подходящий антибиотик и уничтожить возбудителя. Это значительно улучшает шансы на выздоровление, главное – начать лечение вовремя.
От вирусов же нет препаратов широкого спектра действия. Дело в том, что у них очень мало белков и ферментов по сравнению с бактериями, почти нет общих этапов метаболизма, по которым можно было бы «ударить» универсальными препаратами. Все противовирусные препараты бьют по узкой группе вирусов. Например, осельтамивир (тамифлю) поможет при гриппе, но бесполезен при ветрянке. Ацикловир поможет легче перенести ветрянку, но бесполезен при ротавирусной инфекции («кишечном гриппе»). Арбидол бесполезен при любой вирусной инфекции. Ну или, по крайней мере, его эффективность пока не доказана.
А от коронавирусов специфичных лекарств нет.
Причина этого проста: лишь недавно появились суперагрессивные штаммы коронавирусов. С 1980-х годов коронавирусы были всего лишь обычными вирусами, вызывающими ОРВИ или «пищевое отравление». Кто будет тратить деньги на разработку препаратов от такого пустяка?
Поэтому, если пневмонию вызвал коронавирус, нам нечем убить возбудителя. Можно только проводить симптоматическую терапию. Уже это делает его опасным.
Кроме того, коронавирусная инфекция отличается по течению от обычной пневмонии. За счёт того, что коронавирус поражает разные системы, у ряда больных наступает почечная недостаточность, расстройства кровообращения, падает артериальное давление. А ещё коронавирус поражает желудочно-кишечный тракт. Вряд ли приятно болеть пневмонией с неприятным «бонусом» в виде боли в животе и жидкого стула. В таком состоянии это тоже опасно.
Такой сценарий развивается не у всех больных, но у пары десятков процентов такое отмечалось по итогам вспышки 2002 года.
Так что сама по себе это пневмония неприятная и опасная. И, раз вакцины нет и специфических лекарств нет, надо не допустить распространения вируса.
И, наконец, третья причина настороженности – то, о чём говорил Темир. Хотя, он немного преуменьшил опасность. Опасность есть, правда паниковать не стоит. Но этой вспышки учёные ждали. Способность коронавирусов «перекидываться» от животных на человека известна давно. С 2002 года мы твёрдо знаем, что это происходит нередко, и в результате этого возникают новые опасные штаммы. Я могу «обрадовать» – этот не последний, наверняка будут ещё штаммы. Район риска тоже был известен – Китай с его непрожаренным мясом всего, что шевелится, и с продажей этого же всего в живом виде на стихийных рынках. Ожидался приход новых коронавирусов, и медики готовились принять меры в случае чего.
Сейчас учёные стараются прогнозировать подобные вспышки и работать на опережение, чтобы не допустить большого числа жертв. Вспышка пришла. Профилактическая работа, в том числе оповещение населения, началась.
И четвёртый фактор: опасность коронавируса слегка преувеличивается СМИ, которые рады раздуть сенсацию даже из эпидемии чесотки. Поэтому создаётся ощущение мировой паники. Чёрт на самом деле не настолько страшен, как его малюют.
Интересный факт: 80% людей болели коронавирусной инфекцией в виде ОРВИ. Поэтому у 80% людей есть антитела к коронавирусам. И – вуаля! – нам не страшен серый волк! За счёт этой значительной иммунной прослойки восприимчивость к коронавирусу низкая, и массовой гибели людей не вызовут даже агрессивные штаммы. Даже в Китае заболеваемость не такая высокая, если поделить число заболевших на население соответствующих регионов. А смертность вообще на уровне 3%. Но это не означает, что не нужно быть настороже, вовремя закрывать границы, вводить карантин и принимать меры.Даже если вирусом могут заразиться лишь 20%, надо постараться этого избежать.
Читайте также:
Как лечить пневмонию у морской свинки
КомандаБиомолекулыпродолжает следить за ситуацией с коронавирусом. Приглашаем ознакомиться снашей статьёй о новом коронавирусе, где мы рассказали всё то, что не вместилось в этот ответ.
Какой инкубационный период у вирусной пневмонии? Это главный вопрос данной статьи, на который вы здесь найдёте ответ. Вообще это одно из опаснейших заболеваний для тех, у кого значительно понижен иммунитет.
Что это за болезнь? Основные признаки вирусной пневмонии у взрослых
Заболевание характеризуется острым воспалительным процессом. Именно это влияет на нижние дыхательные пути. Основным возбудителем пневмонии считаются вирусы.
Как передается пневмония вирусная? Воздушно-капельным путём. Таким образом, ею можно легко заразиться.
