Коронавирусная инфекция прежде всего поражает лёгкие, начиная с горла и переходя по дыхательным путям к жизненно важному органу. Узнаем, как выглядят лёгкие при коронавирусе на рентгене и в чем отличия COVID-19 от пневмонии.
Как коронавирус выглядит на рентгене?
COVID-19 поражает лёгкие. В плевральной полости вокруг органа дыхания накапливается жидкость и он увеличивается в размерах. Лёгочная ткань покрывается рубцами, и из-за этого человеку становится трудно дышать, так как часть органа разрушается и кислороду трудно попасть в кровь.
При рентгеновском излучении лёгких, поражённых коронавирусной инфекцией, наблюдаются затемнения в нижней части органа (на снимке обозначаются белыми пятнами). Пятна называются симптомом “матового стекла”. На рентгене видны пятна, которые обуславливаются наличием жидкости в лёгких.
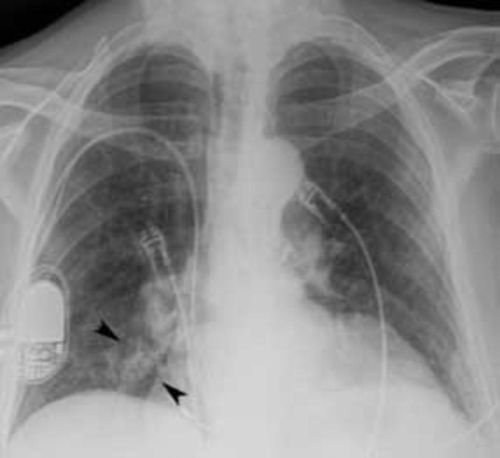
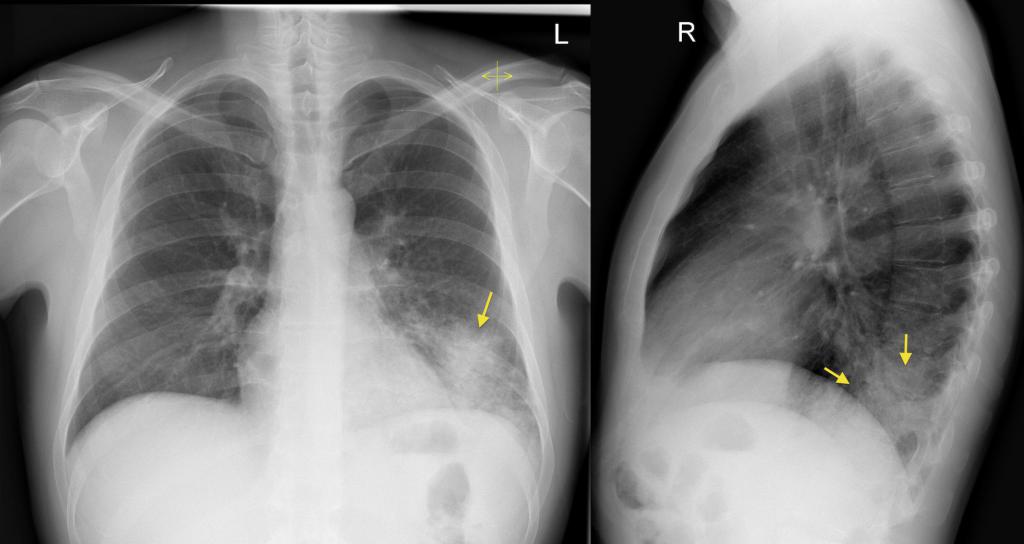
Симптом “матового стекла” в легких
Симптом “матового стекла” проявляется у больных на фоне поражения лёгких вирусом. Так как дыхательный орган подвергается серьёзным изменениям, в нём появляются зоны повреждений.
Снижается плотность лёгочной ткани. В поражённом участке проявляется умеренно-сниженная воздушность, главным признаком выступает видимость сосудов лёгких и стенок бронхов.
Заметить данный симптом на рентгене сложно, поэтому требуется дополнительно сделать компьютерную томографию.
Типичные признаки проявления симптома “матового стекла”:
- стенки и структура бронхов чётко проглядываются;
- видны затемнения;
- сохраняется сосудистый рисунок;
- повышается прозрачность лёгочной ткани.
