Диагноз “подагра коленного сустава” подразумевает под собой нарушение обмена веществ в организме человека, которое приводит к отложению солей мочевой кислоты в суставных структурах. Заболевание чаще встречается у мужчин, чем у женщин. Это объясняется тем, что его развитие провоцирует влияние мужских половых гормонов на мочевую кислоту.
Особенности подагры коленного сустава
Подагра коленного сустава чаще встречается у мужчин, чем у женщин
Подагрой коленного сустава принято называть воспалительный процесс, вызванный скоплением большого количества мочевой кислоты. Патологии отведено свое место в международной классификации болезней. Ее можно отыскать под кодом М10.
Мочевая кислота отрицательно сказывается на хрящевой ткани, сухожилиях и связках. Она ответственна за появление на них кристаллов солей, из-за которых сочленения попросту теряют прежнюю подвижность. На этом фоне начинают воспаляться околосуставные ткани. Постепенно патологический процесс распространяется на другие части скелета.
Подагрический артрит перебирается на коленный сустав, когда приобретает запущенную форму.
Если человек, зная о своем заболевании, по определенным причинам затягивает с лечением, то в его организме начинают происходить опасные процессы. В результате этого усиливается разрушение сустава, из-за чего он стремительно теряет былую подвижность.
Причины возникновения
Подагру колена вызывают разные причины, которые отрицательно сказываются на состоянии здоровья человека. К ее развитию приводят следующие неблагоприятные факторы:
- Наследственная предрасположенность.
- Постоянное употребление продуктов и напитков, которые содержат в своем составе повышенное количество пуринов (алкогольная продукция, кофе, полуфабрикаты).
- Мочекаменная болезнь.
- Почечная или сердечная недостаточность.
- Болезни крови.
- Сахарный диабет.
- Лишний вес.
- Длительное лечение диуретическими и гипотензивными медикаментами.
Соли в течение длительного времени накапливаются в области расположения коленного сустава. Поначалу этот процесс не вызывает болевого синдрома, поэтому человек не придает данному нарушению особого значения. Из-за этой особенности лишь изредка медики своевременно диагностируют подагрический артрит на ранних этапах. Чаще всего пациенты приходят к ним на прием после того, как заболевание приобретает хроническую форму.
Основные признаки подагры в коленном суставе могут проявиться на фоне переживания, сильных стрессов или перенапряжения во время выполнения спортивных упражнений. К числу неблагоприятных факторов также относятся голодание, резкая смена климатических условий и инфекционные поражения организма.
Симптомы и клиническая картина
Подагра коленного сустава развивается постепенно. Ее выдают определенные симптомы, которые обычно проявляются на более поздних стадиях течения патологического процесса. Пациентам в таком состоянии потребуется немедленное лечение.
Подагрический артрит относится к группе хронических заболеваний. Отложение соли в повышенном количестве приводит к приступу. В данном состоянии человека беспокоят характерные симптомы:
- Резкие боли, которые ощущаются в области пораженного сустава в колене. Они могут длиться достаточно долго. Не всегда болеутоляющие препараты помогают справиться с неприятным симптомом. Как правило, болевой синдром обычно наблюдается у подагриков в ночное время суток.
- Сустав становится красным и опухшим. Эти симптомы дополняются повышением температуры в том месте, где активно развивается воспалительный процесс. Она может подниматься до 40 градусов.
Именно ночью большинство больных сталкиваются с проявлениями болезни. Днем симптоматика подагры значительно стихает.
Приступ подагры может длиться от 2 до 7 суток. В особо сложных случаях симптомы болезни преследуют человека более продолжительный период времени.
Характерные для суставов заболевания, как показывают клинические исследования, у мужчин проявляются после 40 лет. Женщины сталкиваются с ними обычно после достижения 55 лет. В данном случае речь идет о людях, которые находятся в группе риска, то есть имеют предрасположенность к болезни.
Что будет без лечения
Осложнения при подагре возникают, когда отсутствует лечение
Подагра коленного сустава будет продолжать развиваться, если не начать ее лечение. Отсутствие адекватного терапевтического курса приводит к образованию пробойников. Так называют патологические полости, которые возникают в костных структурах больного сустава. Они полностью заполняются кристаллами солей. Из-за новообразований кости теряют свою природную прочность. Подобные изменения приводят в инвалидности.