Пневмонию вызывают вирусы герпеса 1-й и 3-й группы, парагриппа, респираторно-синцитиальные, В и А, аденовирусы.
Заболевание развивается в течение нескольких дней после заражения.
Кроме того, спровоцировать болезнь могут вирусы таких недугов, как ветряная оспа, корь.
Через 6 дней пневмония соединяется с бактериальной инфекцией. Это говорит о том, что болезнь усложняется. Заболевание становится вирусно-бактериальным.
Признаки рассматриваемой вирусной пневмонии и простуды в начале болезни между собой весьма схожи. Поэтому иногда их путают.
К основным симптомам заболевания относятся:
- сильные головные боли;
- повышение температуры тела;
- затруднённое дыхание и одышка;
- сухой кашель и озноб;
- обильные выделения из носа – насморк;
- боли в области груди;
- сильная слабость всего организма;
- ломота в теле;
- красные глаза;
- хрипы, которые отчётливо слышны при прослушивании специалистом;
- признаки отравления, такие как рвота и тошнота;
- посинение конечностей из-за частого и сильного кашля.
Во время недуга человек не может полноценно выполнять любую работу. Организм его полностью ослаблен.
Признаки вирусной пневмонии могут проявляться все вместе или по очереди. Каждый следующий период болезни проходит по-разному. На этот фактор оказывают влияние индивидуальные проявления вируса.
С каждым днём вирусная пневмония усложняется. Если не лечить недуг и думать, что это всего лишь обычная простуда, то впоследствии в мокроте может появиться гной. Это говорит о том, что начала развиваться ещё и бактериальная инфекция.
Пневмония: инкубационный период, какой он?
Длительность данного момента зависит от таких факторов, как возраст больного, состояние здоровья человека, индивидуальные особенности организма и тип вируса, который вызвал этот недуг.
Как правило, у вирусной пневмонии инкубационный период у взрослых людей составляет около трёх дней. Бывает и такое, что симптомы заболевания проявляются и гораздо позже. У пневмонии инкубационный период проходит без всяких признаков. Иногда может наблюдаться небольшое повышение температуры тела у больного.
Иногда часть людей задаёт вопросы наподобие: «Пневмония заразна или нет? Инкубационный период является опасным для других людей?» Если на первый вопрос ответ был уже дан в начале статьи, то на второй можно ответить так же. Если пациент с вирусной пневмонией, инкубационный период которой ещё не закончился, чихнёт или кашлянет в сторону другого человека, то он заразит и его. Вместе с мокротой и слюной больного выделяется огромное количество бактерий. В тот момент, когда стоящий рядом вдохнёт их, он тоже заболеет.
Как передаётся пневмония вирусная ещё? Заразиться можно не только воздушно-капельным путём, но и бытовым. В случае когда вирус попадёт на любые предметы, он будет жить в активной форме и представлять опасность несколько часов. Поэтому если человек прикоснётся к такой посуде, а потом протрёт глаза, то заразится этим недугом.
Таким образом, у пневмонии инкубационный период представляет тот отрезок времени, в котором человек и не подозревает о том, что болен. В этом случае он может передать этот вирус и окружающим его людям. Поэтому следует соблюдать правила гигиены, а именно, например, при чихании прикрывать нос и рот рукой.
Что такое атипичная пневмония?
Данное название применяется к совокупности инфекционно-воспалительных поражений лёгочной ткани. В этой ситуации возбудителями являются хламидии, микоплазмы, легионеллы и вирусы. Исходя из того, какой микроорганизм является источником болезни, о таком виде пневмонии говорят. Таким образом, выделяют 4 вида этого заболевания. При атипичной пневмонии вирусного типа возбудитель именуется как короновирус.
Специалист может подтвердить диагноз только после проведения ряда лабораторных исследований. В основном для лечения назначаются антибиотики.
Читайте также:
Внутриутробная пневмония у новорожденных выживаемость
У атипичной пневмонии инкубационный период составляет от 3 до 10 дней. В начале заболевание развивается как обычная простуда.
Как проводится диагностика болезни?
Точно определить вирусную пневмонию и назначить правильное лечение может только врач. Он изучает эпидемиологическую обстановку и анамнез. Далее необходимо будет сдать общий анализ крови и пройти рентгенологическое обследование.
Чаще всего вспышки вирусной пневмонии наблюдаются зимой. В это время большое количество людей также болеют ОРВИ. Рассматриваемое в статье заболевание характеризуется разной степенью и формами дыхательной недостаточности.