Причины, при которых встречается данный симптом:
- отёк лёгких;
- пневмонии, вызванные вирусными частицами;
- хронические заболевания лёгочных тканей;
- синдром дыхательных расстройств;
- системные заболевания соединительной ткани;
- сердечная недостаточность в стадии альвеолярного отёка лёгких;
- кровотечения из лёгочных сосудов.
Ниже представлены фото, как выглядит симптом “матового стекла” на рентгене и компьютерной томографии:
Как проявляется поражение легких при коронавирусе?
Типичные проявления нарушений органа дыхания при коронавирусной инфекции:
- в лёгких накапливается жидкость и постепенно занимает всё большую площадь;
- поражаются стенки сосудов и клеток крови в лёгких;
- видны затемнения по типу “матового стекла” различного размера, сопровождающееся уплотнением перегородок между альвеолами – пузырями, где капилляры органа обогащаются кислородом;
- в лёгких образуется рубцовая ткань, называющаяся “фиброзом”, вследствие чего снижается растяжимость и эластичность ткани.
Отличия пневмонии от коронавируса?
Пневмония – это воспаление лёгких, которое провоцируется бактериями. Обычная пневмония развивается, когда в органах дыхания скапливается мокрота, поэтому начинается нарушение вентиляции органа и размножаются микроорганизмы.
При пневмонии поражается только часть лёгких, а при коронавирусной инфекции страдает весь орган, он заполняется жидкостью и перестаёт снабжаться кислородом.
Пневмонию, в отличие от коронавируса, можно вылечить антибиотиками, уничтожив возбудителя.
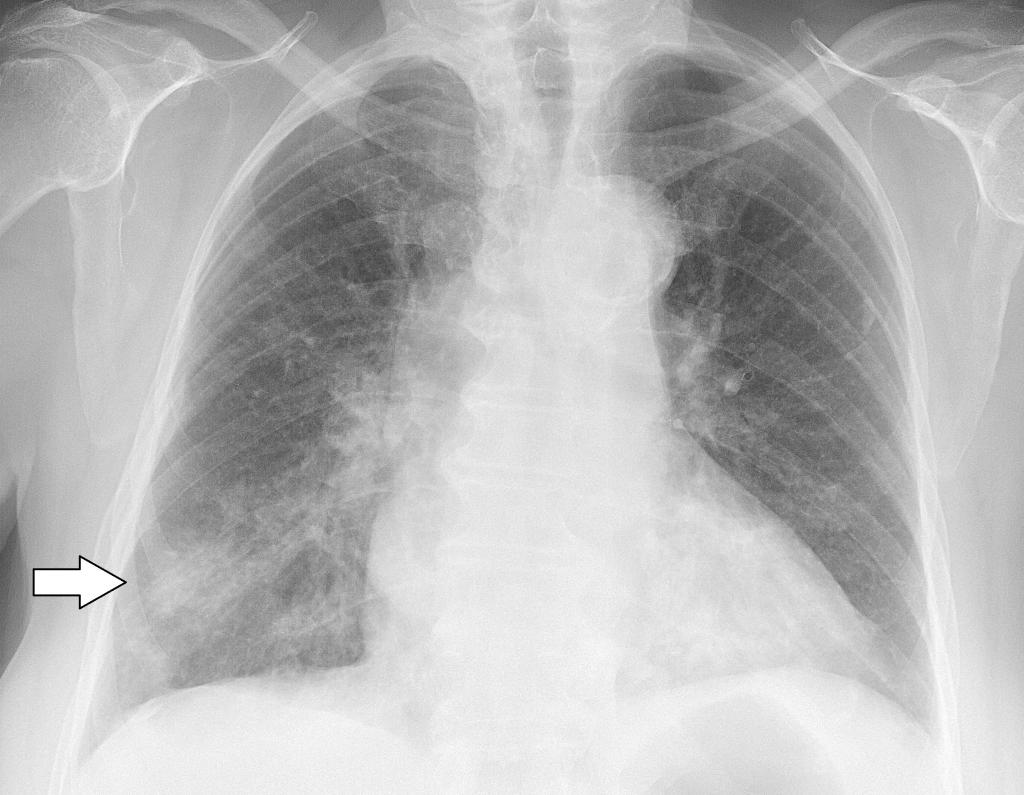
При пневмонии, на рентгеновском снимке легких, видны следующие признаки:
- в разных частях органа находятся очаги затемнения, имеющие неровные контуры и размер 3-12 мм;
- различаются тени по внешнему виду (овальные, кольцевидные, круглые), интенсивности цвета – чем темнее будет пятно, тем сильнее патологический процесс;
- если поражены лимфатические узлы и нарушено кровоснабжение органа, может быть заметно изменение корней лёгких, если поражена плевра – видны нарушения в рисунке куполов диафрагмы.