Если пациенту не удалось избежать осложнений, то дальнейшее лечение подагры медикаментами не будет иметь никакого результата. Справиться с проблемой ему поможет только хирургическое вмешательство.
Диагностика
Врач не сможет поставить пациенту диагноз, пока тот не пройдет полноценное обследование в клинике. В первую очередь специалист опросит больного и проведет осмотр проблемного места. Он должен выяснить у человека то, какие именно симптомы его беспокоят.
Для подтверждения диагноза “подагрический артрит колена” потребуется проведение следующих диагностических мероприятий:
- Биохимический анализ крови. С его помощью удается определить повышенный уровень в крови мочевой кислоты, который является одним из главных признаков подагры.
- Биохимический анализ мочи.
- Анализ суставной жидкости.
- Рентген сустава.
Результаты пройденных диагностик помогут врачу безошибочно определить болезнь, которая беспокоит его пациента.
Лечение
Человеку нужно ответственно подходить к вопросу лечения подагрического артрита коленного сустава. Он должен быть готов к тому, что терапия займет немало времени. Справиться с заболеванием можно лишь путем проведения комплексного курса. Он помогает устранить симптомы приступа и предупреждает его повторное появление.
Что принимать при приступе
Колхицин купирует симптомы приступа
Подагра колена не проходит сама по себе. Ее лечение обязательно должно включать в себя прием разных видов медикаментозных препаратов. Именно они способствуют купированию острого приступа. Для их снятия рекомендуют принимать специфический препарат Колхицин. Он предназначен непосредственно для лечения подагрического артрита. Таблетки нужно пить строго по назначению врача. Традиционно их принимают каждый час в течение всего дня. В особо сложных случаях требуется внутривенное введение лекарственного состава.
Лечится подагрическое заболевание, которое нарушает подвижность коленного сустава, следующими видами препаратов:
- Урикодепрессанты (Тиопуринол, Аллопуринол). Помогают приостановить синтез мочевой кислоты в организме.
- Урикозурические средства (Пробенецид, Сульфинпиразон). Требуются для ускоренного выведения отложений солей.
- Нестероидные противовоспалительные препараты (Напроксен, Ибупрофен). Способствуют подавлению воспаления и болевого синдрома.
Необходимость приема других медикаментозных средств нужно обсуждать непосредственно со своим лечащим врачом.
Диета
От медикаментозной терапии не будет особого эффекта, если больной не начнет соблюдать специальную диету. Она является обязательной частью лечения, которое помогает избавиться от приступа суставного заболевания.
Категорически запрещается нарушать подобранную врачом диету при подагре, так как это может привести к усилению симптомов болезни.
Диета, которая предлагается подагрикам, в обязательном порядке исключает употребление таких продуктов и напитков:
- Жареная рыба.
- Жирные бульоны.
- Консервация.
- Копченые изделия.
- Бобовые культуры.
- Приправы.
- Сыры с высоким содержанием жиров.
- Шоколадные изделия.
- Мучное.
- Крепкий черный чай.
- Алкоголь.
От всего этого придется полностью отказаться, чтобы добиться улучшения общего состояния. Очень важно соблюдать правила здорового питания, чтобы избежать новых приступов.
Фрукты и овощи должны составлять основу рациона
Основу рациона подагрика должны составлять полезные продукты. К ним относятся ягоды, овощи и фрукты.
Допускается употребление сладостей, которые приготовлены из натуральных продуктов.
Между приступами можно в небольшом количестве кушать мясные изделия, которые приготовлены путем отваривания. В их составе не должны присутствовать жиры в слишком большом количестве, так как они приводят к рецидиву подагры.
Нужно проследить за тем, чтобы еда, разрешенная врачом, была максимально полезной для пищеварительной системы. На протяжении всего лечения она будет страдать из-за постоянного приема медикаментозных средств. Поэтому при помощи питания человек должен улучшать общее состояние органов желудочно-кишечного тракта.
Народная терапия
Если подагрический артрит коленного сустава имеет облегченное течение, то врач может разрешить пациенту дополнительно использовать народные методы лечения болезни. Но нужно понимать, что их ни в коем случае нельзя рассматривать как основную терапию, так как они являются малоэффективными при решении столь серьезной проблемы со здоровьем суставов.
