Пневмония, или воспаление легких, — патология легочной ткани, в основном поражающая отделы, где происходит непосредственный кислородный обмен между воздухом и кровью. Именно в этом и состоит главная опасность недуга: заполненные воспалительными выделениями альвеолы не в состоянии выполнять свои функции, и организм перестает получать кислород в должном объеме. Если болезнь захватывает большую часть легких, развивается острая дыхательная недостаточность.
Каждый год в России с пневмонией сталкиваются около 1,5 млн человек[1]. Самая высокая заболеваемость — среди детей младше года (30–50 случаев на 1000 жителей ежегодно) и у взрослых старше 70 лет (50 случаев на 1000 жителей)[2]. Неблагоприятные исходы составляют около 7% случаев[3], но среди возрастных больных вероятность летального исхода увеличивается до 30%. Для справки: до изобретения антибиотиков от пневмонии умирало до 83% пациентов.
Причины пневмонии
Причина любой пневмонии — инфекции. Чаще всего возбудителем болезни становятся бактерии: пневмококк, гемофильная палочка, патогенные стафилококки и стрептококки. Во время эпидемии гриппа на первый план выходят вирусные пневмонии, отличающиеся молниеносным течением. У людей с резко сниженным иммунитетом возможны грибковые пневмонии или воспаления легких, вызванные простейшими, например микоплазмами. Приблизительно в 30% случаев пневмонии имеют смешанную природу, то есть вызваны комплексом из нескольких бактерий или ассоциацией вирусных и бактериальных агентов[4].
Но кроме самой инфекции важны предрасполагающие факторы. Повышает риск заболеваний:
- Острая респираторная вирусная инфекция. Чаще всего такой инфекцией становится грипп.
- Длительное переохлаждение. Оно вызывает нарушения микроциркуляции и угнетает работу реснитчатого эпителия, который очищает бронхи от патогенных микроорганизмов.
- Стресс, гиповитаминозы и переутомление.
- Курение.
Кроме того, повышается вероятность развития пневмонии у пожилых людей и людей с сопутствующими хроническими заболеваниями, а также с ожирением. Такая пневмония может быть первичной вирусной (развиваться после гриппа) или вторичной бактериальной — когда в ослабленный организм проникают патогенные бактерии (см. табл. 1).
Таблица 1.Различия основных разновидностей пневмонии
|
Признак |
Вирусная пневмония |
Бактериальная пневмония |
|---|---|---|
|
Начало |
Острое: в ближайшие 24–72 часа с момента появления первых симптомов гриппа |
Через 2 недели после первых симптомов |
|
Проявления интоксикации |
Температура выше 38°С, головная боль, боль в мышцах с самого начала болезни |
После первой волны симптомов, вызванных вирусом, наступает облегчение, потом снова резко поднимается температура, возникает головная боль, усиливается кашель |
|
Клинические симптомы |
С первых часов — мучительный сухой кашель, мокрота с прожилками крови, боль в груди, одышка |
Сначала состояние стабилизируется, затем начинается вторая волна симптомов: кашель становится еще интенсивнее, появляется гнойная мокрота |
Чем можно лечить пневмонию
Пневмония — смертельно опасное заболевание. Поэтому ни в коем случае нельзя заниматься диагностикой и лечением по советам из интернета: при малейшем подозрении на воспаление легких нужно вызывать врача. Если доктор настаивает на госпитализации, не стоит рисковать, отказываясь от нее. Пневмония опасна нарушением работы жизненно важных органов из-за сильной интоксикации, а также дыхательной недостаточностью. В такой ситуации может потребоваться даже экстренная искусственная вентиляция легких.
Говоря о препаратах для лечения пневмонии, в первую очередь вспоминают антибиотики. Действительно, они незаменимы, если воспаление легких имеет бактериальную природу. В этом случае чаще всего назначают препараты на основе комбинации амоксициллина с клавулановой кислотой. При их неэффективности — цефалоспорины, макролиды или так называемые респираторные хинолоны.
Эффективность антибиотикотерапии оценивают через 48–72 часа после назначения. Если за этот период температура снижается, уменьшается интенсивность кашля и выраженность интоксикации (головной боли, слабости, ломоты в мышцах и суставах) — курс лечения продолжают. Если состояние пациента не улучшается, средство меняют на препарат из другой группы.
Рекомендованный курс антибиотиков нужно пройти до конца, не бросая лечение даже при положительной динамике. Иначе высок риск развития антибиотикорезистентности и рецидива болезни.