На рентгеновском снимке пневмония выглядит следующим образом:
Пневмония может развиваться в течение нескольких недель, а инкубационный период COVID-19 составляет 2-5 суток.
Чем отличается атипичная пневмония от коронавируса?
Атипичная пневмония вызвана воздействием микроорганизмов (микоплазм, хламидий, легионелл), являющихся нехарактерными для пневмонии. Также её называют острым респираторным синдромом. Болезнь первоначально проявляется интоксикацией:
- тошнотой;
- повышением потоотделения;
- слабостью;
- учащённым сердцебиением.
Не всегда больного беспокоит кашель. Высокая температура может сохраняться в течение длительного времени. Ещё одна особенность атипичной пневмонии – увеличение числа лейкоцитов в единице объёма крови, который можно определить, сдав анализ.
При атипичной пневмонии легких на рентгеновском снимке видны затемнения:
- мелкоочаговые – не более 3 мм;
- среднеочаговые – не более 7 мм;
- крупноочаговые – не более 12 мм;
- фокусные – более 12 мм.
Атипичная пневмония на рентгеновском снимке:
COVID-19 отличается от атипичной пневмонии тем, что сопровождается прежде всего лёгочными проявлениями. Симптомы обоих заболеваний могут совпадать – повышение температуры, насморк и боль в горле.
Атипичную пневмонию можно вылечить Тетрациклином, Ципрофлоксацином или макролидами. Но при COVID-19 эти средства не эффективны.
Отличие вирусной пневмонии от коронавируса?
Вирусная пневмония отличается от коронавируса более лёгким течением болезни. Распространёнными возбудителями вирусной пневмонии являются вирусы группы A и B, аденовирусы и вирусы парагриппа.
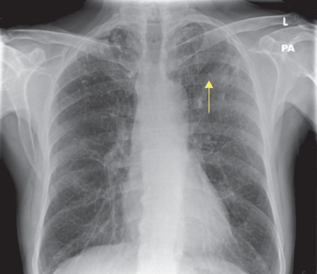
Как и при простой пневмонии, при вирусной форме заболевания, на рентгене видны такие же признаки поражения легких:
- затемнения;
- тени разной формы и размера;
- изменение корней легких.
Вирусная пневмония на рентгеновском снимке выглядит следующим образом:
Коронавирус отличается от вирусной пневмонии данными признаками:
- быстро развивается тяжёлая форма патологии, вирусная пневмония даже при неутешительных прогнозах оставляет шансы на выздоровление;
- коронавирус сопровождается учащённым сухим кашлем, если поражены оба лёгких, выделяется мокрота;
- плохо сбивается температура, при вирусной форме пневмонии по утрам температура уменьшается.
Самостоятельно отличить коронавирус от воспаления лёгких невозможно.
Коронавирусная инфекция оказывает разрушающее действие на легкие. Поэтому при ухудшении самочувствия, нужно обратиться за медицинской помощью. Такой подходит значительно увеличивает шансы на выздоровление.
При ежегодной диспансеризации пациенту предлагают сделать флюорографию, чтобы проверить состояние лёгких. Процедура заключается в получении изображения внутренних органов человека при прохождении через ткани его тела рентгеновских лучей. Благодаря рентгену легких, можно на ранних стадиях диагностировать различные заболевания в лёгком, симптомы которых ещё не появились у человека, – туберкулеза, рака лёгких, ателактазы и др.
Читайте также:
Пневмонии по этиологии и лечению
Как выглядит классический рентгеновский снимок лёгких
Классический рентгеновский снимок лёгких
Лёгкие человека выглядят на снимке таким образом: правое и левое лёгкой по сторонам от позвоночника, тень от сердца, ключицы, рёбра, купол диафрагмы. Расшифровкой полученных изображений занимаются специалисты, которые оценивают состояние лёгких пациента по следующей схеме:
- как лёгкие расположены в грудной клетке относительно других органов;
- количество лёгочных долей;
- форма парного органа и его размеры;
- лёгочный рисунок.