Нетрадиционная медицина предлагает несколько способов борьбы с подагрой колена:
- Капустный лист. Его используют при наложении домашних компрессов на пораженное место. Снимая большие капустные листы с кочана, требуется осторожно прикладывать их к колену. Сверху их желательно обмотать марлей или эластичным бинтом, чтобы зафиксировать на правильном месте. Это средство поможет снять боль при подагре. Для получения положительного результата процедуру следует выполнять ежедневно. Лист желательно менять каждые 4 часа. Дополнительно можно смазывать колено натуральным медом.
- Спирт и сливочное масло. Из этих двух продуктов можно приготовить домашнюю мазь. Ингредиенты перемешивают друг с другом в одинаковой пропорции. После того как спирт испарится, остатки смеси нужно втереть в больное место. Процедуру лучше всего выполнять перед сном.
- Аспирин и йод. Необходимо тщательно перемешать истолченные 5 таблеток первого ингредиента и 10 мл второго. Полученный состав используют для приготовления обезболивающего компресса. Его оставляют на суставе на всю ночь.
- Шалфей. Из него получается целебный отвар, который пригоден для приготовления лечебных ванночек. Готовят средство из 5 л воды и 300 г растения. В отваре отпаривают колено после того, как его температура после кипячения опускается до терпимой. Парят больное место каждый день в течение целого месяца.
Арбуз полезный при подагре, так как имеет мочегонный эффект
В летний сезон можно попробовать справиться с заболеванием при помощи арбуза. Его сок помогает регулировать содержание в организме мочевой кислоты. Поэтому стоит ввести в свой рацион данный натуральный продукт. Дополнительно рекомендуют арбузной коркой растирать пораженное колено, чтобы ускорить облегчение симптомов болезни.
Прогноз
Специалисты неоднократно говорили о важности своевременного лечения подагрического артрита коленного сустава. Это единственная возможность полностью вылечить патологию. На такой результат следует рассчитывать больным, у которых отсутствуют значительные поражения суставных структур.
Чтобы добиться выздоровления, пациенту требуется пройти курс лечения, который занимает 3-6 месяцев. С тяжелым течением патологии борются несколько лет. Все это время важно в точности придерживаться предписаний врача и не заниматься самолечением.
Подагра коленного сустава — это заболевание суставов, развивающееся на фоне нарушения в организме процессов обмена. Развитие болезни вызывает в суставе отложение уратов, то есть солей мочевой кислоты. Из-за них в области поражения появляются характерные узелки и шишки (тофусы). Несвоевременное лечение способно привести к мочекаменной болезни, почечной недостаточности и другим серьезным проблемам.
Подагрический артрит коленного сустава: особенности болезни
Подагрический артрит коленного сустава — один из частых недугов этого рода, но это не делает его менее опасным, ведь несвоевременное обращение за помощью с большой вероятностью может стать причиной инвалидности в будущем. Сустав под воздействием солей разрушается. Страдают от подагры и почки, что в самых тяжелых случаях приводит и к смерти.
Известно заболевание еще с древнего времени, ведь именно оно названо «болезнью королей». Распространенность ее на данный момент в России составляет 1%. Страдают от нее чаще мужчины, женщины подвержены в меньшей степени, а у подростков или детей подагра не наблюдается.
Подагра коленного сустава: причины
Повышенная выработка мочевой кислоты становится причиной болезни. Иногда ее количество может быть в норме, а подагра все равно развивается. Такое происходит при нарушениях почечной функции, когда орган не справляется с выведением кислоты.
Существует категория пациентов, у которых вероятность заболевания выше:
- ограничивающие двигательную активность;
- имеющие пристрастие к алкоголю, жирной пище, съедающие избыточное количество белков;
- перенесшие противоопухолевую терапию;
- имеющие ожирение, проблемы с ЖКТ, диабет, гипертонию.
- перенесшие травму.
Иногда подагрический артрит коленного сустава развивается из-за сопутствующих заболеваний сустава. Реактивный синовит или бурсит колена, лечение которых длительное время не проводилось, с большой долей вероятности осложнятся артритом.
Подагра коленного сустава: симптомы
Начальные стадии практически неощутимы, однако в дальнейшем подагра коленного сустава дает яркие симптомы. В момент обострения возникает сильная боль, а так же покраснение. Зачастую она распространяются на пальцы ног, ступни, тазобедренную область. Неприятные ощущения заметно ухудшаются при переводе конечности в вертикальное положение.