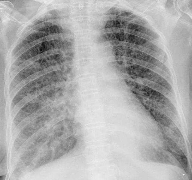
При наличии пневмонии на рентгенологическом снимке можно увидеть в нижней доле лёгких мелкоочаговые тени и усиление интерстициального рисунка. Кроме того, специалист изучает промывные воды бронхов и мокроту.
Врач изучает все анализы и исключает другие болезни, имеющие похожие признаки. После этого он обозначает тип вируса, который вызвал данный недуг.
Какие есть особенности у пневмонии без температуры?
Этот вид заболевания намного опаснее и может привести к плохим последствиям. Здесь человек не знает о том, что заразился вирусной пневмонией, поскольку не наблюдается повышения температуры тела.
У больного имеется небольшое недомогание. Обычно с этим никто ничего не делает, что приводит к усугублению ситуации.
Пневмония без температуры появляется из-за ослабленного иммунитета, приёма большого количества антибиотиков, частого употребления таблеток от кашля и наличия постоянного очага инфекции в лимфатических узлах.
Основными признаками данного типа недуга являются слабость и вялость, дыхание со свистом, бледность кожных покровов, сильная утомляемость и повышенная потливость, боли в мышцах.
Длительность лечения заболевания
Выздоровление больного зависит от таких факторов, как степень тяжести пневмонии, реакция организма на антибиотики и вид возбудителя.
В основном заболевание лечится от 7 до 21 дня.
То, необходимо ли пациенту ложиться в стационар, определяет врач. Если у больного состояние лёгкой или средней тяжести, то лечение можно проводить дома.
Обязательным условием при этом является обязательное и постоянное посещение пациента. При тяжёлой форме вирусной пневмонии больной должен проходить лечение в больнице.
Как правило, при недуге назначаются антибиотики и кортикостероидные препараты, таблетки от кашля и жаропонижающие средства. Также больному следует больше пить воды.
Медикаменты назначает врач. Всё зависит от степени и тяжести болезни. В этом случае нельзя заниматься самолечением. Необходимо соблюдать все рекомендации специалиста.
Как проходит лечение антибиотиками?
Когда вирусная пневмония соединяется с бактериальной инфекцией, в этом случае врач назначает именно эти медикаменты. Антибиотик подбирается в зависимости от возраста и тяжести состояния пациента. Медикаменты вводятся внутримышечно, перорально или внутривенно.
В основном для лечения применяются антибиотики фторхинолонового ряда.
Народные средства при вирусной пневмонии
Основным способом лечения является, конечно же, применение медикаментов, назначенных специалистом. Но народные средства также можно использовать.
Травы обладают противовоспалительным, антиаллергенным и сосудорасширяющим эффектом. Они помогают бороться с вирусом.
Так, хорошо помогает мать-и-мачеха. Для этого понадобится 2 ложки листьев. Их заливают стаканом кипятка и дают настояться в течение 30 минут. Отвар необходимо принимать три раза в день по четверти стакана.
Также дополнительно используют настой из столетника. Измельчённые листья перекладывают в стеклянную посуду. Сюда же добавляют несколько ложек мёда и чашку красного вина. Полученное настаивают 7 дней. Затем употребляют по одной столовой ложке перед едой.
При вирусной пневмонии следует употреблять отвары из таких трав, как алтей лекарственный, медуница и девясил.
Последствия и осложнения заболевания
Вирусная пневмония считается одним из опасных заболеваний. При несвоевременном лечении могут быть печальные последствия, вплоть до летального исхода.
К другим осложнениям болезни относятся менингит, сепсис, воспаление сердечной мышцы, абсцесс и отёк лёгких, бронхообструктивный синдром, инфекционно-токсический шок.
Какими будут последствия вирусной пневмонии, зависит от состояния организма пациента и степени тяжести заболевания. Для того чтобы не было перечисленных осложнений, при первых же признаках необходимо обратиться к специалисту и получить должное лечение.
Профилактика заболевания
Для того чтобы риск заразиться вирусной пневмонией был минимальным, следует придерживаться нескольких простых правил.
Необходимо регулярно проводить вакцинацию против этого недуга. В рационе любого человека должна быть только здоровая пища, в которой содержится большое количество микроэлементов и витаминов. Также следует своевременно и полноценно отдыхать, регулярно совершать прогулки на свежем воздухе.
При посещении людных мест необходимо использовать противовирусные мази, избегать в периоды эпидемий мест большого скопления народа.
Для укрепления иммунитета следует принимать витамины, а также регулярно делать физические упражнения.
Таким образом, если соблюдать несколько простых советов, риск заболеть будет очень мал. Но если всё-таки появились первые признаки заболевания, для того чтобы не было осложнений, нужно обязательно обратиться к специалисту.