При вирусной, (гриппозной) пневмонии антибиотики неэффективны и потому не назначаются. В подобной ситуации рекомендуются противовирусные средства, такие как осельтамивир и занамивир. Кроме них, в составе комплексной терапии врач может назначить умифеновир. Эффективность противовирусных препаратов тем выше, чем раньше они назначены. В оптимальном варианте от первых симптомов до начала лечения противовирусными должно пройти 48–76 часов.
Если у врача есть подозрение на смешанную природу воспаления легких, он может назначить и антибактериальные, и противовирусные средства.
В качестве вспомогательной терапии могут быть рекомендованы иммуномодуляторы (иммуноглобулины) и витамины.
Физиотерапия при пневмонии назначается только после нормализации температуры, чтобы ускорить выведение из легких мокроты. Для этого нередко принимают и фитопрепараты, например корень солодки или комплексные грудные сборы.
Профилактика пневмонии
До сих пор самым эффективным методом профилактики воспаления легких остается вакцинация. Существуют вакцины как от самого типичного возбудителя — пневмококка, так и противогриппозные вакцины, предупреждающие развитие вирусной пневмонии.
Вакцинация от пневмококка показана людям из групп повышенного риска развития бактериальной пневмонии, а также тем, для кого высока вероятность развития тяжелых форм болезни. Сюда относятся:
- лица старше 65 лет;
- страдающие от хронической обструктивной патологии легких (хронический бронхит, бронхиальная астма);
- пациенты с хронической сердечно-сосудистой недостаточностью, кардиомиопатиями, ИБС;
- страдающие хроническими заболеваниями печени, в том числе циррозом;
- пациенты с ВИЧ;
- пациенты с кохлеарными имплантатами;
- люди, находящиеся в домах престарелых и инвалидов.
Вакцинация от гриппа рекомендуется людям с повышенным риском осложнений этого заболевания:
- беременным;
- страдающим ожирением при ИМТ>40;
- людям старше 65 лет;
- страдающим хроническими заболеваниями сердечно-сосудистой и бронхолегочной систем, почек, печени;
- пациентам с сахарным диабетом;
- лицам с ВИЧ;
- медицинским работникам.
Если есть показания, обе вакцины можно ввести одномоментно: это не повышает риск осложнений.
К сожалению, возможность провести вакцинацию есть не всегда. В таких ситуациях нужно обратить внимание на медикаментозную профилактику гриппа. Ведь возбудитель этой болезни может как сам по себе вызывать пневмонию, так и способствовать развитию бактериальной инфекции. Для профилактики гриппа применяют противовирусные средства:
- занамивир — детям от 5 лет и взрослым;
- осельтамивир — детям старше 12 лет и взрослым;
- умифеновир — в зависимости от формы выпуска. Арбидол® можно назвать одним из наиболее известных лекарственных средств на основе этого действующего вещества. В виде порошка для приготовления суспензий его можно использовать с 2 лет, таблетки — с 3 лет, капсулы — с 6 лет.
Читайте также:
При возникновении пневмонии у лиц пожилого возраста редко
Использовать эти препараты можно как для профилактики во время эпидемии при отсутствии больных в ближайшем окружении, так и для предупреждения заражения после непосредственного контакта с больным.
Пневмония — опасное заболевание, имеющее серьезные осложнения и способное привести к летальному исходу. При первых же признаках недомогания: высокой температуре, обильной мокроте с гноем или прожилками крови — нужно как можно скорее обратиться к врачу. Но любую болезнь легче предупредить, чем лечить. Поэтому не стоит переносить простуду на ногах. Это повышает вероятность развития осложнений, в том числе и пневмонии. По возможности следует сделать прививку от гриппа в начале осени — до начала эпидемического сезона. А уже в период эпидемии принимать в профилактических целях определенные противовирусные средства.
Пневмония представляет собой воспалительное заболевание легочной ткани, при котором происходит образование очага воспаление, появляется мокрота и в очаге размножаются патогенные микроорганизмы.
Болезнь может протекать в скрытой форме или же проявляться сразу в виде высокой температуры, сильного кашля и других симптомов. Лечение патологии у взрослых предполагает несколько схем, а также использование различных препаратов.
Виды заболевания
Специалисты классифицируют заболевание в зависимости от тяжести его течения, механизма развития, типа возбудителя. Помимо этого, существует классификация, разделяющая болезнь в зависимости от площади поражения легочной ткани.