Лёгочная ткань здорового человека имеют однородную и равномерную структуру. В ряде случаев на рентгеновских снимках появляются пятна тёмной или светлой окраски. Это может свидетельствовать как о наличии серьёзных патологий, так и о физиологических процессах в лёгких, не являющихся отклонением от нормы. Однако, получив такой снимок, пациент с беспокойством начинает искать информацию о значении затемнений или светлых кругов на снимке. Далее будет рассказано о том, что они означают.
Причины появления пятен на снимке
Причины появления пятен на снимке
Причин появления тёмных пятен на лёгких достаточно много. Когда патологический процесс затрагивает орган, его структура заметно изменяется – появляются участки с уплотнениями, которые при воздействии рентгена поглощают лучи в большем количестве, чем здоровые ткани. Именно поэтому на снимках видны тёмные участки. Эти участки могут быть разными по форме и величине:
- Очаговые затемнения. Обычно выявляются при воспалениях и раковых процессах в тканях органа. Выглядят они как небольшие пятна, диаметром до 10 мм. По факту их наличия невозможно поставить верный диагноз. Нужны дополнительные исследования – КТ, анализы крови, мочи и мокроты.
- Круглые затемнения. Визуализируются они как одиночные тени округлой формы. Обычно являются показателем воспалительного процесса в лёгочной ткани. Такая картина показательна для пневмонии, абсцессах, доброкачественных образованиях в данном органе, бронхиальной астме и даже о переломах рёбер. Реже круглые единичные затемнения свидетельствуют об онкологических процессах в лёгких.
- Сегментарные затемнения. Локализуются в форме треугольника (треугольников) на одном или обеих долях. Они могут быть как одиночными, так и множественными. Одиночные сегментные затемнения могут свидетельствовать об инородном предмете в органе или об опухолях внутри бронхов, которые могут быть как доброкачественными, так и злокачественными. Множественные сегменты на снимках говорят о наличии пневмонии, центрального рака лёгких, сужении центрального бронха, плеврите, онкологии соседних органов.
- Затемнения нечёткой формы. Данные тёмные участки не имеют определённых контуров, их невозможно сравнить с геометрическими фигурами. Чаще всего наличие таких неопределённых по форме участков затемнения говорит о инфекционных поражениях лёгкого – стафилококковой пневмонии, экссудативном плеврите.
- Долевое затемнение. Это чётко очерченные и хорошо заметные на снимках границы затемнений, имеющие выгнутую, выпуклую и другие формы. Этот тип затемнения свидетельствует о хронических заболеваниях в бронхах.
Как выглядят на рентгеновском снимке затемнения при различных заболеваниях
Пятна в лёгких на рентгене могут появляться при следующих заболеваниях:
Туберкулёз
Туберкулёз
При этой болезни серьёзно поражены верхние отделы органа. На снимке это проявляется наличием множественных затемнённых очагов небольшого размера – до 2 мм в диаметре. При этом очаги могут сливаться, образовывая более крупные локации.
Пневмония
Пневмония
При пневмонии наличие тёмных участков отмечается в нижних частях лёгочной ткани. Наиболее отчётливо симптомы болезни будут видны на снимках в момент развития болезни. Визуально это будет проявляться увеличением корня лёгкого из-за процесса инфильтрации, изменением лёгочного рисунка, тенями с нечётким, расплывчатым контуром и многочисленными пятнами разного диаметра.
При пневмонии на рентгене лёгких эти пятна имеют нечёткие контуры и неоднородную структуру.
Помимо пневмонии, наличие множественных очагов поражения в нижних частях лёгочных долей свидетельствует о последствиях перенесённой пневмонии или бронхита. При полном выздоровлении эти следы исчезнут.
Рак лёгких
Рак лёгких
Угрожающим состоянием для жизни человека является рак лёгких. Его проявления также могут быть заметны при проведении флюорографии или рентгена. Стоит отметить, что при наличии образований до 2 мм в диаметре рентген не сможет обнаружить опухоль. Она визуализируется на снимках тогда, когда достигает в диаметре более 3 мм. Для точности диагноза рентген выполняют сразу в двух проекциях – боковой и прямой.
На снимке при подозрении на онкологическое заболевание можно обнаружить следующие признаки: тень на периферии лёгкого с расплывчатым и бугристым контуром, тонкий контур из лучей вокруг очага рака, на фоне сильной тени выделяется большое белое пятно – так проявляется картина распада опухоли.