Покраснение сустава при подагрическом артрите
Также появляется температура, когда обостряется подагра коленного сустава. Симптомы дополняет характерная отечность стопы, а пораженные суставы приобретают синеватые оттенки. В области самого сустава температура может достигать и 40 градусов.
Приступ длителен. Иногда подагра коленного сустава, симптомы которой описаны выше, обостряется на 3-10 дней. Функционирование конечности восстанавливается не полностью, постепенно период между рецидивами сильно сокращается.
Когда подагрический артрит коленного сустава перетекает в хроническую форму, уходит большинство симптомов, однако в пораженной области формируются заметные узлы. Лечению такая стадия болезни поддается хуже.
Диагностика
Выделяют инструментальные и лабораторные способы диагностики. Как и при реактивном артрите у детей, необходим биохимический анализ крови и анализ мочи. В данном случае они нужны для выявления избытка мочевой кислоты.
В большинстве случаев для диагностики достаточно проведения пункции, называемой артроцентезом. Взятая из сустава жидкость исследуется и назначается лечение. Для лиц, у которых колено было травмировано, подагра коленного сустава выявляется при помощи рентгена.
Подагра коленного сустава: лечение
Существует ряд вспомогательных и основных мер, если возникла подагра коленного сустава. Лечение направлено на снятие негативных симптомов, предотвращение усугубления состояния колена, а так же на избавление от воспалительного процесса. Вспомогательная терапия включает в себя учет факторов, которые подтолкнули к развитию заболевания. Так, при сахарном диабете или гипертонии подбирается соответствующее лечение, а при ожирении потребуется снижение веса.
Терапия не должна ограничиваться лишь медикаментами. Комплексный подход препятствует повторному появлению подагры и развитию осложнений.
Вначале медикаментозная терапия помогает избавиться от острых симптомов. Для этой цели нередко применяют препарат колхицин или другие анальгетики. В дальнейшем используют урикодепрессанты, снижающие выработку мочевой кислоты, а так же урикозурические средства. Последние помогают выведению скопившейся в организме кислоты. Противовоспалительные препараты (антибиотики или кортикостероиды) подбирает специалист, поскольку некоторые виды препаратов запрещено принимать при этой болезни.
Как и при лечении синовита коленного сустава, задействуется физиотерапия (ультрафиолет, рефлексотерапия). Нагрузку на сустав следует ограничить, но ЛФК отменять нельзя. Подключают и специальную диету, причем не только при избытке веса. Шоколад, алкоголь, жирная пища, кофе и все продукты, способные вызвать подагру, исключают из рациона.
Подагра коленного сустава: лечение народными средствами
Если развилась подагра коленного сустава, лечение народными средствами поможет и сделает медикаментозную терапию эффективнее. Среди рецептов народной терапии особое внимание нужно уделить отварам с мочегонным действием. Таковым обладают следующие травы:
- Чабрец,
- пустырник,
- ромашка,
- душица,
- крапива,
- зверобой,
- можжевельник,
- липа,
- шалфей.
Если обострилась подагра коленного сустава, лечение народными средствами поможет быстрее вывести избыток воды, а некоторые отвары еще и окажут противовоспалительное действие, понизят жар.
Очень серьезное заболевание подагра коленного сустава. Лечение народными средствами должно быть одобрено и согласовано с врачом. Запрещено заменять народной медициной терапию медикаментозными препаратами!
Оказать помощь в лечении заболевания могут и следующие рецепты:
- Цвет сирени собрать в емкость, уплотнить и залить 0,2 л водки. Две недели она хранится в затемненном месте, ежедневно средство встряхивают. Выпивают перед пищей по 50 капель.
- Аппликации, примочки и ванны с этим раствором помогают при подагре. Следует растворить 200 г соли в горячем настое ромашки, промокнуть в смеси ткань и приложить к пораженному колену, либо добавить в ванну. После процедуры рекомендуется прилечь, укутав сустав.
- Компресс эффективно делать при помощи отвара из смеси ромашки и бузины черной. Компоненты берут в равной пропорции, доводят до кипения. Перед использованием смесь остужают.
- Анальгин (5 таблеток) растворяют в аптечном йоде (10 мл). Получившимся раствором ежедневно смазывают суставы и укрывают их теплой тканью.