В зависимости от степени поражения тканей легких различают 3 разновидности патологии:
| Разновидность | Особенности |
| Односторонняя | Этот вид считается наиболее легкой формой воспаления. Поражается только небольшой участок правого или левого легкого. Обычно очаг имеет небольшой размер и не провоцирует тяжелые симптомы. |
| Двусторонняя | При этом в процесс вовлекается правое и левое легкое. В них образуются очаги разного размера, которые осложняют течение патологии. Обычно болезнь протекает тяжело и может провоцировать осложнения. |
| Тотальная | Наиболее тяжелая форма пневмонии, когда в процесс вовлекается не только легочная ткань, но и прикорневые зоны легких. При этом состояние больного критичное, в большинстве случаев при несвоевременном лечении повышается риск развития осложнений. |
В зависимости от тяжести течения патологического процесса выделяют пневмонию легкой, средней и тяжелой степени. Последняя считается наиболее опасной, вторая встречается довольно часто, а первая нередко протекает в скрытой форме, что также может провоцировать неприятные последствия.
Если учесть характер течения болезни и ее начало, можно выделить острую и хроническую форму.
Острая возникает первично и сразу провоцирует выраженные симптомы.
Хроническая протекает с менее выраженными признаками, от 2 до 4 раз в год у пациента наблюдается рецидив. В некоторых случаях рецидивы протекают тяжело.
В зависимости от механизма развития патологии также выделяют несколько форм воспаления.
Первичные пневмонии становятся самостоятельным заболеванием, вторичные – следствие другого воспалительного процесса.
Посттравматические и постинфарктные – результат застоя мокроты в легких при длительном пребывании в горизонтальном положении и нарушении оттока крови в малом кругу кровообращения.
Помимо этого, встречаются постоперационные виды воспаления легочной ткани, механизм развития которых аналогичен посттравматическим. В зависимости от вида возбудителя выделяют вирусные и бактериальные пневмонии, а также грибковые, протозойные и смешанные. Второй тип считается наиболее распространенным и хорошо поддается лечению при своевременном его начале.
Эпидемиологи также делят заболевание на несколько разновидностей в зависимости от предрасполагающего фактора:
- О внегоспитальном воспалении говорят в случае, когда пациенту сразу после обращения к врачу диагностировали пневмонию.
- Внутригоспитальная форма развивается при нахождении пациента в стационаре. Обычно он проходит лечение какого-либо другого органа, а пневмония является осложнением. В большинстве случаев внутригоспитальная форма лечится очень тяжело и длительно, поскольку провоцируется микроорганизмами, устойчивыми к антибиотикам.
- Иммунодефицитная разновидность возникает на фоне ослабления иммунитета.
- Атипичная пневмония представляет опасность, поскольку протекает скрыто или сопровождается нетипичными симптомами.
В зависимости от вида заболевания отличается клиническая картина патологии. Помимо этого, выделяют обширную пневмонию, очаговую и крупозную. Каждый вид сопровождается разными проявлениями.
Стадии и степени
Пневмония (лечение у взрослых предполагает использование средств из разных групп) независимо от формы и разновидности протекает в несколько стадий. Отличием считается симптоматика, которая при различных типах болезни может присутствовать или отсутствовать, проявляться с разной степенью интенсивности.
Начальная или легкая стадия сопровождается отсутствием симптомов или невыраженным их проявлением. Пациент говорит о слабости и незначительном повышении температуры тела, но считает, что это проявления простуды.
На средней или прогрессирующей стадии появляются более выраженные признаки. Температура тела повышается значительно, появляется кашель и другие выраженные признаки пневмонии. Тяжелая или запущенная стадия характеризуется острыми проявлениями, лихорадкой, болью во всем теле. Появляются и другие симптомы, характерные для воспаления.
Важно помнить, что при тяжелой форме патологического процесса одна стадия переходит в другую гораздо быстрее, чем при скрытом течении.
Именно поэтому врачи почти не могут различить этот переход при остром начале заболевания. Однако при каждой форме эти стадии присутствуют в клинической картине.
Симптомы
Заболевание характеризуется множеством выраженных симптомов. Внешне болезнь проявляется только на прогрессирующей и запущенной стадии. Кожа пациента становится бледной и прохладной на ощупь, черты лица немного заостряются. При длительном течении патологии больной теряет вес, кожа становится влажной или же сухой.
Другие проявления пневмонии:
- Слабость и боль в мышцах, суставах.
- Сонливость и снижение работоспособности.
- Нарушение сна, проявляющееся в беспокойстве, ночных кошмарах, потливости в ночное время.