Однако не стоит при диагностировании онкологии ориентироваться только на снимок. Больной направляется к специалистам, которые берут биопсию ткани и проводят дополнительные исследования – МРТ, КТ органа, чтобы поставить правильный диагноз.
Плеврит
Плеврит
Плевритом называется воспаление лёгочнойоболочки. В таком случае затемнения на объясняются непроходимостью в тех зонах воздуха. При этом в полостях из складок плевры скапливается жидкость.
При наличии сухого плеврита купол диафрагмы поднят кверху и лёгочная ткань непрозрачна. При выпотном плеврите сглаживается из-за скопления жидкости угол диафрагмы, нижняя часть лёгкого затемнена косой границей.
Читайте также:
Польза от электрофореза при пневмонии
Никотиновая зависимость
Легкие курильщика
У заядлых курильщиков на флюорограмме или рентгене тоже обнаруживаются затемнения. Они объясняются сгущением лёгочного рисунка, образованием полостей в бронхах. Корни лёгких у курильщиков размыты – сложно определить их структурные границы. Размытость контуров корней объясняется увеличением лёгочных сосудов из-за дыхательной недостаточности. Кроме того, на снимке у заядлого курильщика можно обнаружить бронхит, туберкулёз, а также опухоли лёгких.
Присутствие инородного тела в лёгких
Затемнения в лёгких могут быть вызваны наличием в ткани лёгких инородного предмета. Это чаще всего можно обнаружить у детей, которые бывают неосторожны с мелкими предметами. К сожалению, не всегда можно обнаружить на рентгене предмет в бронхах или лёгких из-за отёка органа, поэтому предпочтительнее рентгена эндоскопия.
Выше перечислены основные причины появления на лёгких тёмных пятен при рентгене. Очень важно знать, что затемнения на самом снимке выглядят как самые светлые участки, т.к. это негативы. И наоборот – просветления в этом парном органе на негативах буду отражаться самыми тёмными фрагментами. Разобраться в симптомах болезни и поставить верный диагноз, основываясь только на снимках, невозможно. Заниматься этим должен квалифицированный рентгенолог.
Пневмония – инфекционная патология в легких, вызванная бактериями, вирусами или (реже) грибами. Существует более 100 типов микробов, которые, как известно, вызывают пневмонию. В статье можно посмотреть фото, как выглядит пневмония на снимке рентгена.
Причины
Пневмонию вызывают микробы. Бактерии, наиболее вероятно приводящие к пневмонии, включают:
- Пневмококки.
- Микоплазму.
- Гемофильный грипп.
- Хламидии.
- Легионеллы.
Люди, которые живут или работают в переполненных местах, таких как школы, приюты и тюрьмы, скорее всего, получат микоплазменную пневмонию.
Вирусы, которые вызывают пневмонию:
- Вирус гриппа.
- Вирус парагриппа.
- Метапневмовирус человека.
- Респираторный синцитиальный вирус (RSV).
- Аденовирус.
- Тяжелый острый респираторный синдром (SARS).
- Вирус герпеса.
Грибки, вызывающие пневмонию:
- Histoplasma capsulatum (найденный в долинах реки Огайо и Миссисипи);
- Кокцидиоидомикоз (обнаружен в южной Калифорнии и юго-западных пустынных районах);
- Cryptococcus.
Некоторые бактерии, которые вызывают госпитальную пневмонию, включают:
- грамотрицательные бактерии, такие как Escherichia coli, Klebsiella pneumoniae, Enterobacter species, Pseudomonas aeruginosa и Acinetobacter species;
- Staphylococcus aureus, включая устойчивый к метициллину S. aureus (MRSA);
- стрептококки.
Симптомы
Признаком пневмонии считается кашель, сухой либо с выделением мокроты. Мокрота, отделяемая при кашле, – «ржавая». Кровавая с гноем относится к пневмонии, инициированной палочкой Фридлендера или к той, что спровоцирована стрептококком. Если у мокроты возникает малоприятный, гнилостный аромат, это свидетельствует о том, что внутри присутствуют воспаленные источники нагноения. Если есть кровохарканье, это говорит о пневмонии, порожденной грибками. Если оно сопровождается интенсивной болью в боку, это свидетельствует об инфаркте легкого.