Комплексную терапию желательно дополнить санаторным лечением или пройти профилактическую терапию с целью реабилитации после болезни.
Видео по теме
Загрузка…
- 3 Июля, 2018
- Ревматология
- Ирина Халус
К сожалению, многие люди сталкиваются с такой проблемой, как подагрический артрит коленного сустава. Симптомы и лечение, причины и разновидности недуга — это те вопросы, которыми интересуются все пациенты. Так что представляет собой болезнь? Насколько опасной может быть подагра колена? В каких случаях нужно обращаться к врачу? Какую схему терапии предлагает современная медицина?
Подагрический артрит коленного сустава: код по МКБ и общая информация о недуге
Международная классификация болезней этот недуг относит к группе М10 (подагра и сопутствующие патологии). Как известно, артрит — заболевание, которое сопровождается воспалением суставов. Но в данном случае первичной патологией является подагра (сопровождается повышением уровня мочевой кислоты), а воспалительные поражения суставного аппарата — всего лишь осложнения.
Согласно статистике, подагре более подвержены представители сильного пола — у женщин недуг диагностируется в пять раз реже. Чаще всего болезнь развивается в возрасте от 25 до 50 лет. Как правило, патологический процесс поражает мелкие суставы фаланг, голеностоп, колени, реже локти. Изредка наблюдается поражение всех суставов и тяжелая системная реакция, развивающаяся на фоне подагры.
Механизм развития недуга
В современной медицинской практике часто регистрируются случаи такого заболевания, как подагрический артрит коленного сустава. Симптомы и лечение в случае подобного недуга тесно связаны. Но для начала стоит разобраться с механизмом развития патологии.
- Сначала в силу тех или иных причин нарушаются процессы обмена мочевой кислоты в организме — ее уровень в крови постепенно повышается.
- В связи с этим образуются кристаллы (ураты), которые начинают оседать на поверхности гиалинового хряща сустава.
- Скопление кристаллов ведет к раздражению суставных структур, что и провоцирует воспалительный процесс — это и есть артрит.
- При отсутствии лечения начинается дегенерация суставных и околосуставных тканей.
Именно так развивается подагра коленного сустава с дальнейшим ее переходом в артрит. Стоит отметить, что недуг в большинстве случаев затрагивает и почки. Наряду с воспалением суставов, наблюдается развитие мочекаменной болезни и нефрозов.
Подагрический артрит коленного сустава: причины
Если речь идет о первичной форме подагры, то она, как правило, связана с наследственной предрасположенностью. Огромное значение имеет и питание — обмен мочевой кислоты нарушается при чрезмерном употреблении шоколада, мясных продуктов и колбас, чая, кофе и алкогольных напитков.
Вторичные формы подагры развиваются на фоне других заболеваний: поражений почек, сердечной недостаточности, гемобластозов, гормональных нарушений. Сыграть свою роль иногда может и прием медикаментов, в частности препаратов от гипертонии, цитостатиков, диуретиков.
Кристаллы уратов накапливаются в суставах постепенно. Часто этот процесс протекает бессимптомно до тех пор, пока что-то не спровоцирует подагрический приступ. К факторам риска относят неправильное питание, физическое перенапряжение, длительное стояние или ходьбу, травмы, инфекции, резкое переохлаждение, стрессы.
Стадии развития заболевания
В медицинской практике принято выделять три стадии развития заболевания:
- Латентный период — какие-то характерные клинические симптомы отсутствуют, поэтому обнаружить наличие заболевания можно лишь благодаря анализам.
- Острая фаза сопровождается появлением интенсивных подагрических приступов.
- Хроническая стадия характеризуется вялотекущим течением. Иногда наблюдаются периоды обострения, которые сменяются длительными ремиссиями.
Какими симптомами сопровождается болезнь?
Что собой представляет подагрический артрит коленного сустава? Симптомы и лечение при подобном заболевании тесно связаны, ведь набор медикаментов напрямую зависит от формы и стадии развития недуга. Как уже было сказано, патология может не проявляться месяцами вплоть до наступления приступа, который сопровождается следующими симптомами:
- в первую очередь пациенты отмечают боль в области сустава;
- неприятные ощущения могут усиливаться во время ходьбы и физического напряжения;
- кожа над коленным суставом краснеет, иногда отекает, становится горячей на ощупь;
- наряду с этим, наблюдается и появление признаков интоксикации — некоторые больные жалуются на слабость, повышение температуры, озноб, потерю аппетита, постоянную сонливость, ломоту в теле.