- Лихорадка или незначительное повышение температуры тела. Второе наблюдается при хроническом течении воспалительного процесса.
- Одышка при физических нагрузках. В запущенных случаях симптом проявляется даже в покое, особенно при нервном напряжении.
- Кашель разной интенсивности, что зависит от степени поражения легочной ткани. При этом выделяется небольшое количество мокроты на начальной стадии. По мере прогрессирования состояния количество мокроты увеличивается, а интенсивность кашля усиливается. Мокрота имеет желтоватый или зеленоватый оттенок. Однако при крупозной пневмонии характерным симптомом считается мокрота «ржавого» цвета.
- Ухудшение аппетита, вплоть до полного его отсутствия.
- Сильная жажда и сухость слизистых оболочек полости рта.
- Боль в груди, усиливающаяся при глубоком вдохе и выдохе.
- Тахикардия, аритмия. Подобные симптомы появляются у пациентов зрелого возраста, в анамнезе которых сердечно-сосудистые патологии.
- Головная боль и головокружение, усиливающееся при физических нагрузках или волнении.
Читайте также:
Можно ли при пневмонии дышать небулайзером при
У некоторых пациентов появляются признаки респираторного заболевания в виде насморка, боли в горле, слезотечения.
Причины появления
Пневмония (лечение у взрослых предполагает предварительное обследование) может быть спровоцирована различными факторами.
К общим причинам относят следующие:
- Частые респираторные и вирусные патологии, которые осложняются пневмонией.
- Отрицательное воздействие факторов внешней среды на ткани легких.
- Ослабление защитных сил организма.
- Регулярное переохлаждение.
- Отсутствие своевременного лечения простудных болезней.
- Аллергическая реакция на пыльцу, шерсть животных и другие вещества.
Первичная пневмония вызывается проникновением бактерий в легкие человека, вторичная – в результате хронического бронхита и других патологий дыхательной системы. Иммунодефицитная разновидность становится результатом ослабления иммунитета в результате проникновения в организм вируса СПИДа.
Streptococcus pneumoniae
Госпитальная пневмония развивается во время пребывания пациента в стационаре. Бактериальная форма – следствие проникновения в легкие микроорганизмов. В 30% всех случаев воспаление провоцируют стрептококки. Помимо этого, болезнь может быть спровоцирована стафилококками, гонококками, хламидиями. В 40% случаев возбудитель заболевания не удается установить.
Посттравматическая и постинфарктная пневмония – результат застоя мокроты в легких и крови в малом кругу кровообращения. Это происходит, когда больной длительное время находится в горизонтальном положении и не способен полноценно откашливать мокроту.
Атипичная форма заболевания считается наиболее сложной в диагностировании, поскольку провоцируется различными бактериями, а также другими факторами.
Диагностика
Для диагностирования заболевания пациенту необходимо пройти обследование, которое включает несколько эффективных методов.
Клиническое и биохимическое исследование крови в государственных клиниках проводят бесплатно, в частной цена составляет примерно 300-400 руб. Метод относится к стандартным, помогает оценить общее состояние больного, а также обнаружить признаки воспаления на ранней стадии. Например, эозинофильная пневмония выявляется путем развернутого клинического анализа крови.
Общий осмотр и опрос больного позволяет выявить предположительную причину патологии. Специалист не только выслушивает жалобы пациента, но и проводит аускультацию, то есть прослушивает легкие для выявления хрипов или других нарушений.
Обычно дыхание человека затруднено, возможно отсутствие хрипов или же выраженное их проявление, что зависит от формы и стадии болезни. Метод эффективен, обычно не требует оплаты и проводится в любом учреждении.
Анализ мокроты – один из наиболее эффективных методов, который проводится в государственных клиниках и не требует оплаты.
Пациент собирает мокроту в стерильный контейнер, правила сбора объясняет врач. После этого материал направляется в лабораторию для диагностики. Результат помогает выявить возбудитель заболевания.
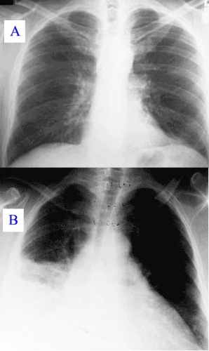
Рентгенография легких – наиболее эффективный метод диагностики, стоимость которого не превышает 300 руб.
Проводится в любом учреждении и помогает выявить локализацию очага поражения. Благодаря снимкам специалист может оценить степень поражения тканей.
Благодаря комплексной диагностике врач выявляет стадию и форму болезни, что помогает назначить наиболее адекватную терапию.