Признаки
Боль в области грудной клетки также оказывается показателем пневмонии, бывает как неглубокой, так и глубокой. Первая возникает в случае воспаления мышц между ребер, подобная боль себя выражает особенно при глубоком вдохе. Вторая – это доказательство поражения либо растяжения оболочки легкого, а также свидетельствует о воспалении. Боль делается сильнее при глубоких вдохах или же кашле.
Если источник воспалительного процесса пребывает в нижних отделах легких и в воспалительный процесс еще втянуты диафрагмальные плевры, то болевые ощущения будут локализоваться в области живота, при этом достаточно остро. Чувство недостатка воздуха, т. е. одышка, – очевидный критерий пневмонии, более сильно она себя выражает при воспалительных процессах, что формируются в случае хронических болезней, к примеру, воспаления бронхолегочной системы либо сердечной недостаточности. Также для пневмонии характерны такие признаки, как озноб, высокая температура вплоть до 40 °С, общее болезненное состояние, сильная слабость, снижение аппетита, рвота, тошнота. У болезненных людей или же у людей престарелого возраста бывают и расстройства сознания.
Диагностика
Флюорографическое исследование – основной метод диагностики пневмонии. Проводится врачом-рентгенологом или рентген-лаборантом с дальнейшей расшифровкой. Алгоритм проведения флюорографии:
- Раздеться по пояс, снять с шеи украшения.
- Исследование проводят в вертикальном положении.
- Проводится снимок в прямой проекции (пациент прижимается грудью к датчику).
- Далее в боковой проекции (больной заводит руку за голову и прижимается к прибору боковой стороной грудной клетки).
- Снимки проводятся при спокойном дыхании и на высоте вдоха, с задержкой дыхания.
После проведения снимков их необходимо проявить. В некоторых кабинетах используется цифровой формат флюорографии. Когда снимки проявлены, врач приступает к их расшифровке.
Показания и противопоказания
Флюорографию нужно делать тогда, когда присутствуют симптомы болезни. Если у человека выявлено крупозное или очаговое заболевание, вторичные рентгенограммы назначаются для наблюдения перемен «плохих» теней при излечении.
Специфическое показание – подозрение на островоспалительный процесс легочной ткани или же другую тяжелую болезнь. Чтобы сделать снимок, необходимо учитывать вред и полезность диагностики. Только в случае, если толк от рентгеновского облучения превысит вред, выполняют рентгенографию.
Противопоказания к обследованию не выделены. Единым ограничением считается беременность. Но если у беременных подозревается воспаление легких, рентгеноскопия легких проводится. При этом усилия врачей направлены на то, чтобы максимально обезопасить организм будущей мамы от облучения.
Читайте также:
Ранняя стадия пневмонии на рентгене
Очаговая пневмония
Чтобы диагностировать, нужно посмотреть фото, как выглядит на снимке рентгена пневмония очаговой формы. Также нужно быть ознакомленным с расшифровкой:
- наличие активного инфильтрата негомогенной структуры;
- «подозрительная» тень имеет нечеткое очертание;
- при воспалении плевры прослеживается линейная тяжистость, жидкость в реберно-диафрагмальном синусе на боку патологии;
- на фоне разрешения процесса место инфильтрации делается неоднородным за счет зон разрушения и заживления легких.
Крупозная пневмония
Как выглядит пневмония на снимке (рентгеновском), если она крупозного вида:
- субтотальные, тотальные затемнения с одного или же двух краев;
- смещение средостения в сторону предельного поражения;
- изменение физического поражения куполов диафрагмы;
- закупорка реберно-диафрагмальных синусов жидкостью;
- полное деформирование легочного рисунка;
- тяжистость корней легких.
Выявить особенности крупозного воспаления возможно на рентгенограмме. Однако при патологии медицинским стандартом диагностики считается рентгенография в двух проекциях (прямая и боковая). Такого рода список процедур совершают для оценки численности пораженных частей легких и исследования состояния средостения.
Расшифровка пятен
Чтобы расшифровать фото, нужно знать, как выглядит снимок легких при пневмонии. Затемнения на снимке встречаются не только лишь отдельные, но и многочисленные (диссеминированные). Расшифровка рентгеноскопии при воспалительных видоизменениях легочной ткани демонстрирует, что рентгеновский синдром смотрится при болезни типично. Он имеет медицинское наименование – ограниченное либо распространенное затемнение.
Если присутствует болезнь в легких, то на снимке:
- инфильтративный источник в любой части органа;
- тяжистость корней;
- деформация очертания;
- завуалированность реберно-диафрагмального синуса.