При отсутствии адекватного лечения образуются подкожные узелки — это так называемые тофусы, которые представляют собой совокупность суставных тканей и кристаллов мочевой кислоты. В дальнейшем разрушается суставный хрящ. Болезнь затрагивает и близлежащие костные ткани — в них образуются полости, заполненные уратами. В более тяжелых случаях кристаллы мочевой кислоты откладываются в структурах, окружающих сустав, а иногда и просто под кожей. Деформация сустава и кости может привести к частичной или полной потере подвижности конечности.
Основные формы недуга
Выше описана клиническая картина, характерная для классической формы заболевания. Однако существуют и иные разновидности недуга:
- Подострый подагрический артрит коленного сустава. Симптомы и лечение в данном случае немного иные. Клиническая картина смазана, для постановки точного диагноза требуется пройти ряд диагностических процедур, так как классические признаки недуга могут отсутствовать. Согласно статистике, от данной разновидности артрита чаще страдают женщины.
- Псевдофлегмозная форма. В клинической картине на первый план выходят признаки интоксикации. Пациенты обращаются к врачу с жалобами на резкое повышение температуры тела, озноб, повышенную потливость. Нередко воспаление суставов сопровождается гнойным процессом.
- Воспаление по типу инфекционно-аллергического полиартрита. В данном случае воспалительный процесс периодически стихает и перемещается от одного сустава к другому.
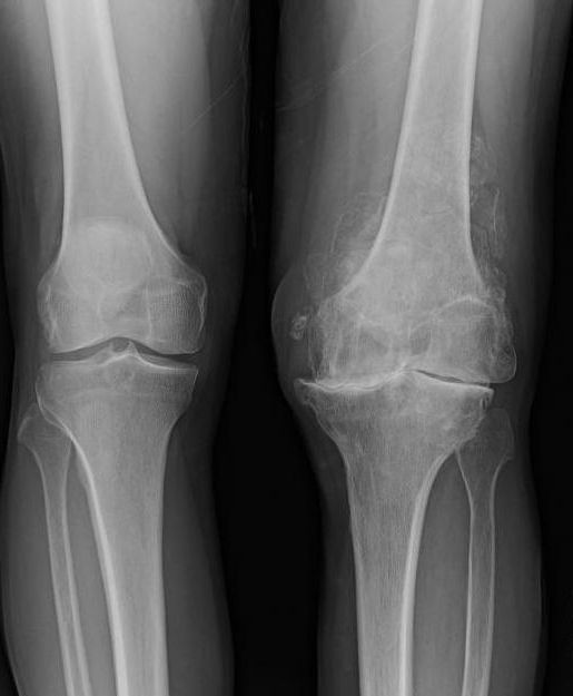
Рентгенологическое обследование при подагре
Как подтвердить наличие такого заболевания, как подагрический артрит коленного сустава? Рентген по праву считается одним из самых доступных и информативных методов. На снимке врач может отметить появление изменений в кортикальных слоях кости. На эпифизе кости образуются округлые дефекты со склеротической каймой.
К прочим признакам можно отнести расширение тени от мягких тканей сустава на снимке, что связано с отложением кристаллов. Наблюдается и сужение суставной щели.
Лабораторная диагностика
Сбор анамнеза — первое, что делает врач при подозрении на такое заболевание, как подагрический артрит коленного сустава. История болезни также обязательно должна включать в себя информацию о наличии тех или иных симптомов, степени их выраженности.
Диагностика включает в себя и некоторые другие исследования:
- общий анализ крови — наблюдается повышение СОЭ, развивающаяся анемия, увеличение количества лейкоцитов наряду с уменьшением количества тромбоцитов;
- исследование мочи — дает возможность выявить кристаллы мочевой кислоты, при этом рН смещается в кислую сторону;
- биохимический анализ крови — важное исследование, которое позволяет определить повышение уровня мочевой кислоты и азотистых шлаков, появление белков, свидетельствующих о наступлении острой фазы заболевания (гаптоглобин, С-реактивный белок, сиаловые кислоты, серомукоид);
- лабораторное исследование синовиальной жидкости — дает возможность определить увеличение количества лейкоцитов (в частности, гранулоцитов) и кристаллов уратов натрия;
- биопсия тофусов (подкожных и околосуставных узелков) — процедура, во время которой можно обнаружить все те же кристаллы уратов.