Когда необходимо обратиться к врачу
Пневмония является довольно опасным заболеванием. При появлении первых ее признаков требуется обратиться к специалисту. Лечение заболевания у взрослых проводит пульмонолог. Однако в небольших городах узкий специалист не всегда имеется, поэтому терапией занимается терапевт.
Даже если обследование показывает начальную стадию болезни не стоит откладывать визит к врачу.
Профилактика
Для предупреждения патологии рекомендовано укреплять иммунную систему с помощью правильного питания и соблюдения принципов здорового образа жизни. Необходимо заниматься спортом, следить за массой тела и отказаться от вредных привычек, особенно сигарет.
Помимо этого, следует своевременно лечить респираторные заболевания, а также бронхит. На это стоит обратить особое внимание пациентам, которые страдают хронической формой бронхита. Дополнительно рекомендуется при появлении сильного кашля, сохраняющегося более 7 дней, посетить врача, который проведет аускультацию легких.
Пациентам, которые вынуждены длительно находиться в горизонтальном положении после операции или травмы, необходим особый уход. Его следует регулярно и осторожно приподнимать, позволяя полноценно кашлять, чтобы мокрота отходила. При соблюдении рекомендаций вероятность развития воспаления значительно снижается.
Методы лечения
Специалисты используют для терапии пневмонии несколько методов. Лекарства, народные средства и другие процедуры помогают быстро устранить симптомы болезни.
Схема лечения
Независимо от формы заболевания специалисты используют 3 схемы антибиотикотерапии. Выбор зависит от возраста пациента. Отличается только дозировка препаратов и длительность их использования.
Наиболее распространенные схемы:
- Пациентам от 20 до 40 лет назначают Амоксиклав в сочетании с Доксициклином.
- Больным старше 40 лет – Кларитромицин и Цефтриаксон, а также Сумамед.
- Пациенты старше 60 лет получают только Цефтриаксон, поскольку другие антибиотики являются сильнодействующими.
Помимо этого, каждая схема включает жаропонижающие медикаменты, муколитические, противовоспалительные. Дополнительно в лечение включают пробиотики, а также медикаменты для очищения крови и восстановления водного баланса в организме.
Лекарственные препараты
Пневмония (лечение у взрослых включает сильнодействующие антибиотики) лечится с помощью применения нескольких средств из разных групп. При тяжелом течении используют средства для парентерального введения, при легком и среднем –пероральные средства.
Наиболее часто назначают следующие лекарства:
- Азитрал – антибиотик из группы макролидов, отличающийся высокой эффективностью и относительной безопасностью. При легком течении пациенту назначают по 1 таблетке (500 мг) 2 раза в сутки на протяжении 5-7 дней. При тяжелом – внутривенно вводится физиологический раствор в количестве 200 мл, в который добавляют 1 флакон (1 г) лекарства. Процедуру проводят 2 раза в сутки на протяжении 7-10 дней. Препарат быстро уничтожает бактерии разного вида и снимает воспаление. Цена лекарства – от 100 до 200 руб. в зависимости от формы и дозировки.
- Цефтриаксон – эффективный антибиотик, позволяющий быстро уничтожить бактерии в легочной ткани. Используется в форме порошка, из которого готовят раствор для внутримышечного и внутривенного введения. В сутки больной получает от 2 до 4 г средства, длительность курса – 10 дней. Стоимость 1 флакона – от 20 руб.
- Лазолван – муколитическое средство, которое стимулирует выработку и отхождение мокроты. Назначается в форме таблеток и раствора для внутривенного введения. Таблетки стоит принимать по 2 штуки 3 раза в сутки на протяжении 10 дней. Раствор вводят 1 раз в сутки внутривенно от 2 до 4 мл. Длительность курса – 10 дней. Средство считается очень эффективным. Цена лекарства – от 60 до 350 руб.
- Нимесил – порошок для приготовления раствора для приема внутрь. На 1 прием берется 1 пакетик, который растворяют в 100 мл теплой воды. Принимать разрешается от 2 до 4 раз в сутки при сильном жаре, боли и воспалении. Курс длится 5 дней. Средство очень эффективное, помогает быстро снизить температуру тела, устранить боль и улучшить общее состояние. Цена средства – от 40 руб. за 1 пакетик.
- Реосорбилакт – раствор для очищения крови от токсинов, который в избытке присутствуют в системном кровотоке больного. Отличается эффективностью и мягким воздействием на организм. В сутки пациенту вводят 200-400 мл раствора внутривенно с помощью капельницы. Курс длится от 5 до 10 дней. Цена лекарства – от 120 руб. за флакон.