При оценивании необходимо понимать, что фотография выходит плоской. Содержит суммационное отображение абсолютно всех анатомических структур. Картинка выглядит негативно, так как рентгеновская пленка – это фотонегатив. На фоне инфильтративных источников наблюдаются просветления, которые представляют собою воздушные зоны легочной ткани.
Флюрография у детей
Родителей часто интересует, как выглядит пневмония на снимке у ребенка. Флюорография ребенка смотрится по-другому, в отличие от взрослых. По причине реактивности иммунной системы каждое самое небольшое скопление у детей может стремительно вызвать крупозное воспаление. Важно осуществить своевременную диагностику заболевания и обнаружить очаговое воспаление.
Какие признаки воспаления у ребенка:
- Очаговые затемнения в нижней доле легких.
- Инфильтраты не выше 1-2 миллиметров в диаметре.
- Высокая густота пятен обнаруживается при запущенном воспалении.
- Уплотнение и рост лимфатических узлов средостения с трудом наблюдается на фото.
- После пропадания болезненных теней деформирование рисунка сохраняется еще на протяжении 7 суток.
- При плохом процессе мелкоочаговое воспаление легких переходит в псевдолобарное.
- Большая насыщенность места поражения закрывает структуру корня и легочного рисунка.
У ребенка зачастую прослеживается припухлость легочной ткани, что усложняет диагностические критерии.Неадекватность рентгенологической и медицинской картины заболевания можно объяснить также небольшим размером легочной ткани и огромным вхождением элементов легочного рисунка на единицу площади.
Лечение пневмонии
Лечением и профилактикой форм пневмонии, при которой болезнь протекает легко (т. е. неосложненная форма заболевания), занимаются широкопрофильные врачи, это терапевты, педиатры или семейные врачи. Мы уже разобрались, как выглядит пневмония на снимке флюорографии. Диагностировав ее, врачи приступают к лечению.
При легкой форме пневмонии пациенты (взрослые) проходят лечение в стационаре. Больному назначается ряд комплексных мер. В них входит прием различных препаратов для расширения бронхов, придется принимать антибиотики и противовирусные препараты, чтобы побороть возбудителей пневмонии.
Физиотерапия, лечебная физкультура, специальная диета (она будет описана ниже), обильное питье также находятся в стационарном курсе лечения. Если легкая форма заболевания ничем не осложнена, возможно лечение на дому под наблюдением и строгим контролем терапевта, который будет посещать больного.
При тяжелой и среднетяжелой форме заболевания пациенту необходима госпитализация в терапевтическое отделение. Если у пациента обнаружен хотя бы один из приведенных ниже случаев, рекомендуется проходить стационарное лечение:
- Пациенту более 60 лет.
- Имеет хронические заболевания.
- Антибиотики не помогают или помогают, но не эффективно.
- Беременность.
Прием антибиотиков рекомендован пациентам только в том случае, если хотя бы один из методов диагностики подтвердил диагноз больного. Важно помнить, что не стоит предаваться самолечению. Если вдруг обнаружили заболевание, стоит незамедлительно обратиться за медицинской помощью. Болезнь дает осложнения, что потом может сильно затруднить процесс выздоровления.
Чтобы не усугубить болезнь, больному важно соблюдать следующие правила:
- Постельный режим.
- Полноценное питание, богатое витаминами.
- Проветривать (в комнате больного всегда должен быть свежий воздух) и поддерживать температуру воздуха в +18 °С.
- При уборке дома, а также комнаты больного следует исключить средства, содержащие в составе хлор.
По рекомендациям врачей, рацион питания больного состоит из следующих продуктов:
- Нежирные мясо и рыба, бульон из курицы, куриное мясо.
- Кисломолочные продукты, а также молоко.
- Свежие овощи и фрукты, сухофрукты.
- Клюквенный морс.
- Соки из фруктов, овощи.
- Крупы, макаронные изделия.
- Чай и отвар из шиповника.
- Свежий мед, варенье.
Внимание! Чтобы выздороветь, больной обязан исключить из рациона питания жирные, жареные, острые, копченые блюда, пациенту категорически запрещается употреблять алкоголь, также запрещены маринады, сладости из магазина, разные консервы, канцерогенные продукты.
Таким образом, становится понятным, как выглядит пневмония на снимке, фото представлено в статье, а также рассмотрены причины и способы лечения патологии.