Кстати, сдавать образцы крови и мочи рекомендуется после трехдневной диеты, во время которой стоит ограничить количество пуринов в пище — только так можно гарантировать правдивость результатов.
Медикаментозное лечение
Медикаментозная терапия зависит от стадии развития недуга. Например, в период подагрического приступа крайне важно быстро снять воспаление. С этой целью используются:
- обезболивающие и нестероидные противовоспалительные препараты, например «Нурофен», «Нимесил», «Раптен», «Найз»;
- в более тяжелых случаях используются глюкокортикоиды (например, преднизолон), которые быстро тормозят воспалительный процесс, снимают отечность и купируют боль.
Разумеется, важно предотвратить дальнейшее скопление кристаллов, так как это может спровоцировать рецидив. С этой целью используются лекарства, которые угнетают процессы образования уратов в организме (средства на основе тиопуринола, аллопуринола). Эффективными являются и препараты, ускоряющие выведение мочевой кислоты почками («Бензобромарон», «Сульфинпиразол»). Важной частью терапии является правильная диета и умеренные физические нагрузки. Пациентам с ожирением также рекомендуют избавиться от лишнего веса, который создает дополнительную нагрузку на суставы.
Правильная диета при подагрическом артрите
Диета при подагрическом артрите коленного сустава крайне важна, ведь неправильное питание может спровоцировать приступ. Пациентам рекомендуется избегать продуктов, богатых пуринами, так как при их употреблении наблюдается резкое повышение уровня мочевой кислоты в крови.
Стоит ограничить или вовсе отказаться от мясных продуктов, включая не только мясо, но также почки, мозги, печень, наваристые бульоны, колбасы. Разрешено есть небольшое количество индейки, куриной грудки, говядины, кроличьего мяса, но обязательно в отварном виде. Противопоказаны жирные сорта рыбы, острая и соленая пища, консервы и копчености. Пациентам не рекомендуют употреблять острые и соленые сыры, морепродукты, бобовые, зелень, специи, бобовые, какао, шоколад. Стоит отказаться от алкоголя, крепкого чая и кофе. Пить лучше свежие фруктовые (или овощные) соки, компоты, морсы. Полезными будут молочные и кисломолочные продукты, включая творог.
Другие методы терапии
Помимо медикаментов используются и другие методы лечения, которые направлены на предотвращение рецидивов и возвращение нормальной подвижности суставов. Полезными считаются такие процедуры, как ионофорез, фотофорез, ультрафиолетовое облучение. Положительно на состоянии суставов сказываются грязевые ванны — пациентам рекомендовано санаторно-курортное лечение.
В схему лечения можно включить рефлексотерапию, а также точечный массаж. Важной частью лечения является и специальная гимнастика — комплекс упражнений подбирается индивидуально, а сама тренировка проводится под присмотром квалифицированного тренера.
Народные методы лечения недуга
Поклонники нетрадиционной медицины часто интересуются вопросами о том, можно ли в домашних условиях справиться с таким заболеванием, как подагрический артрит. Лечение народными средствами, конечно, возможно.
- Некоторые народные знахари рекомендуют приготовить мазь, смешав в равных количествах спирт и сливочное масло. После того как этанол выветрится, полученную смесь можно использоваться для растирания пораженного коленного сустава.
- Снять боль и воспаление поможет медовая мазь. Для ее приготовления рекомендуется смешать по чайной ложке меда, горчичного порошка и соды. Предварительно нужно принять ванну, и только после этого нанести смесь на распаренное колено. Для достижения максимального эффекта можно обернуть сустав полиэтиленовой пленкой. Мазь нужно оставить на ночь.
- Хорошо регулируют уровень мочевой кислоты яблоки и арбузы. Эти продукты можно употреблять в пищу, а также готовить компрессы (из тертых яблок и арбузной корки) для больного колена.
Следует понимать, что домашние лекарства не могут заменить полноценное медикаментозное лечение — их можно использовать лишь в качестве дополнения к основной терапии.