- Раствор Рингера – средство на основе солей, которое восполняет дефицит жидкости и помогает предотвратить обезвоживание. Вводится пациенту внутривенно по 200-400 мл в сутки на протяжении 5 дней. Препарат эффективен и безопасен, уменьшает проявления интоксикации в виде головной боли, тошноты и других симптомов. Цена лекарства – от 80 руб. за флакон.
- Алоэ – препарат в форме раствора для внутримышечного введения, отличается высокой эффективностью, стимулирует рассасывание очагов поражения в легочной ткани. Пациенту вводят от 1 до 2 мл раствора внутримышечно ежедневно, курс длится 10 дней. Цена лекарства – от 100 руб. за упаковку.
- Линекс – препарат для нормализации микрофлоры кишечника. Капсулы помогают предотвратить дисбактериоз, спровоцированный лечением антибиотиками, считаются очень эффективными и безопасными. В сутки больной принимает по 1 капсуле. Длительность курса – 7 дней. Цена лекарства – 300 руб. за упаковку.
Читайте также:
Как защитить себя от вируса пневмонии
В период восстановления пациенту назначают витаминные комплексы, которые подбираются индивидуально. Обычно терапия длится не более 2 недель, но в запущенных случаях понадобится до 4 недель для полного выздоровления.
Народные методы
Пневмония (лечение у взрослых может включать рецепты народной медицины) иногда лечится с помощью нетрадиционных методов. Домашние рецепты не могут стать единственным способом терапии, но выступает в качестве вспомогательного.
- Отвар чабреца и мать-и-мачехи помогает стимулировать выработку и отхождение мокроты из легких. На 1 л воды понадобится по 5 г каждого ингредиента в сухом виде. Варить состав следует 3 мин, настаивать – 30 мин. После этого профильтрованное средство принимать по 200 мл 3 раза в сутки. Длительность курса – 5-7 дней.
- Отвар липы – природное жаропонижающее и потогонное средство. Получить его можно путем кипячения 5 г сухой травы в 500 мл воды на протяжении 2 мин. Готовое и профильтрованное средство следует принимать перед сном по 300 мл. Курс длится 5 дней.
- Сок алоэ стоит принимать на протяжении 7 дней по 10 мл в сутки. Приготовить его можно путем измельчения свежих мясистых листьев. После этого следует отжать их через марлю, полученный сок хранить в холодильнике не более 3 дней.
Прочие методы
Для ускорения периода восстановления легких используют массаж, иглоукалывание и специальную технику дыхания.
Массаж должен проводиться специалистом. Врач использует методику, которая позволяет ускорить отхождение остаточной мокроты из легких. Сеанс длится 20 мин, периодичность проведения – 1 раз в 2 дня, количество процедур – от 10 до 15.
Иглоукалывание – эффективный альтернативный метод лечения, при котором в определенные точки на коже пациента вводятся иглы и оставляются там на некоторое время. Сеанс длится от 30 до 40 мин, проводится 1 раз в 3 дня на протяжении месяца.
Специальную технику дыхания пациент может применять самостоятельно в домашних условиях. Она заключается в полном освобождении легких от воздуха с последующим резким их заполнением. После этого необходимо снова резко выдохнуть и на 3-5 сек задержать дыхание. Лучше выполнять упражнение сразу после пробуждения, сделать от 3 до 10 подходов. Продолжительность курса – 2-4 недели.
Возможные осложнения
При отсутствии лечения почти всегда развиваются осложнения.
Наиболее частые из них:
- Переход болезни в хроническую форму.
- Распространение воспаления на второе легкое при поражении одного их них.
- Заражение крови в результате проникновения бактерий.
- Дыхательная недостаточность.
- Некроз ткани легкого.
- Бронхиальная астма.
- Образование гнойного очага в легком, то есть абсцесс.
- Поражение эндокарда при распространении бактерий.
- Экссудативный плеврит.
- Эмфизема легких.
Наиболее тяжелое осложнение – летальный исход. Подобное довольно часто наблюдается при крупозной пневмонии.
Пневмония – опасное заболевание, которое может провоцировать тяжелые осложнения. Лечение этой патологии у взрослых проводится после предварительного обследования и выявления формы, степени запущенности состояния, предположительной причины.
Оформление статьи: Владимир Великий
Видео о пневмонии
Откуда берется пневмония:








